人類身體上有什麼攻擊力驚人的身體部位?堪比猛獸!

來源: 更新:

#上頭條 聊熱點#

粉絲老爺們好!

今天想和大家探討一個

腦洞大開的問題:

和各路猛獸相比

人類的戰鬥力到底是個什麼水平?

我研究之後發現

我們身體的某些部位

攻擊力是相當驚人的

完全有實力和猛獸們一較高下!

接下來讓我們直入主題:

人類有哪些身體部位

攻擊力驚人堪比猛獸?

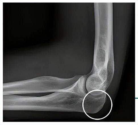
01-手肘


我們進行肘擊時

受力的部位是一塊

叫做“尺骨鷹嘴”的骨骼結構

這個骨頭又尖又硬

還沒有肌肉、脂肪的包裹

它發出的擊打力量

能夠最大程度的傳導出來


另外

胳膊肘這兒經常彎曲、摩擦

手肘外側痛覺神經很少

“皮糙肉厚”的狀態

讓我們在打出肘擊時更難感受到疼痛

或許正是因爲這些優點

人類開發出了各種

獨特的“出肘方式”

除了基礎的平掃、砸肘、反肘

還有無數的變體

根據實際情況的的需要

全身的肌肉、骨骼、甚至是體重

都能被調動起來

完成一招肘擊

這樣的能力

是其它動物無法擁有的

就算是咱的近親黑猩猩

因爲肩胛骨窄、關節不夠靈活

也無法使出肘擊

有人做過實驗

召集了91名受過訓練的成年人

測試他們的“砸肘”力量

結果顯示:


男性肘擊力量的峯值

可以達到10000N以上!

用肘子制服猛獸這事兒

還真有過實戰案例

印度一位老哥

用手肘爆錘一隻偷襲的花豹

而根據相關數據

女性的肘擊力量

也能超過5000N

因爲威力確實太大

在正規的格鬥比賽中

“肘擊”是受到嚴格限制的

特定部位不能用

特殊方向(比如自上而下垂直)也不能用


除了肘擊

格鬥比賽中常見的裸絞

也是調動肘部這裏的力量

被鎖住後幾秒就會失去意識

02-腳後跟


腳後跟這個部位

是我們擁有的另一個利器

這塊骨頭叫“跟骨”

長得和個錘子一樣

看上去就很有力量

在格鬥比賽中

有種動作叫“後踢”

利用身體迴旋的力量

調動後背、腿部、臀部等肌肉

用腳後跟完成“致命一擊”

有研究發現

後踢的力量最大能有8500N


另外

日常的跑、跳等等動作

各種額外壓力都需要跟骨來支撐

測試數據顯示

跟骨的動態極限載荷也高得可怕

03-膝蓋


除了手肘和腳後跟

膝蓋也是個攻擊力驚人的部位

經過系統訓練

男性的膝蓋擊打力量

可以達到8000到9000N

另外

提膝這個動作

更好對上對方脆弱的襠部、腹部

帶來的殺傷力“超級加倍”


對女生來說

膝蓋也是非常好用的

因爲男女下半身的肌肉力量差距

整體上要小於上半身的差距


打出膝擊

需要調動膝關節屈肌、伸肌、臀大肌

女生這些部位的力量

整體可以達到男生的60%到65%

威力也是相當大的


以上三處

就是我們身體上

能打出超強攻擊力的代表部位

總結一下就是:

咱們能站到地球頂流的位置

身體素質是真的有兩把刷子的~

今天就先聊這麼多

最後再提醒下大家

以上各個場景都是建立在

單純的理論數據的對比

現實中真遇上猛獸

那還是要避免直接衝突的啊~

博士一分鐘,知識漲不停

我是好奇博士

很高興認識你們

相關推薦
請使用下列任何一種瀏覽器瀏覽以達至最佳的用戶體驗:Google Chrome、Mozilla Firefox、Microsoft Edge 或 Safari。為避免使用網頁時發生問題,請確保你的網頁瀏覽器已更新至最新版本。
Scroll to Top