一種能延緩衰老的鍛鍊,建議提前練起來!

來源: 更新:

人老了的信號,往往會悄悄藏在——

日常動作裏。

我們經常能觀察到家裏的老年人——

● 從椅子站起來,不再是一氣呵成,而是得緩一下;

● 彎腰撿東西時,下意識地會扶一把身邊的傢俱;

● 過馬路前,會不自覺地猶豫幾秒,估量綠燈夠不夠時間走完……

這些看似只是「慢了一點」,其實是身體在發出信號:肌肉正在流失,神經反應也在變慢。

圖源:丁香醫生設計團隊

肌肉流失的常見後果包括:走路變慢、腿部無力、久站腿軟、起身費勁、骨質疏鬆,生活自理能力下降…

而最嚴重、最直接的風險,是摔倒。

● 根據世界衛生組織的數據,跌倒已成爲全球 60 歲以上人羣非故意傷害死亡的首要原因,每年造成超過 68 萬人死亡[1][2]

● 在中國,相關死亡人數也從 1999 年的 2.5 萬例增長到 2019 年的 10.7 萬例,相當於每天約有 276 名老年人因跌倒失去生命[3][4]

圖源:丁香醫生設計團隊

這不是個偶發的小意外,而是長期身體機能下降後的集中表現。

「人老腿先老」

肌肉流失,大腿是重災區

醫學上把隨着年齡增長出現的肌肉減少、力量下降和身體功能變弱,稱爲肌少症(包括原發性和繼發性的)[6]

研究顯示,從 30 歲開始,肌肉量每 10 年大約會減少 3%~8%,而到了 60 歲以後,流失速度會進一步加快 [6]

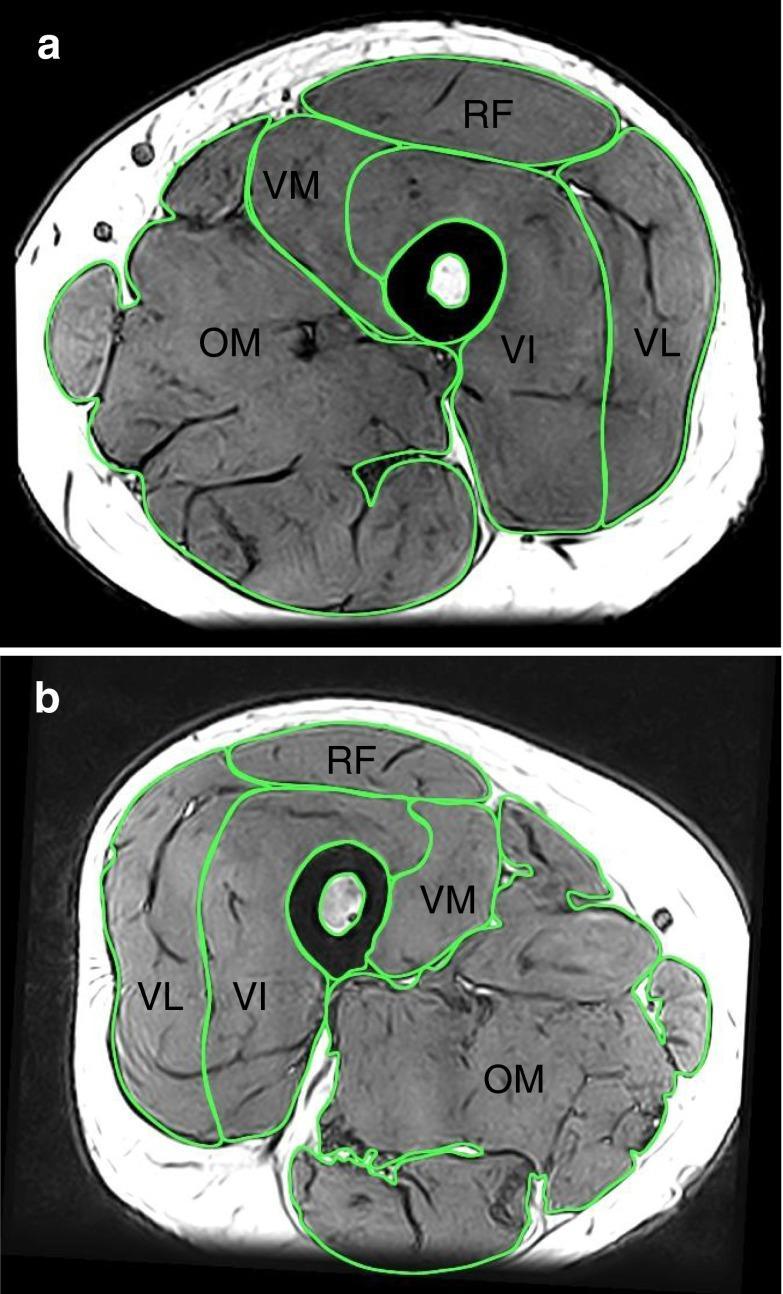
其中,大腿肌肉是「重災區」:MRI 影像顯示,70 歲時的大腿肌肉體積比 20 多歲時少了近四分之一[7]

