【科技聯播】特斯拉 Robotaxi VS 百度蘿蔔快跑,市場更買誰的賬?

來源: 更新:

以下是科技聯播第 9 期主要內容速覽:

1. 星艦第五次試飛成功,“筷子”如何改變火箭回收遊戲規則?

2. 特斯拉 Robotaxi 亮相,無駕駛位設計市場遇冷

3. Nvidia 收購 OctoAI,AI 部署方案再升級

4. 合成數據成“毒藥”?AI 模型的“近親繁殖”危機

5. 火星也曾宜居?好奇號揭開紅色星球氣候變遷之謎

6. 大腦衰老可逆轉:神經幹細胞活性如何提升?

01 星艦第五次試飛成功,“筷子”如何改變火箭回收遊戲規則?

10 月 13 日,SpaceX 進行了星艦的第五次試飛任務。星艦由兩部分組成,包括下面的超重型火箭助推器,和頂部搭載的無人駕駛的星際飛船。這一次試飛兩部分都成功返回了地面。

星艦的第五次試飛

值得一提的是超重型火箭助推器的回收,本次採用了全新的嘗試。雖然在今年 6 月份第 4 次試飛的時候,火箭推進器已經能夠安全返回,不過當時還是通過濺落海面的方式回收的。而這一次,火箭助推器在與星際飛船分離後,被操控着回靠到一個造型奇特的塔臺邊,並由一對龐大的金屬鉗夾住,穩定在半空中——SpaceX 將這對鉗子稱爲“筷子”

“筷子”夾住火箭助推器的示意圖

要想在時間和位置都精確地做到這一點,技術和工程方面都需要極大的調整。而這一設計的收益也非常顯著——因爲如果推進器是濺落在海面,那它的回收和再次利用的週期將會大大延長,而且將其拖回重新部署的成本也將附加於每次的火箭發射成本中,這與 SpaceX 儘可能降低成本的目標相違背。

而如果推進器可以原地返回到發射臺上,那它的回用流程將大大簡化。據估計,有了這對“筷子”的幫助,火箭助推器可以在返回後數分鐘內被輕鬆地放置回發射臺,並在重新加油後再度起飛。

馬斯克在今年 6 月份採訪的時候就講過,這一過程可能只需要花上 30 分鐘。如果真是這樣,那未來飛向火星的航班很可能就像北京到上海的高鐵一樣,如果遲到錯過了第一趟,只需要在候車廳等半個小時就可以繼續旅程了。

02 特斯拉 Robotaxi 亮相,無駕駛位設計市場遇冷

還是馬斯克,10 月 11 日,在特斯拉的 “We,Robot”活動現場,馬斯克親自發布了全新的自動駕駛汽車 Robotaxi,之前也叫 Cybercab。這個現場活動的另一個主角是去年年底就公佈過的 Optimus Gen 2

Optimus Gen 2

對於這個活動,馬斯克的一句話能很好地概括:“The future should look like the future”(未來應該看起來像未來)。現場效果也的確如此,如果只是看畫面,很難想象曾經只能在科幻電影中看到的景象,現在可以在現場親身體驗。

其中看起來最像“未來”的就是 Robotaxi 這款車的造型——不只是外觀極具未來感,更是直接取消了方向盤和踏板,這意味着它將完全依靠 AI 自動行駛,絲毫不具備真人駕駛的功能。

Robotaxi

同樣是自動駕駛出租車,百度的蘿蔔快跑則更接地氣,雖然可以做到沒有司機,但是並沒有取消駕駛位置。市場對百度的這種接地氣的做法比較買賬,從蘿蔔快跑在武漢運營以來,到 7 月份,百度的港股股價曾一度上漲超過 12%

百度的蘿蔔快跑

然而,特斯拉收到的反饋卻與蘿蔔快跑形成鮮明對比。在“We, Robot”活動之後,特斯拉的股價在美國市場次日開盤後便呈現出下跌趨勢,截至當天中午,股價已經下跌超過 8%,交易價格降至 219 美元。與之相對的,其網約車競爭對手 Uber 和 Lyft 的股價均上漲了 10%。

除了“沒有駕駛位是否可以保證安全”、“是否可以通過政府法規允許上路運營”等顧慮之外,投資人質疑更多的,還是這次活動比起一個發佈會,更像是一個科技秀。因爲在活動上,埃隆馬斯克對於如何實現 Robotaxi 的運營和盈利並沒有公佈更多的計劃和細節。投資人很難根據現有信息去推算出特斯拉是否會開闢出一個新的盈利點。

