毀眼的隱形殺手,我們每天都在超量喫

來源: 更新:

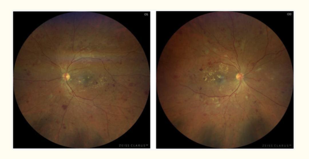
在眼科診室裏,最令醫生難受的不是近視一千度,而是那種「像被機關槍掃射過」的眼底。

《PMC》的一篇病例報告中,報道過一位 33 歲男性患者,視力在短短一週內,從正常退化到只能看得到手指晃動。

醫生通過眼底鏡一看:視網膜上佈滿了出血點和滲出物,中心黃斑區可見水腫。

圖片來源:文獻

高血糖環境下,微血管可能受氧化應激和炎症影響,變得脆弱易滲漏。爲了代償,眼底可能出現視網膜微血管瘤及生成新生血管,但這些血管易破裂導致出血。

這是典型的糖尿病視網膜病變(DR)。

你可能會說:我又沒糖尿病,這離我太遠了。

這正是最大的誤解。 高糖對視力的影響,在演變成糖尿病之前就已經悄悄開始了。

據世界衛生組織(WHO)數據顯示,全球超過 22 億人遭受視力損害,而高糖攝入可能作爲風險因素參與這個進程。

研究顯示,長期高糖飲食即使在非糖尿病人羣中,也會讓眼部併發症風險增加相關。

高糖與視力問題的關聯,被低估太久了。

一、 糖,無差別轟炸眼睛

我們總以爲,只要沒確診糖尿病,血糖的波動就只是體檢單上的數字。

但真相是,每一次高糖攝入引發的血糖飆升,都是對眼底微血管的一次衝擊。

而糖之所以很難對付,還因爲它是一個非常複雜的對手,從來都不是莽夫的打法,而是伴隨着遺傳和其他傷眼習慣,非常有技巧性的選手——

在不同的人生階段,它都會找到最爲薄弱的環節,開始狙擊。

圖片來源:giphy

01 拉長眼軸,狙擊小孩

先說結論:高糖與兒童近視可能有關,而且對女孩影響更大。

在 0~12 歲眼球發育的關鍵期,最重要的事情就是保持眼球的長度(眼軸)穩定發育,這決定了孩子一生的視力。

正常眼軸約 23.5mm,高糖飲食可能作爲風險因素,與眼軸延長相關。

甜食攝入後,體內胰島素激增,可能釋放出大量的生長因子,這些物質可能作用於眼球的最外層「殼」——鞏膜。

圖片來源:giphy

想象眼球是一個緊實的皮球,現在外殼頂不住壓力,變薄、變軟,在正常的眼內壓力下,眼球就會像被吹薄的氣球一樣向後膨脹。

對於兒童青少年,眼軸每被「撐長」1mm,近視就增加 165~259 度。

很少有人會注意到高糖在這裏面的關聯,它美美隱身,然而這種結構性改變是永久性的,一旦拉長,誰也縮不回去。

02 干擾晶狀體,狙擊大人

有些人會在大喫大喝的高糖攝入之後,感覺眼睛好像模糊了......

圖片來源:

這不是錯覺:成年人的視力波動,可能也與高糖引發的滲透壓變化相關。

當你攝入過量糖分,血糖迅速攀升,多餘的糖會湧入晶狀體,並轉化成一種極難排出的物質:山梨醇。

山梨醇可以幹嘛呢?吸水:

圖片來源:網絡

它像強力海綿一樣,將周圍的水分吸進晶狀體內部,晶狀體直接被被「泡腫、泡大」了。

這就是爲什麼,有時候高血糖攝入之後會有模糊感,這種反覆的「腫脹-乾癟」過程,也會對晶狀體造成持久創傷。

03 搶能量,狙擊全人羣

視神經是最累的,它連接眼睛與大腦,工作極其耗能,需要依靠維生素 B1 作爲「電力來源」的支持。

然而,糖分是個「路霸」,高糖代謝時會強行搶走維生素 B1,視神經與糖在競爭同一份能源,可能導致視神經沒得喫。

圖片來源:giphy

長時間用眼之後,你眼眶極度酸脹、對焦遲鈍,這可能不是簡單的疲勞。長期缺乏 B1,可能導致視神經功能衰退,甚至引發不可逆的損傷。

二、控糖,最廉價的「護眼藥」

糖,是個太危險狡詐而且能力很強的對手,但我們也不是束手無策。

圖片來源:網絡

基於大量隨機對照試驗的結論,你可以通過以下三招進行自救:

01 嚴控「25 克」

根據 WHO 指南,每日添加糖應嚴格限制在 25 克以內。

一杯所謂的三分糖奶茶,含糖量依然高達 25~33 克,喝着不怎麼甜,但一整天只喝一杯,就已經超過了每日 25 克的推薦限量。

更別提一盤魚香肉絲、一塊威化巧克力,就能讓你的糖分攝入瞬間爆表。

02 建立血糖「緩衝帶」

改變進食順序:先喫蔬菜(纖維),再喫肉類(蛋白),最後喫主食(碳水),這種順序能降低血糖峯值,也能平緩血糖波動。

一起保護晶狀體,讓它少受衝擊好嗎!

圖片來源:網絡

補充維生素 B1:增加粗糧、綠葉菜攝入,補足被糖代謝消耗掉的維生素 B1,爲視神經「供電」。

03 強化「多巴胺保護」

每天保證 2 小時以上的戶外活動。

強光能刺激視網膜產生多巴胺,這是一種天然的「眼軸穩定劑」。干預試驗顯示,增加戶外時間能降低近視發生率。

我們習慣於給視力受損找各種理由:手機刷多了、燈光太暗了、熬夜太猛了。

但很少有人意識到,那口被嚥下的糖,也正在暗處通過複雜的代謝鎖鏈,悄悄勒緊我們的視神經和眼軸。

眼睛是極其精密的儀器,它經不起高糖環境長年累月的「浸泡」與「沖刷」。

控糖,本質上是在爲我們的眼睛換取更長的保質期。

本文審覈專家

參考文獻

[1]Ranathunga I, Idampitiya C. Proliferative diabetic retinopathy as the initial presenting feature of type 1 diabetes. Endocrinol Diabetes Metab Case Rep. 2023 Dec 18;2023(4):22-0406. doi: 10.1530/EDM-22-0406. PMID: 38108392; PMCID: PMC10762546.

[2]Ebrahimi MH, Gharibi H. A case study of a patient with diabetic retinopathy. Diabetes & Metabolic Syndrome. 2016 Jul-Sep;10(3):166-168. DOI: 10.1016/j.dsx.2016.01.022. PMID: 26907970.

[3]Kang Q, Yang C. Oxidative stress and diabetic retinopathy: Molecular mechanisms, pathogenetic role and therapeutic implications. Redox Biol. 2020;37:101799. doi:10.1016/j.redox.2020.101799.

[4]Berticat C, Mamouni S, Ciais A, et al. Probability of myopia in children with high refined carbohydrates consumption in France. BMC Ophthalmol. 2020;20(1):337. doi:10.1186/s12886-020-01602-x

[5]Unhealthy Dietary Trends Linked to Myopia in Children. Review of Optometry. 2026.

[6]Thorne CA, Elliott C, Yan J. The Synergistic Effects of Polyol Pathway-Induced Oxidative and Osmotic Stress in the Aetiology of Diabetic Cataracts. J Clin Med. 2024;13(15):4433. doi:10.3390/jcm13154433.

[7]Gratton SM, Lam BL. Visual loss and optic nerve head swelling in thiamine deficiency without prolonged dietary deficiency. Clin Ophthalmol. 2014;8:1021-1024. doi:10.2147/OPTH.S59129.

[8]French AN, Ashby RS, Morgan IG, Rose KA. Time outdoors and the prevention of myopia. Exp Eye Res. 2013;114:58-68. doi:10.1016/j.exer.2013.04.018.

策劃製作

策劃:塔蓋 | 監製:Feidi、王姐

插圖:見圖注 | 封面圖來源:hantu

最近微信改版了,有讀者說找不到我們的文章

相關推薦
請使用下列任何一種瀏覽器瀏覽以達至最佳的用戶體驗:Google Chrome、Mozilla Firefox、Microsoft Edge 或 Safari。為避免使用網頁時發生問題,請確保你的網頁瀏覽器已更新至最新版本。
Scroll to Top