圖示:a圖爲 22 歲男性;b圖爲 76 歲男性,股骨截面處可見大腿肌肉橫截面積明顯減少。

圖源:Thigh muscle volume in relation to age, sex and femur volume - PMC

好消息是,肌肉流失,並不是不可逆的,只要開始鍛鍊,哪怕是高齡老人,肌肉仍然可以長回來。

早在 1990 年,就有研究發現,即使是 90 多歲的虛弱老人,堅持 8 周高強度力量訓練後,肌肉體積和力量都能明顯增加[5]

之後大量研究反覆證實:增強肌肉力量的訓練,不僅能延緩身體功能的下降,更是預防跌倒的重要手段。

就拿一個經典的下肢訓練動作——深蹲——來說。

深蹲能同時鍛鍊到大腿前側的股四頭肌、後側的膕繩肌、臀部的臀大肌,以及小腿的肌肉羣——這些部位,直接決定了家裏老年人能不能站得起來、走得穩不穩、腿軟不軟。

圖源:丁香醫生設計團隊

不過,光靠「練力量」還不夠。

很多關鍵動作,不只是靠「有勁」,還得靠「發力快」。比如走路時加速、身體失衡時調整重心、開車時迅速從油門換到剎車……

這些都需要肌肉在短時間內迅速輸出力量,那就要另外關注一個肌肉指標——

爆發力(muscle power)

——在極短時間內快速產生力量的能力。

肌肉爆發力衰退

反應變慢的根本原因之一

跌倒往往發生在極短的時間內。

當人跌倒時,身體最快會在腳跟着地後 0.1 到 0.3 秒內自動做出反應,試圖通過本能動作來穩住身體。如果這個反應沒能及時啓動,很容易就真的摔倒了。[8]

進入老年階段後,肌肉的爆發力下降得比力量下降地更早也更快。[5]

而且相比之下,爆發力不足更能反映一個人當前的身體狀態,也更能預測未來的跌倒風險。[5]

在力量訓練中,有針對性地訓練爆發力,對老年人預防跌倒是非常有幫助的。尤其是下肢的爆發力,更是在預防跌倒中起着關鍵作用[9][10]

好消息是,研究已經發現:老年人的肌肉爆發力是可以通過訓練提升的。

而且如果在訓練時更強調動作的「速度」,往往比傳統的慢速力量訓練更有助於改善身體功能。

考慮到一個事實:爆發力訓練,就算是有鍛鍊習慣的老人可能都不怎麼重視,但是介於爆發力在日常生活以及老年人防跌倒的關鍵位置,有必要把它的重要性性單獨拿出來強調一下。

防跌倒鍛鍊,居家跟練版

存肌肉力量+爆發力

先測一測:下肢功能夠不夠用?

先不急着開始練,用一個動作先測測家裏的老年人現在的腿腳情況。

這個測試叫做 5 次坐立計時測試(STS,sit-to-stand):[11~13]

怎麼測?

● 準備一把高度約 45 釐米、不靠牆、不帶扶手的椅子;

● 雙腳踩實地面,雙臂交叉抱胸;

● 儘量快地完成 5 次「坐下-站起」的完整動作;

● 你可以幫忙用手機計時:從起身開始,到第 5 次完全站直結束。

參考標準如下:

年齡

正常完成時間

超過說明

65~69 歲

≤ 12 秒

有跌倒風險

70 歲及以上

≤ 14 秒

有跌倒風險

如果你家裏的老人超過了上面的時間,說明下肢反應力需要儘早訓練了;

如果 TA 們完成得還不錯,也別鬆懈,因爲爆發力流失是隨年齡持續加快的。

練起來:下肢肌力 + 爆發力訓練組合

我們推薦的訓練思路很簡單:

✔ 同一個動作,用不同速度練,分別針對力量和爆發力。

✔ 安全、易學、不需要器械,適合在家練。

✔ 每週練 2~3 次,每次選 3~4 個動作(或者箱式深蹲這一個動作),每個動作做 1~2 組(10 次/組)

推薦動作 1:

深蹲(箱式深蹲)

