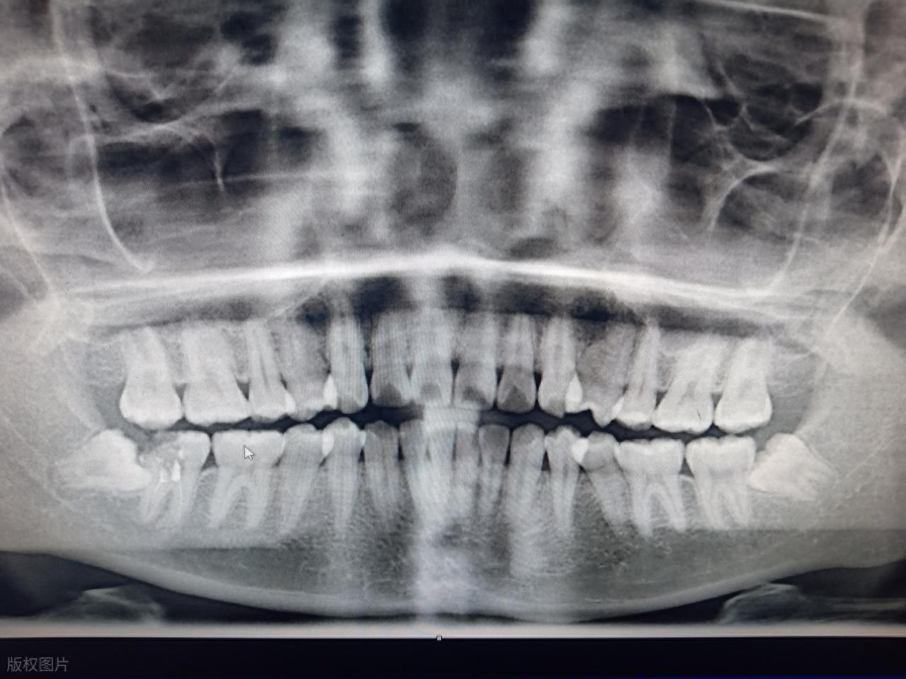
智齒橫着長一定要拔嗎?醫生:這2種情況可觀察,其餘建議拔

來源: 更新:

智齒橫着長,醫學上稱爲“阻生智齒”,是智齒萌出位置異常的常見情況。不少人發現智齒橫着長後,都會糾結是否需要拔除。其實,阻生智齒是否拔除並非絕對,需結合具體情況判斷,但因其潛在危害較多,多數情況下醫生會建議拔除。下面從阻生智齒的危害、拔除的判斷標準及術後護理三方面展開詳細說明。

一、智齒橫着長的潛在危害

1.反覆引發智齒冠周炎

橫着長的智齒無法正常萌出,牙冠周圍會形成盲袋,食物殘渣和細菌易在此堆積。當身體抵抗力下降時,盲袋內細菌大量繁殖,就會引發智齒冠周炎,出現牙齦腫脹、疼痛,嚴重時甚至會導致張口困難、發熱等症狀。這種炎症往往會反覆發作,影響日常生活和進食。

2.損傷鄰牙健康

阻生的智齒會持續對鄰牙產生擠壓,可能導致鄰牙齲壞、牙根吸收、牙周組織破壞等問題。長期的擠壓還可能使鄰牙排列紊亂,影響牙齒正常咬合關係。很多人直到鄰牙出現疼痛、齲壞時,才發現是橫着長的智齒在“作祟”,此時鄰牙的損傷可能已經比較嚴重。

3.引發其他口腔問題

除了影響鄰牙,橫着長的智齒還可能導致口腔內咬合關係紊亂,增加顳下頜關節紊亂病的發病風險,出現關節彈響、疼痛、張口受限等症狀。此外,阻生智齒周圍的牙齦反覆發炎,還可能形成牙周袋,進一步破壞牙周組織,導致牙周炎的發生。

二、智齒橫着長是否需要拔的判斷標準

1.這些情況建議拔除

如果橫着長的智齒已經引發過智齒冠周炎,且反覆發作;或者已經對鄰牙造成損傷,如鄰牙齲壞、牙根吸收、牙周組織破壞等;以及智齒本身出現齲壞、無法正常清潔,或導致口腔內咬合紊亂、顳下頜關節不適等問題,通常建議及時拔除。此外,對於計劃進行牙齒矯正的人羣,爲避免阻生智齒影響矯正效果,醫生也可能建議提前拔除。

2.這些情況可暫時觀察

極少數情況下,橫着長的智齒完全埋伏在頜骨內,與鄰牙無接觸,無任何不適症狀,且通過影像學檢查顯示其生長位置穩定,不會對周圍組織造成潛在危害,這種情況下可以在醫生的指導下暫時觀察,定期複查。但需注意,觀察期間若出現任何不適,應及時就醫評估是否需要拔除。

三、智齒拔除後的護理要點

1.術後24小時內注意止血與休息

拔牙後需咬緊止血棉球30-40分鐘,24小時內避免刷牙漱口、用力吐口水,以防血凝塊脫落引起幹槽症。術後當天應儘量休息,避免劇烈運動、吸菸飲酒,飲食以溫涼、細軟的流質或半流質食物爲主,如牛奶、粥、麪條等,避免用拔牙側咀嚼。

2.術後注意口腔衛生與消腫

拔牙24小時後可輕柔刷牙漱口,但要避開拔牙創口。若術後出現面部腫脹,可在拔牙後48小時內用冰袋冷敷,48小時後改用熱敷,有助於減輕腫脹和疼痛。同時,要遵醫囑服用相關藥物,預防感染。

3.關注術後恢復情況,及時複診

拔牙後若出現持續劇烈疼痛、腫脹加重、創口大量出血或有異味等異常情況,應及時複診。一般情況下,拔牙創口會在1-2周內逐漸癒合,3個月左右牙槽骨會基本恢復正常。恢復期間要遵循醫生的指導,按時複診,確保創口順利癒合。

總之,智齒橫着長多數情況下建議拔除,以避免潛在危害。若發現智齒橫着長,應及時到正規醫院口腔科就診,由醫生根據具體情況進行評估,制定合適的治療方案。拔牙後做好護理工作,有助於促進創口快速恢復,減少併發症的發生。

相關推薦
請使用下列任何一種瀏覽器瀏覽以達至最佳的用戶體驗:Google Chrome、Mozilla Firefox、Microsoft Edge 或 Safari。為避免使用網頁時發生問題,請確保你的網頁瀏覽器已更新至最新版本。
Scroll to Top