傳說殺精,實則增肌的神奇蔬菜!

來源: 更新:

原創 索索隊長 FitEmpire健身領域

在過去50年中,人類平均精子濃度下降了51.6%,精子總數下降了62.3%。

於是,很多人戰戰兢兢,把殺精的罪名安在了一個一個的食物上!

其中,典型的就是芹菜,經常被“反覆鞭屍”。

實際上,這疑似殺精的芹菜,真的是很好的增肌食材!

不過很多人討厭喫它,真的是太可惜了(還好索隊超愛)!

索隊出品,智商稅終結者。

等不及了,索隊要發車了!今天的車速比較快,大家慢慢閱讀!

本文內容僅代表作者觀點,與公司立場無關。文章僅用於和讀者交流、知識普及,不作爲疾病診治建議,部分專業詞彙僅爲引用專業知識,配圖來自互聯網和AI,侵刪。


芹菜根本不殺精



都2050年了,怎麼還有人相信芹菜能殺精呢?

其實,傷害精子的因素真的有很多,包括喫生肉(刺身)、喝酒、熬夜、高糖、高脂飲食、抽菸、久坐等等......

這些錯誤的生活習慣,才恰恰是“幹掉”精子的幕後黑手

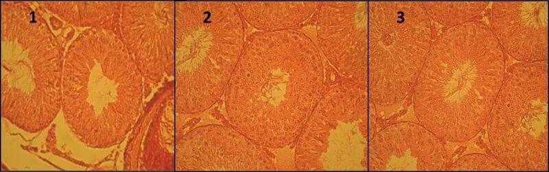
2015年2月發表在《Avicenna J Phytomed. 》的一篇研究表明,芹菜葉提取物,可以明顯改善精子發生過程,精子細胞數量有明顯改善,並且對某些精子生育參數改善也很有用。

2和3實驗組中,生精管直徑、睾丸體積以及精原細胞、初代精母細胞和精子的數量都有明顯提升,而且在高劑量實驗組(每公斤體重200毫克)中精子細胞數量增加更爲顯著。

所以,老鐵們,平常真的可以考慮喫一點芹菜,畢竟誰不想讓自己更強呢!



促進增肌


芹菜素,是一種在芹菜和其他植物中發現的天然類黃酮,研究已經證明它能起到增大骨骼肌的作用。

比如,2017年9月發表在《Oncotarget》上的一項研究中,研究人員給小鼠安排了跑步機運動,同時把飲食分成三類。

分別是普通飲食對照組(NOR),以及在飼料裏分別加入0.2%芹菜素(Api-L)和 0.4%芹菜素(Api-H)的兩組實驗組,實驗共持續了7周。

結果也很直觀,研究人員發現,和對照組相比,補充芹菜素的兩組股四頭肌的橫截面積都有明顯增加,而且它們在跑步機上能跑的距離也有所增加,說明耐力有明顯提升。

主要是因爲,芹菜素能通過上調/激活一種叫做PRMT7 的分子,增強骨骼肌的肥大信號(蛋白合成)和成肌細胞的分化,從而達到讓肌肉更粗壯、肌纖維橫截面積更大,運動表現更好的效果。

接着在後續2018年的研究中,研究者還觀察到芹菜素有抗炎效果,能在一定程度上減輕肌肉萎縮的情況。

也就是說,芹菜不僅能幫助你增肌,還能幫你維持住來之不易的肌肉!

有條件的,也可以把芹菜榨汁,放在練後喝完幫助肌肉更快恢復並生長。

因爲芹菜不僅很多汁,還含有天然糖分、礦物質、抗氧化劑和維生素,不僅能夠減輕劇烈運動後的肌肉痠痛和炎症,還可以爲身體提供修復受損組織和補充能量水平所需的營養。

當然,練後補充我們還要考慮其他的營養成分,可以參考索隊下面這個視頻:

促進睾酮生成



我們都知道,男性從30歲開始,體內的睾酮每年會減少1%。

一旦睾酮減少之後,往往會產生一連串的負面作用,包括肌肉力量下降、骨密度降低、性功能變弱等等的不良影響。

睾酮下降的原因有很多,不過從微觀的層面來看,體內多種轉運蛋白和酶的功能更爲關鍵。

其中,就有一個非常重要的“搬運工”,叫作StAR蛋白,它在睾丸中負責把膽固醇這個原料運送進線粒體,相當於給睾酮的生產車間提供源源不斷的原材料。

而且,StAR蛋白更賣力,原料供應就越充足,合成的睾酮也就愈發充足,而芹菜裏的芹菜素,正好可以刺激StAR蛋白的表達和活性,相當於給“搬運工”打了雞血。

研究顯示,當芹菜素的濃度(黑色條)到10(實驗設定裏的一個單位)時,StAR的活躍度會明顯上升,對應地,睾酮產量也會明顯上升(Li,2011)。

不僅如此,去年8月發表在《Biomedicine & Pharmacotherapy》的一篇研究還表明,芹菜素還可能通過調節PERK–CHOP這條應激通路,改善與肥胖相關的睾丸功能障礙,從而幫助恢復睾酮生產,並增加睾酮的產量。

所以,各位健身老鐵,平常喫一點芹菜,對睾酮總是沒壞處的!

當然了,除了飲食,市面上也有很多號稱能促睾的保健品成分,如果你不知道如何選擇,可以參與索隊的《20種有效促睾手段》課!


降血糖並改善糖尿病


其實,芹菜裏的芹菜素其實對改善胰島素抵抗也有幫助,這點對於糖尿病來說非常關鍵。

就在今年2月,發表在《國際生物大分子雜誌》的最新研究發現,芹菜提取物能強力抑制α-葡萄糖苷酶的活性,對α-澱粉酶也有一定抑制。

這跟藥店裏的老牌降糖藥阿卡波糖作用類似,而且芹菜的作用可能更勝一籌,原理都是減慢碳水化合物的分解和吸收速度,讓餐後的血糖波動沒那麼劇烈

然後,研究人員還發現,芹菜組甘油三酯顯著降低,降到接近正常值了,說明芹菜還有調節高血脂的效果。

另外,芹菜素還能在血管中釋放少量一氧化氮,這個物質可以讓血管舒張,血流更加通暢,這樣一來,不光能降血糖,還能減少糖尿病帶來的心血管併發症風險。

總之,芹菜能夠起到一部分改善血脂/血糖的作用,安全食用、適量補充一些還是不錯的,但不建議大家把芹菜“當藥喫”,尤其不能替代正規藥物或醫生建議。


最後


總之,老鐵們,真的可以考慮把芹菜加入到你的食譜中!

既能補充優質營養,還能對睾酮健康有價值!

相關推薦
請使用下列任何一種瀏覽器瀏覽以達至最佳的用戶體驗:Google Chrome、Mozilla Firefox、Microsoft Edge 或 Safari。為避免使用網頁時發生問題,請確保你的網頁瀏覽器已更新至最新版本。
Scroll to Top