活動現場組圖

取消駕駛位,馬斯克一定非常清楚,這樣激進的做法一定讓很多人擔憂其安全性。但爲什麼馬斯克還是要如此做呢?答案可能還是那句話,“要讓未來更像未來”

只不過,馬斯克總是願意遠眺全人類的未來,而投資人看到的只是擺在眼前的商業計劃書

如果馬斯克不是這樣的,那麼現在的火箭仍然是一次性的,汽車也是隻能燒油的。

03 Nvidia 收購 OctoAI,AI 部署方案再升級

9 月 30 日,據福布斯報道,Nvidia 收購了一家專門從事生成式 AI 工具的初創公司 OctoAI。現在進入 OctoAI 的官網說明頁,就可以看到一則置頂的正式聲明:“OctoAI現在是NVIDIA的一部分。”

OctoAI 官網,最上方可見其屬於 NVIDIA 的聲明

OctoAI 成立於 2019 年,原名爲 OctoML,總部位於西雅圖。其產品目前包括一個雲平臺,使開發人員能夠以高性能和高成本效益部署和運行 AI 模型。此次 Nvidia 對於 OctoAI 的收購,無疑具有重要的戰略意義。通過整合 OctoAI 的技術,Nvidia 現在可以向企業提供更靈活、更可擴展的 AI 部署解決方案。這使得 Nvidia 能夠將其業務範圍擴展到自己的 GPU 生態系統之外,並在企業 AI 市場中佔據更大份額。

而作爲 Nvidia 競爭對手的 AMD,近來也有了新的動作。10 月 10 日,AMD 推出了一款名爲 Instinct MI325X 的新型 AI 芯片,並將與 Nvidia 即將推出的 Blackwell 展開競爭。該芯片計劃在 2024 年底前投產。

Instinct MI325X 新型 AI 芯片

據分析,如果開發者和雲巨頭都將 AMD 的 AI 芯片視爲 Nvidia 的替代品,很可能會給 Nvidia 帶來定價方面的壓力——此前 Nvidia 產品的毛利率約爲 75%,而且堪稱供不應求。此外,有了這樣的壓力,說不定還能促使 Nvidia 一舉跨過困擾了許久的難產風波。

04 合成數據成“毒藥”?AI 模型的“近親繁殖”危機

隨着 AI 技術的發展,由各類 AI 模型生成的合成數據,都已具備了越來越高的使用價值。然而,10 月 8 日,一項由 Meta、紐約大學和加州大學洛杉磯分校(UCLA)聯合發佈的最新研究,卻爲我們揭示了合成數據在使用上的巨大風險——如果將這些合成數據反過來再度用於 AI 模型訓練,就很可能會導致 AI 模型的崩潰

這一現象就很類似於生物界的“近親繁殖”。在生物學中,近親繁殖會導致基因多樣性的減少,增加遺傳疾病的風險。類似地,當 AI 模型在使用合成數據進行訓練時,模型便很可能會去過度適應這些數據中的特定模式,從而忽略了現實世界數據的複雜性和多樣性。這種過度適應,經過數次迭代以後便會迅速放大,進而導致模型的性能急劇下降,直至完全崩潰

實際上,這一發現並非第一次被提出。早在今年 7 月,牛津、劍橋等多家大學聯合發表於《自然》期刊的一篇論文就提出過這一現象,認爲使用合成數據無異於給訓練數據“投毒”。當時,在利用合成數據訓練模型進行 9 次迭代後,模型便開始出現了詭異的亂碼,並最終崩潰。

而此次的發現則更加極端——研究人員發現,即使合成數據僅佔總數據集的極小部分,甚至僅僅是 1% 的比例,仍然可能會導致模型崩潰。這意味着,要想保持模型不崩潰,合成數據比例需要無限接近於 0。而且模型越大,崩潰程度會越嚴重,像 ChatGPT 和 Llama 這樣的大型模型,會顯著放大此類崩潰現象。

這無疑是一個令人擔憂的結論。在科技聯播第二期,我們就曾提到過,可被用於 AI 模型訓練的公開訓練數據,尤其是各類高質量數據,可能在短期內耗盡的問題。如今,隨着 AI 普及率的不斷提高,互聯網公開數據中摻雜的合成數據量必然會相應增加,屆時如何避免此類崩潰現象阻礙 AI 技術的進一步發展,必將是我們需要正視並加以解決的難題。

