體重達到這個數,等於大腦早衰了12年

來源: 更新:

腹肌是一塊還是八塊,不僅關乎身材,還影響着大腦的體積。

近日,國內學者發表的一項新研究顯示:肥胖會導致腦子變小、腦灰質體積萎縮、腦白質病變增加。

《生命時報》結合該研究及專家觀點,告訴你超重或肥胖是如何中傷大腦的,並推薦一套高效的減脂法。

BMI>26.2

大腦體積相當於老了12年

BMI,即體重指數,是國際上公認的一種衡量成人肥胖程度的方法。

BMI=體重/身高的平方(國際單位kg/㎡)。在我國,BMI≥24爲超重,≥28爲肥胖。

此次研究中,首都醫科大學附屬北京友誼醫院、清華大學等研究團隊,分析了1074名中國成年參與者(年齡25~83歲)數據,對參與者16年的BMI軌跡進行了建模,計算出他們的累積BMI。

本研究的變量不是一次性BMI測量結果,而是16年累積BMI,其計算方法爲BMI總和除以隨訪年數。累積指數反映了風險因素的累積負擔,比單次測量更精確。

隊列研究顯示,較高的BMI與較小的大腦總體積、灰質體積相關,還與較大的白質病變體積有關。

進一步分析發現,顯著的腦灰質體積萎縮主要發生在額葉(參與認知處理、注意力、推理、閱讀流暢性和語言理解)、顳葉(記憶)和前扣帶回(負責認知、注意力)

BMI較高,與較小的腦實質體積、腦灰質體積相關

在年齡小於45歲的參與者中,累積BMI較高與較小的腦實質、灰質體積更顯著,腦實質體積縮小17.9毫升,灰質體積縮小13.4毫升,腦脊液體積增加17.9毫升。

對於小於45歲的人,累積BMI>26.2,大腦體積的變化相當於大腦衰老了12年。

在60歲以上的人羣中,累積BMI較高與較大的白質病變體積有關,白質病變體積增加了6毫升。

孟德爾隨機化分析(側重探索因果關聯)顯示,較高的BMI與腦實質體積、灰質體積呈「負相關」,這表明較高的BMI會導致大腦體積縮小,兩者存在因果關係。

總之,這項研究顯示,高水平的BMI不利於大腦健康,尤其是小於45歲的人羣;整個成年期保持健康的BMI,對保護大腦健康非常重要。

肥胖是怎麼傷腦的?

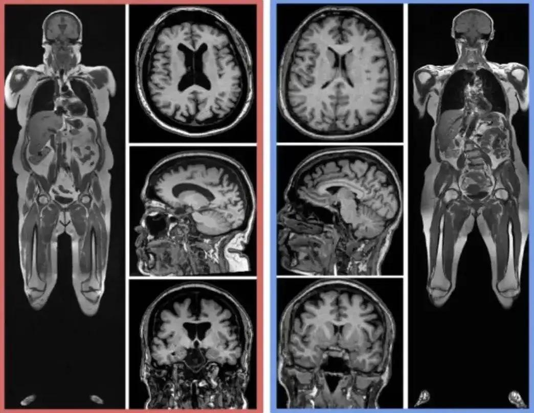
2023年,國際權威期刊《衰老與疾病》刊登的研究顯示,內臟脂肪(表現爲大肚子)和皮下脂肪(能捏起來的肉)升高,與腦容量減少有關。

左側受試者,四肢和腹部有更多脂肪(亮色區域),大腦體積更小。

2023年《柳葉刀》子刊發表的一篇論文,同樣發現肥胖會傷腦,並給出了傷腦的量化標準,即內臟脂肪每增加0.27千克,認知年齡早衰0.7歲。

過量的脂肪,究竟是如何影響大腦功能的?深圳市第三人民醫院神經內科、全科醫學科主任醫師孫德錦認爲,肥胖影響腦功能,依託的是血管這一重要媒介。

“認知障礙中有一個細分疾病,叫血管性認知障礙,一般認爲是由腦血管疾病引起的一種綜合徵,表現爲思維、學習和記憶力較差,即認知下降,隨着病情的加重還可能出現癡呆的情況。”孫德錦說。

過量的脂肪還會通過分泌激素和其他活性因子,幫助調節人體的能量平衡、飢餓和飽腹感,甚至是新陳代謝和炎症反應。

究竟有沒有健康的胖人?

北京大學第一醫院減重門診內分泌主任醫師袁振芳直言,肥胖會增加200多種疾病的發生風險,從上到下影響全身健康。可以說,沒有一個胖人能一直完全健康地活着。

河北省人民醫院心內科主任醫師郭藝芳也表示,從肥胖和健康角度來看,幾乎可以說——不存在健康的胖人

英國倫敦大學曾追蹤隨訪了181名胖人,其中66人是健康的。10年後,41%“健康的胖人”出現了健康問題,20年後這一數字變成了51%。20年中,還有11%“健康的胖人”變成了“健康的瘦人”。

研究的結論是:大多數肥胖者最終都會產生各種健康問題,想做個“健康的胖人”沒那麼容易。

即使成功保持健康且肥胖,這些人的患病風險也明顯高於體重正常者。

高效減脂有兩個“抓手”

超重及肥胖,從來都不只是“審美命題”,更是“健康命題”。

大家都知道,減脂不外乎“管住嘴”和“邁開腿”,但具體怎麼喫、怎麼動能提高減脂效果呢?

管住嘴:注意熱量和營養

袁振芳教授推薦了2種飲食方法:

  • 高蛋白膳食模式,即把飲食中的蛋白質供給比例增加到20%以上,多喫瘦肉、蛋、禽、魚等;
  • 限能量平衡膳食模式,即在保證膳食平衡的情況下,減少每種營養物質的攝入。

普通肥胖者一般建議選用高蛋白膳食模式,有腎病的患者可採用限能量平衡膳食模式。上述2種模式可間歇性混合使用。

邁開腿:複合型訓練,燃脂更高效

肥胖者(BMI≥28)在運動前,最好先做基礎疾病、體脂分佈、肌力、運動耐力等方面的評估,在保證安全的情況下進行。

袁振芳表示,對普通超重及肥胖者,無氧運動+有氧運動相結合最好,一週至少做4~5次,最好每天訓練。

每次訓練可先用15~20分鐘做無氧,如卷腹、仰臥舉腿等,消耗掉體內多餘的糖;後做半小時到40分鐘的有氧,如快走、騎車、游泳等,進一步消耗體內脂肪。

北京體育大學競技體育學院副教授鮑克也表示,多關節參與的複合型訓練有助高效減脂,比如:

1、跑步+仰臥起坐

跑步時長和仰臥起坐個數,應根據自身能力調整,一般跑10分鐘後休息的間歇,做20~30個仰臥起坐。

2、高強度間歇性訓練(HIIT)+恢復性鍛鍊

4分鐘高強度訓練(如原地高抬腿、開合跳)後,進行3分鐘恢復性鍛鍊。例如,在有氧練習後進行仰臥抬腿、徒手深蹲、箭步蹲等練習。

總之,“一胖生百病”不是玩笑話。當身上的贅肉一點點減少,你收穫的不僅是好身材,還有健康、自信與成就感。▲

本期編輯:鄭榮華

相關推薦
請使用下列任何一種瀏覽器瀏覽以達至最佳的用戶體驗:Google Chrome、Mozilla Firefox、Microsoft Edge 或 Safari。為避免使用網頁時發生問題,請確保你的網頁瀏覽器已更新至最新版本。
Scroll to Top