不洗牙不傷牙,還想讓牙快速白回來,立刻用上它!

來源: 更新:

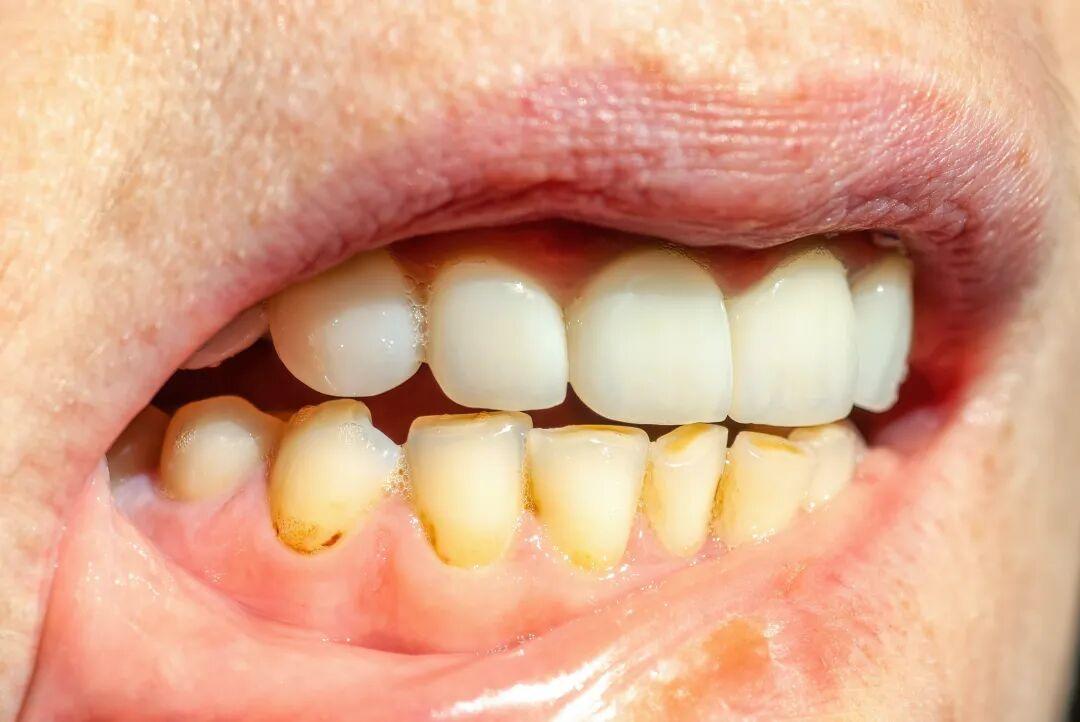
這是不是你的牙齒——

看上去,就是兩排整齊的「漸層色號」。從牙縫到牙根,深深淺淺暈染着煙漬黑、奶茶黃、咖啡棕……

越往牙縫和牙根,着色越放肆。

圖片來源:圖蟲創意

湊近一瞧,牙齦邊緣還趴着一圈白黃交錯的硬垢,牢牢焊在牙面上。

刷牙?彷彿在給它們拋光;

手摳?除了牙齦抗議出血,它們根本無動於衷

圖片來源:圖蟲創意

不費事,超簡單的白牙方式

用對無痛挽救大黃牙

甚至,還能預防牙結石

牙上天長日久的黃和黑,絕對算得上是污漬界的金剛不壞 Pro Max 版。

有的,主打物理猛攻:像煙漬、咖啡奶茶裏的單寧酸,會從牙釉質上的微孔裏,往牙裏滲!

