朊病毒致死率100%!無藥可救且烹煮殺不死,感染後到底有多恐怖?

來源: 更新:

在生命科學中,有這樣一種讓人毛骨悚然的物質——朊病毒,它就像是人類最不可觸碰的禁忌一般,一旦沾染就必死無疑,而我們常用的烹煮消殺方式,對朊病毒也根本不起作用。

【朊病毒】

它究竟是什麼東西?又從何而來?

什麼是朊病毒

朊病毒雖然名字中帶有“病毒”二字,但實際並不是傳統意義上的病毒,因爲它沒有核酸(DNA/RNA)這一遺傳物質,有的僅僅是具有特殊結構的蛋白質。

【朊病毒和正常蛋白質的對比】

它的大小比細菌還要小,能夠輕易突破生物體內的一些物理屏障,雖然它可能算不上是一種具有生命活動的生物,但它強大的傳染性和致病性仍然讓人感到恐懼。

朊病毒走進人類的視野,要從上世紀50年代說起。

當時巴布亞新幾內亞的原始部落中出現了一種名爲“庫魯”的怪病,患病之人會出現顫抖、傻笑、語言不清等奇怪症狀,到最後會嚴重癡呆,並且無法自主坐起、運動,直至死亡

【對原始部落進行醫療檢查】

當時部落裏的人都認爲這是敵對部落巫師對他們的詛咒,而一些醫生則覺得這可能是一種高發性遺傳病

後來一位名叫蓋杜塞克的醫學家提出了不同看法,他認爲庫魯病是傳染病,爲此他專門深入到原始森林中進行調查,而這個問題最終在弗雷部落中找到了答案。

蓋杜塞克發現這個部落的人有一個讓人毛骨悚然的傳統——在族人離世後,大家會將屍體分食,他們認爲這樣親人的靈魂才能得到安息。

【弗雷部落的原著民】

在舉行葬禮儀式後,男人一般會分到肌肉組織,而女人和孩子則更多分到死者的腦組織。

因爲蓋杜塞克是客人,一次葬禮中,當地人還分了一小塊因庫魯病去世之人的腦組織給他。隨後蓋杜塞克敏銳地意識到,庫魯病很有可能和分食屍體有關係

於是他將這一小塊腦組織帶回了實驗室進行研究,發現這腦組織有些大量海綿狀的孔洞,隨後他把一小部分的樣本注入了實驗猩猩的大腦中,一段時間後,猩猩果然也像人一樣出現了庫魯病。

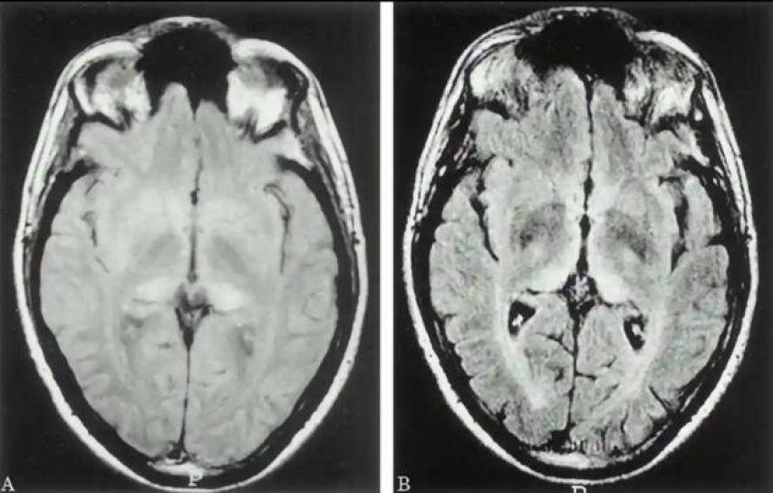
【正常人腦(左)和患病人腦的對比】

到了1982年時美國生化學家普魯辛納接過了蓋杜塞克的研究,開始對這種致病因子進入了深入的探索,隨後爲其命名爲“朊病毒”

