脊柱裂專欄-第39期( 嬰兒之脊髓栓系+椎管內脂肪+脊髓脊膜膨出)

來源: 更新:

新手爸媽們格外關注寶寶的身體發育,脊髓栓系綜合徵合併椎管內脂肪瘤、脊髓脊膜膨出,是新生兒期常見的先天性脊柱脊髓發育異常問題,像 3 月齡的小唐(化名)寶寶這樣的情況,產檢中就可能發現骶尾部包塊等異常信號,早認知、早發現、早干預,對寶寶的神經功能保護至關重要。

脊髓脊膜膨出是脊柱裂的典型表現,因寶寶脊柱椎板先天未正常融合,脊髓和脊膜會從脊柱缺損處向外膨出,形成體表可見的包塊;椎管內脂肪瘤則是椎管內長出的異常脂肪組織,會牽拉、壓迫脊髓;而脊髓栓系綜合徵,正是因脂肪瘤、膨出的脊膜等組織持續牽拉脊髓,使其無法隨寶寶身體發育正常上移,進而持續損傷神經功能,三者常合併出現,相互影響加重病情

脊髓脊膜膨出的典型症狀在新生兒期就十分明顯,最突出的是腰骶部出現大小不一的囊性包塊,哭鬧、用力時包塊會膨隆變大,部分包塊表面還會伴隨皮膚髮紅、色素沉着、異常贅生物或毛髮增生;同時因脊膜和脊髓膨出壓迫神經,寶寶還可能出現餵養困難、腹脹、大小便排泄異常,部分寶寶會伴隨肢體活動無力、肌張力異常等神經受損表現,若包塊破損還可能引發腦脊液漏、顱內感染等嚴重併發症。

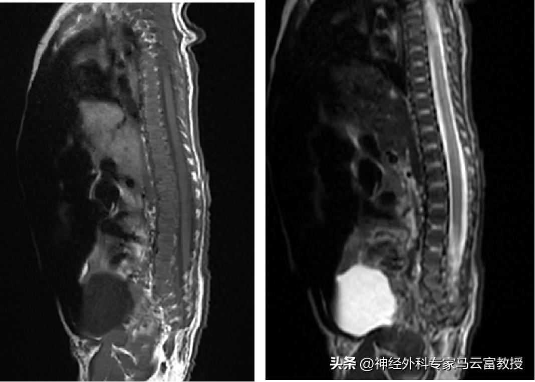
腰骶椎MRI顯示脊髓栓系+脊髓脊膜膨出

脊髓栓系綜合徵的症狀會隨寶寶成長逐漸加重,新生兒期多伴隨脊膜膨出出現腹脹、排便不暢等問題,隨着年齡增長,會逐漸出現肢體活動障礙,如走路姿勢異常、足部畸形,大小便功能障礙會進一步加重,表現爲失禁、反覆尿路感染、頑固性便祕,還可能出現腰背部、會陰部感覺遲鈍,甚至脊柱側彎等骨骼發育異常,這些症狀均因脊髓持續受牽拉,神經功能進行性受損導致。

腰骶椎CT顯示脊柱裂

不過寶爸寶媽們不用過度恐慌,這類先天性疾病並非無計可施,早診斷、早手術是核心治療原則,且需多學科聯合評估制定方案,像我院爲小唐寶寶開展麻醉科、PICU、影像科等多學科會診,就是爲了精準把控治療全程。

針對脊髓脊膜膨出,手術核心是修補脊柱缺損的椎板和硬脊膜,將膨出的脊髓和脊膜回納至椎管內,嚴密縫合缺損部位,防止腦脊液漏和顱內感染,同時切除膨出的多餘囊壁;針對合併的脊髓栓系綜合徵和椎管內脂肪瘤,需同步行脊髓栓系鬆解術 + 椎管內脂肪瘤切除術,鬆解被牽拉、粘連的脊髓,切除壓迫脊髓的異常脂肪組織,解除脊髓的機械性牽拉和壓迫,從根源上阻止神經功能進一步受損。

手術時機一般建議在寶寶出生後儘早開展,若產檢發現異常,出生後完善檢查評估,符合指徵者及時手術,能最大程度保護未受損的神經功能。

該病的預後與手術時機、神經受損程度密切相關,這也是強調 “早干預” 的關鍵。若在寶寶神經功能未出現不可逆損傷前及時手術,術後配合專業的康復護理(如排便訓練、肢體功能鍛鍊)和定期隨訪,多數寶寶能有效阻止症狀進展,大小便功能、肢體活動可逐漸恢復,能正常生長髮育,日常活動、學習生活基本不受影響;若發現較晚,神經已出現不可逆損傷,術後雖能防止病情進一步加重,但已受損的功能可能無法完全恢復,可能遺留輕度大小便異常、肢體活動不便等問題。

早發現是改善預後的前提,產檢中發現胎兒脊柱、腰骶部異常時,及時到湖北省婦幼保健院神經外科就診;寶寶出生後若發現腰骶部包塊、皮膚異常,或出現餵養困難、大小便異常等情況,需立即完善脊柱 CT、MRI 等檢查明確診斷。專業的診療、及時的手術配合術後科學康復,能爲患病寶寶的健康成長保駕護航。

馬雲富主任照片

馬雲富、教授、主任醫師、碩士研究生導師、湖北省婦幼保健院小兒神經外科主任、原鄭州大學第三附屬醫院(省婦幼)小兒神經外科主任、河南省嬰幼兒腦積水疾病診療中心主任、河南省兒童癲癇診療中心副主任、河南省預防醫學會嬰幼兒腦積水防治專業委員會主任委員、河南省醫學會神經外科分會小兒神經外科專業委員會主任委員

相關推薦
請使用下列任何一種瀏覽器瀏覽以達至最佳的用戶體驗:Google Chrome、Mozilla Firefox、Microsoft Edge 或 Safari。為避免使用網頁時發生問題,請確保你的網頁瀏覽器已更新至最新版本。
Scroll to Top