有的,玩的是「化學固化術」:像牙菌斑,會和口腔裏遊離的鈣離子結合,如同垃圾堆遇上了自己的強力膠——將本來一刷就掉的髒東西,鈣化成堅固難去除的硬茬。

-廣告-

想要讓牙白回去,最日常、最簡單、最便捷的方式就是——

刷牙

這可是咱日常不用堅持,就在做的事。

只是,要想它發揮作用,關鍵是要選對牙膏。

要知道,光靠普通牙膏,對於已經往牙裏滲的色素污漬,有心無力;面對埋在暗處蠢蠢欲動的牙菌斑和隨時會固化它的鈣離子,則是無能爲力。

還好,咱丁香就是個愛硬磕硬茬的實心眼,市面上不好找,我們乾脆就直接研發了這款

經三方真人檢測,14 天快速白牙

對外源性牙漬相對清潔力

高達 195%

還能抵禦牙結石的

丁香光感白美白牙膏

它的強悍,不用形容詞渲染,簡單介紹下配方思路,就能感受到它的不同——

● 牙上已有的頑固色素,我們從物理 + 化學雙路奇襲:

對外源性牙漬相對清潔力高達 195% ,受試者 14 天白牙初現。

● 嘴巴里的遊離鈣,它能用螯合劑固定吸附,讓其反而成爲牙的保護膜:

既能抑制牙結石生成,又能 16 小時長效抵禦牙漬,還能加速色素脫落;

相當於這一支牙膏,又要牙白得好看,還要你白得健康。

而在費了這麼多配方心思的基礎上,咱的價格更是實打實的給足了實惠。

日常 49 元 1 支的牙膏,這次開團,2 支僅需 69 元。

但我更建議你買 2 組——

不但僅需 118 元

相當於每組便宜 10 元

還送 2 支小樣

疊加省錢卡後

到手低至 28.25 元!

一支超市普通牙膏的價格,就能帶走一支功效牙膏。

微米級摩擦劑 + 化學溶解

雙通路美白

連煙漬都能猛猛淡

01 第一重白牙除垢攻擊:微米級摩擦劑

市面上不少牙膏只用摩擦劑來白牙除垢,但摩擦劑其實也有講究:

摩擦劑顆粒的粒徑越小,越不容易損傷牙釉質,也越容易刷得乾淨。

這款牙膏用的摩擦劑是二氧化硅和硅石、沸石的精密配比。

就像是用強力絲瓜絡搭配百潔布,既保證了高摩擦力,又不像很多硬如鋼絲球的摩擦劑一樣易傷牙。

主摩擦劑水合硅石(二氧化硅),更是做到了微米級:

在牙齒細微凹凸處和縫隙中穿梭自如,對牙齒進行精細的「拋光」卻不磨損牙,就像靈活的掃地機機器人,精準清除外源性污漬。

放大 20 倍,才能看到極細的顆粒

而沸石有多孔的結構、硅石顆粒細膩且硬度適中,既能有效去除牙齒表面的污漬和色素沉着,也不會傷牙齒、牙齦。

02 第二重去黃去漬魔法:PAP 色素牙漬撕裂者

市面上的化學除漬多用的是過氧化氫,但它通過自由基來溶解色素和牙漬,而濃度一高自由基一多,就可能會讓牙齒敏感和刺激牙齦。

所以咱們派出了超溫和的「色素殺手」——PAP(苯二甲酰亞氨基過氧己酸)。

它可以軟化、瓦解頑固牙漬,也就是將大分子的髒東西分解成小分子,讓摩擦劑更好地發揮作用,從嘴巴里出去。

值得一提的是,PAP 還不產生自由基!

所以它自然對牙齒、牙齦更溫和!長期使用完全沒問題。

雙通路美白 + 清潔,比第一代更優秀!

用過咱們 UFR 去漬牙膏的都知道,它的美白去漬效果已經很出色了。

而這次升級後,我們拿新品和老款做了對比:

新品的去漬、美白效果

比老款整整提升了 152%

實際使用效果因人而異

在受試者使用了僅僅 14 天,牙齒就白了 14.1%,而視覺上的牙齒黃度,竟然降低了 17.81%,這美白效果槓槓滴。

實際使用效果因人而異

好評率嘎嘎高,上下滑動查看

具體情況因人而異

三聚磷酸五鈉 + 焦磷酸四鈉

轉攻爲守,按住過量的遊離鈣

讓色素、牙結石難以下腳

咱口腔裏的鈣離子,只要唾液存在,它必然無處不在。遇到牙菌斑,就容易使壞。

所以,咱直接兵出奇招,選擇了「三聚磷酸五鈉 + 焦磷酸四鈉」。

它倆妙就妙在,本質上作爲螯合劑,可以和牙齒上的鈣離子結合,直接打斷牙菌斑和色素團的施法——

一方面,避免「幼年污漬」一步步鈣化,成爲堅固難去除的牙結石;