05 火星也曾宜居?好奇號揭紅色星球氣候變遷之謎

10 月 7 日,NASA 在官網發佈了“好奇號”火星探測器的最新發現,提供了關於火星古代氣候變化的新細節,揭示了它是如何從可能的宜居環境變得不再適合人類居住的

研究人員利用好奇號上的火星樣本分析儀(SAM),把從蓋爾隕石坑採集到的樣本加熱至近 900 攝氏度,然後利用可調諧激光光譜儀(TLS)分析在加熱階段產生的氣體,測量了隕石坑樣本中碳酸鹽的同位素組成。從氣候角度來看,較重的碳酸鹽同位素往往會留在地表,而較輕的則更容易逸出到大氣中。因此,通過解讀這些同位素的佔比數據,可以一窺火星大氣所經歷的一系列變化。

測量的(A)碳和(B)氧同位素值來自四個蓋爾隕石坑的碳酸鹽,與火星地層中不同的碳和氧儲層進行比較

而來自蓋爾隕石坑的這些碳酸鹽同位素值則指向了某種“極端蒸發量”,表明這些碳酸鹽很可能是在只能支持短暫液態水存在的氣候條件下形成的。由此,研究人員提出了形成這些碳酸鹽的兩種可能機制:一是在一系列乾溼循環中形成的;二是在寒冷的條件下,在含鹽量很高的水中形成的。

這意味着,火星很可能經歷過一個“適宜居住”和“不適宜居住”交替的循環;或是伴隨液態水越來越多地被冰凍,存留下來的水體變得越來越鹹,以至於像死海一樣對生命不利的循環——而最有可能情況則是這兩種循環同時都在進行

這一研究結果也在同日被髮表於《美國國家科學院院刊》。

06 大腦衰老可逆轉:神經幹細胞活性如何提升?

10 月 2 日,《自然》期刊發表的一篇文章爲我們展示了一種促進大腦神經幹細胞活性、逆轉大腦衰老的新可能。

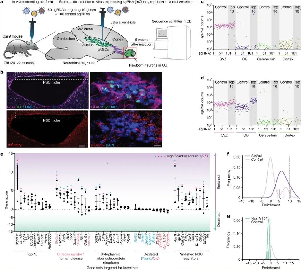
來自斯坦福大學的研究者們藉助 CRISPR 篩選,從 2 萬多個基因中找到了與神經幹細胞活性相關的基因。神經幹細胞是一類存在於中樞神經系統中的幹細胞,可以充當後備軍,提供新的神經元來彌補大腦中損失的神經元。但它的活躍性會隨着年齡增長逐漸降低。

體內篩選平臺,用於快速測試基因敲除對神經幹細胞(NSC)活化的影響

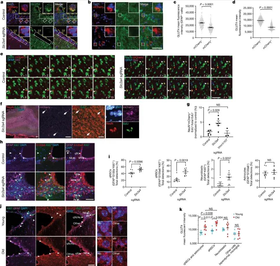
而在本次研究中,科學家們發現與神經幹細胞活性抑制有關的是一類參與葡萄糖轉運過程的 Slc2a4 基因。敲除該基因可以有效提升老年小鼠個體的新生神經元數量,從而恢復大腦韌性。同時,這也意味着如果老年個體周圍神經幹細胞的葡萄糖水平過高,可能會抑制它們的活性,並間接促進認知衰退——這一發現也與過往某些糖尿病藥物可以緩解年齡相關認知衰退的報道相一致。

側腦室下區神經幹細胞生態位中Slc2a4基因敲除可促進老年小鼠的神經生成

作者結合以上研究及實驗得出結論:葡萄糖代謝與大腦認知有很大關係。

這一研究結果的真實性和可行性尚需更多研究和臨牀試驗加以驗證,但它仍然爲治療阿爾茨海默病等神經退行性疾病提供了一個較爲明確的新方向。此外,老年人堅持日常較低碳水的飲食方式,或許能幫助調節衰老神經幹細胞對葡萄糖的轉運和吸收,並恢復它們的活力。這樣看來,“千金難買老來瘦”還是有一定科學依據的。

這就是本期想跟你聊的幾條科技新聞,很高興你能看到這裏,讓我們一起保持對科技發展脈動的感知。

相關推薦
請使用下列任何一種瀏覽器瀏覽以達至最佳的用戶體驗:Google Chrome、Mozilla Firefox、Microsoft Edge 或 Safari。為避免使用網頁時發生問題,請確保你的網頁瀏覽器已更新至最新版本。
Scroll to Top