● 練力量版本:慢慢蹲、慢慢站,用 3 秒下蹲、3 秒起立的節奏做 10 次;

● 爆發力版本:從坐姿一口氣「站快一點」,注意不要跳起,動作乾淨利落做 10 次。

箱式深蹲是爲了防止家裏老年人深蹲的時候跌倒:萬一腿部力量不足,要往後倒的話,可以直接一屁股坐在箱子(坐墊)上。如果家裏老人體力還行,平時有鍛鍊習慣,也可以直接練標準深蹲。

另外,如果家裏老人時間有限,或者不想練太複雜的動作,光是堅持做「深蹲」這一項,也已經非常有幫助了。它能同時鍛鍊到下肢多個關鍵肌羣,增強力量、提升反應,對預防跌倒、保持活動能力都有實打實的效果。

當然,如果父母們有更多時間和精力,也可以在這個基礎上,加入下面這些簡單動作,進一步訓練平衡感和全身協調性。

推薦動作 2:

小腿提踵(踮腳訓練)

● 可以扶椅背輔助,緩慢踮腳 + 快速落地,交替練力量與爆發力

推薦動作 3

登臺階(如樓梯第一階)

● 緩慢版登上去站穩再下來,練力量;

● 快速版換邊登踩,提高爆發反應(注意安全!)

推薦動作 4:

靠牆俯臥撐

用牆壁代替地面,是更安全、更容易堅持的上肢訓練方式;

能鍛鍊手臂、肩膀和胸部肌肉,同時激活核心,對增強身體穩定性很有幫助;

每次做 8~10 次,保持節奏均勻,不求快,重在控制。

說明:這個動作能讓身體整體更穩,爲防跌倒打好「全身配合」的基礎。

寫在最後:不求快,求堅持

動作看起來簡單,但關鍵在於長期堅持

老年人建議:力量 + 爆發力混合練,一組慢一組快,安全也有效。

考慮到很多家長們是有跳廣場舞習慣的,可以在每天跳舞的前後也可以順便加上上面這些力量訓練,不僅把舞跳了,也順便把老防了。

如果你擔心父母的身體狀態不穩,可以從少量開始,循序漸進,每次控制在 10 分鐘以內也完全可以受益。

想延緩衰老,練肌肉要趁早,尤其別忽視爆發力。無論家裏老人(或者是你自己)多大年紀,儲備肌肉、提升爆發力,從現在開始都不晚。

本文審覈專家

參考文獻

[1]Falls

[2]https://www.nature.com/articles/s41598-024-54265-9

[3]Wang, X., Xu, Y., Zhou, Y. & Yanxia, G. Meta-analysis on the incidence of falls among the elderly in chinese community chinese evidence-based nursing. Chin. Evid.-Based Nurs. 6, 1149–1154 (2020).Google Scholar

[4]Yi, H., Ruiqi, G., Shuhui, M. & Bei, L. Disease burden on falls among older adults in China, 1990–2019. Chin. J. Modern Prevent. Med. 48, 1542–1545 (2021).Google Scholar

[5]Powering Through Daily Activities in Older Age—Will Power Training Replace Strength Training in Later Life? - PMCMuscle tissue changes with aging - PMC

[6]Thigh muscle volume in relation to age, sex and femur volume - PMC

[7]Identification of balance recovery patterns after slips using hierarchical cluster analysis - ScienceDirect

[8]Muscle power is more important than strength in preventing falls in community-dwelling older adults - PubMed

[9]https://www.mayoclinicproceedings.org/article/S0025-6196%2825%2900346-5/fulltext?utm_

[10]Journal of Geriatric Physical Therapy

[11]https://agsjournals.onlinelibrary.wiley.com/doi/10.1111/j.1532-5415.2008.01777.x?utm

[12]Reference values for the five-repetition sit-to-stand test: a descriptive meta-analysis of data from elders - PubMed[13]This overlooked workout is key to aging better | National Geographic

https://www.nationalgeographic.com/health/article/how-power-training-helps-as-you-age

策劃製作

策劃:pheobe | 監製:Feidi

插圖:見圖注 | 封面圖來源:電影《奈德》截圖

期待已久的丁香園老網紅「健康日曆」上新了!!!

專業團隊傾力打造、破除謠言、科學「養生」

戳鏈接享嚐鮮福利

相關推薦
請使用下列任何一種瀏覽器瀏覽以達至最佳的用戶體驗:Google Chrome、Mozilla Firefox、Microsoft Edge 或 Safari。為避免使用網頁時發生問題,請確保你的網頁瀏覽器已更新至最新版本。
Scroll to Top