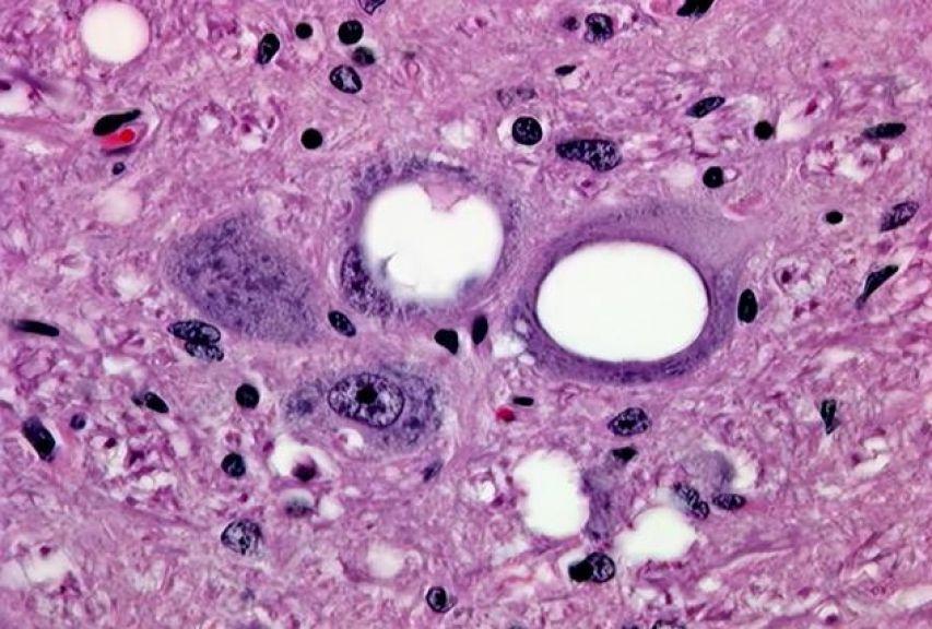
感染朊病毒後,動物的神經系統會受到朊病毒的攻擊,腦組織也會因此產生嚴重的損害

因爲朊病毒會誘導正常的朊蛋白髮生構象變化,從而形成更多的朊病毒。

這些異常蛋白在神經細胞內聚集,破壞神經細胞的正常結構和功能,最後導致神經系統的紊亂和崩潰。

【患有庫魯病的人】

初期,患者可能只是有一些輕微的身體不協調,如時不時不受控制的顫抖,隨後因爲神經系統的逐漸崩盤,開始不受控制的傻笑。

到了中期,患者的語言系統也會紊亂,除了無法確切表達自己的想法,身體的運動控制能力也進一步下降,不僅行走困難,甚至無法自主站立。

最後,患者往往會陷入極度的精神和身體衰弱狀態,如同“活死人”一般,沒有意識沒有行動能力地等待死亡。

後來,人們也發現朊病毒不僅能造成庫魯病,瘋牛病、羊瘙癢症、克雅氏病等疾病也都是因爲朊病毒作祟,而健康的個體也能通過使用患病個體的肉被傳染。

【患有瘋牛病的牛】

比如瘋牛病就是因爲當時英美等國家爲了提高牛的生長率,在牛的飼料中摻雜了患病的牛骨和牛下水,結果導致了朊病毒在牛羣中傳播。

而此前不少人瘋傳的“喪屍鹿”,其實也是因爲鹿感染了朊病毒。

朊病毒有多可怕

前面說到朊病毒很小,但是它並不屬於生物範疇,而這種特殊性也讓防治成了大問題。

【朊病毒】

它能抵禦高溫烹煮、放射性輻射等各種常規消殺手段,而且還具有一定的抗蛋白酶特性,使得傳統的蛋白質消滅手段對它們的影響同樣有限。

最重要的是它不是普通的病毒,所以免疫系統根本無法識別它。

不過我們也不需要過於擔憂,像瘋牛病和庫魯病這樣的疾病,需要長期食用患病肉類纔會感染

【被朊病毒感染後的大腦出現空洞】

而根據研究,人體本身也具有少量抵抗朊病毒的基因,這可能是因爲在遠古時期,人類也存在過同類相食的情況,所以人體也進化出了相關的體抵禦基因。

在平時,避免食用可能感染了朊病毒的動物肉類以及其製品,也是預防朊病毒感染的重要措施,對待來路不明的肉類,尤其是從一些曾經爆發過朊病毒相關疫情的地區輸出的肉類,要格外謹慎

畜牧業也要嚴格監管飼料的來源和成分,禁止使用含有患病動物組織的飼料。

總的來說,朊病毒確實是一種非常恐怖的致病因子。

【被染病毒感染的人】

它的存在也在時刻提醒着人類,要對自然界未知的挑戰,保持高度的警惕和持續的探索精神。


參考資料:

【1】喫人引發致命腦病他們卻死裏逃生·中國科學報

【2】鹿變成喪屍?這種生物界的“傳銷大師”病毒,會感染人類嗎?·廣東疾控

相關推薦
請使用下列任何一種瀏覽器瀏覽以達至最佳的用戶體驗:Google Chrome、Mozilla Firefox、Microsoft Edge 或 Safari。為避免使用網頁時發生問題,請確保你的網頁瀏覽器已更新至最新版本。
Scroll to Top