身上突然冒出來的小紅點,到底是啥啊?

來源: 更新:

朋友,你有沒有發現:

不知道從何時開始,身上總會冒出一些大大小小的紅點。

喏,小的長這樣,大一點兒的顏色可能更鮮豔——

圖片來源:同事長的

這會兒,你也可以找找看,自己身上有沒有(辦公室同事竟然都有。

小紅點雖然不痛不癢,但隔一段時間就會冒出新的,不免讓人擔心起來。

有人說出現它,是衰老的標誌。

還有人表示,是肝臟出現了問題,得趕緊去醫院:

聽到這,很多人慌了。

身上突然冒出的小紅點,

大概率是血管痣

別慌:

身上突然冒出來的這種小紅點,大概率是「櫻桃狀血管瘤」,俗稱血管痣

圖片來源:《中國皮膚病性病圖鑑》(第 3 版)

看到名字更慌了。

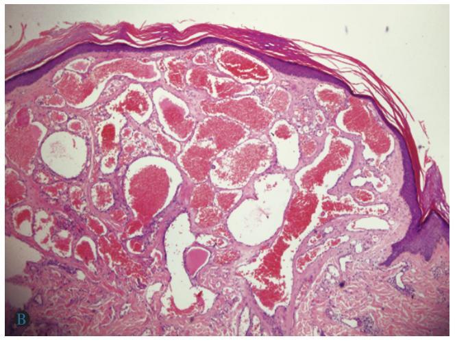
它的名字看着可怕,但不是痣更不是瘤,只是皮膚表面毛細血管擴張和增生產生的紅點。

圖片來源:參考文獻 2 - 櫻桃狀血管瘤病理圖

血管痣的外觀特徵明顯,很好區分和判斷。如果大家有現成的,可以對照一下[1]——

1. 主要長在軀幹或上肢,面部、腿部基本沒有。

2. 剛開始是扁平紅點,部分會長成 1~5 毫米的鮮紅色圓頂狀丘疹

3. 邊界清晰,按壓後不褪色。

4. 沒有瘙癢和疼痛,一般不會自行消退。

要先明確的是,血管痣不是肝臟問題的信號,只是正常的生理現象。

它的存在,對身體也沒有危害,更不會惡化,不需要就診和處理。

其次,它也不是身體衰老的標誌。

從數據來看,這種血管痣雖然在老年人身上更常見,數量更多,但並非他們的專屬。

實際上,約 5% 至 41% 的人在 20 多歲時就會開始出現血管痣[2]

也就是說,你身上的小紅點,可能從 20 歲,甚至更早就有了。

當然,如果你覺得它的存在影響到自己,可以去皮膚科進行激光治療,很方便。

有些小紅點可能是病,

最後 1 種尤其注意

除了血管痣,大家身上可能還有各種叫不出名兒的「小紅點」。

有些小紅點真是身體的毛病,尤其是最後 1 種,如果短期內大量出現,及時去醫院檢查。

➊ 毛囊炎

主要是細菌感染毛囊導致的炎症,它的典型樣子是粟粒大紅色毛囊性丘疹,頂端化膿形成小膿皰,伴有癢、痛。常見於頭皮、面部、頸部、外陰等位置。

圖片來源:《皮膚性病學》(第 2 版)、《中國皮膚病性病圖鑑》(第 3 版)

數量較少的情況下,首選外用抗生素軟膏;如效果不佳,由皮膚科醫生根據情況評估是否需要口服藥物或理療。

另外,毛囊炎還可能升級成嚴重版,比如毛囊深部及周圍組織感染,形成的紅色硬結或包塊叫癤(jiē);很多毛囊感染融合而成,表現出現膿栓叫癰(yōng)

圖片來源:《中國皮膚病性病圖鑑》(第 3 版)

如果出現皮損變大、腫痛、發熱等症狀,一定要及時去皮膚科就診。

注意,危險三角區的癤千萬別用手抓,以防顱內感染。

➋ 紫癜

紫癜,是一種皮膚或黏膜的出血性損害,會出現密集性的小紅血點,按壓不褪色。

根據成因不同,紫癜分好幾種,常見的如壓力性紫癜、過敏性紫癜、色素性紫癜。

其中壓力性紫癜,就是短期內的頭面部血管壓力增高,導致毛細血管破裂形成小血點。一般在劇烈咳嗽、嘔吐、大哭之後容易引發,一段時間後會自行消退,不用擔心。

圖片來源:《中國皮膚病性病圖鑑》(第 3 版)

色素性紫癜從樣子上看,它的紅色淤點會融合成片,向外擴展,可能會輕微發癢。它對健康的影響也不大,具體可以去醫院進一步評估。

圖片來源:《皮膚性病學》(第 2 版)

需要關注的是過敏性紫癜,和前兩者不同,它是一種血管炎。主要出現在雙下肢,呈現出血性的斑丘疹。它對健康有一定威脅,需要去皮膚科就診,去除病因。

圖片來源:《皮膚性病學》(第 2 版)

➌ 蜘蛛痣

最後一種,蜘蛛痣,屬於血管病變,但發病機制還未完全明確。

一般中央會有略隆起的紅點,向四周有放射狀的毛細血管,形狀像蜘蛛。

用力按壓中心的隆起處,周圍的條紋會消失褪色。

圖片來源:站酷海洛、《中國皮膚病性病圖鑑》(第 3 版)

它可能會出現在健康人羣,比如兒童、妊娠女性,一般妊娠女性生產後 2 個月後會自行消退。

一般健康人羣身上的蜘蛛痣不用擔心,如果覺得影響美觀,可以進行激光或電解術治療。

但要注意,它也可能出現在肝病患者身上。

如果發現短期內蜘蛛痣大量增加,還伴隨以下情況,一定要及時去醫院明確病因:

  • 全身乏力、疲勞或浮腫;

  • 全身皮膚或鞏膜發黃;

  • 食慾減退、厭油膩食物、噁心、嘔吐、腹脹等;

  • 牙齦易出血、鼻血、紫癜等;

  • 少尿、黑便、嘔血等。

這幾年,大家越來越關注身體出現的「小變化」,這是好事。

對身體的變化不確定時,最好的辦法就是少猜測,少焦慮,尋求專業醫生的幫助,而不是盲目緩解或去除。

如果你的親朋好友正在爲身體的小紅點疑惑,不妨 轉發給 TA,一起先對照看看。

本文審覈專家

參考文獻

[1] Qadeer HA, Singal A, Patel BC. Cherry Hemangioma. In: StatPearls. StatPearls Publishing, Treasure Island (FL); 2023. PMID: 33085354.

[2]餘音,閻衡,刁慶春,等.櫻桃狀血管瘤[J].臨牀皮膚科雜誌,2016,45(08):556+
555.DOI:10.16761/j.cnki.1000-4963.2016.08.002.

[3]《皮膚性病學》(第 2 版)

[4] 《中國皮膚病性病圖鑑》(第 3 版)

策劃製作

策劃:之樹 | 監製:Feidi

封面圖來源:站酷海洛

身上長了小紅點,要干預嗎?

皮膚上長了不明疙瘩怎麼辦?

試試線上拍照諮詢醫生

最近微信改版了,有讀者說找不到我們的文章

相關推薦
請使用下列任何一種瀏覽器瀏覽以達至最佳的用戶體驗:Google Chrome、Mozilla Firefox、Microsoft Edge 或 Safari。為避免使用網頁時發生問題,請確保你的網頁瀏覽器已更新至最新版本。
Scroll to Top