另一方面,還能在牙齒表面形成一層保護膜;

既讓牙垢難以寄生,也能使牙齒表面的色素更加容易分離、脫落。

爲了驗證作用,我們以羥基磷灰石粉末(牙齒的主要組成成分)作爲試驗對象,相比於 5% 焦磷酸鈉溶液,可以看到,使用咱們的牙膏之後,

牙結石的抑制率爲

111.3%!

具體情況因人而異

而這支牙膏創造出的防護膜,還有個特別的本事——「鎖白」。

怎麼纔算鎖白呢?我們又做了一個試驗。

模擬刷牙後,在醬油、咖啡、紅茶、紅酒、巧克力製成的染色液中染色 16 小時,與對照組對比牙齒白度的差值,結果顯示:和對照組相比,刷過的牙齒

外源性色斑的抵抗力高達 159%

效果可以持續 16 小時

上下滑動查看

實際使用效果因人而異

也就是說,這款牙膏不光能幫你預防牙垢形成牙結石,還能避免牙齒受到色素的侵擾!

妥妥的一舉兩得。

本本分分含氟

老老實實防齲齒

科學白牙不傷牙

很多人覺得美白牙膏可能對牙齒會有傷害,但這款牙膏真正做到了不傷牙齒,也不刺激口腔黏膜,還能防齲齒。

01 含氟 0.14%,防齲齒

這款牙膏是含氟牙膏,即使是把美白功效做到非常棒,但是牙膏的老本行依舊沒有忘。

氟含量 0.14%,有效抵禦口腔中酸性物質對牙齒的侵蝕,預防齲齒。還能抑制口腔中某些產酸細菌的生長和代謝,間接保護牙齒免受酸蝕。

真正不傷牙釉質、對口腔黏膜 0 刺激的美白牙膏

別看物理成分、化學成分都有,但是這款牙膏卻溫和到連柔嫩的口腔黏膜都不會傷害。

爲了讓大家放心,咱們專門做了試驗,對口腔黏膜 0 刺激,足夠證明它的溫和。

上下滑動查看

而牙釉質的實驗也沒落下,檢測中是用玻片來模擬牙齒,證明用牙膏後無劃痕,所以不會傷害牙釉質,大家可以放心用。

上下滑動查看

除了成分精選和溫和性,整體配方體系也很優秀:

爲了維穩美白去漬成分,確保成分活性持續發揮功效,不主動添加一滴水。

沒有了水的位置,更有助於維持成分的活性,真的每一個細節都考慮到了。

未主動添加水,膏體爲啫喱狀

牙膏盒裏暗藏一張牙齒美白色階對比卡,讓你一天天看到牙齒的變化!

日常 49 元 / 支也不貴,但這次開團價誠意超足,2 支立省 29 元,只要 69 元;

買 2 組共 4 支

僅需 118 元

還再送 2 支同款小樣(40 g)!

戳圖享特惠,立即搶購

口味也是無法忽視的重要一環,畢竟這是入嘴的東西。

這次主推的是清香茉莉型——刷完牙說話都像在吐香氣彈幕。

不是普通茉莉香,而是清晨第一茬小花苞,進入口腔的時候,就彷彿咬破了一朵朵新鮮的茉莉花苞,在口腔迸出的幽幽香氣。

刷完牙,喉間還有這淡雅的回甘,好像有人在你的舌尖放了一朵會融化的茉莉雲。

同事小姐姐試用,牙膏超好聞

想要這樣的場景嗎?合照時主動站 C 位,被 crush 突然湊近說話,呼吸間都是清冽茉莉香,和客戶談判前從容露齒一笑,專業值拉滿。

擁有笑出強大的底氣,告別「露牙即社死」的宿命,這支牙膏就是你的入場券!

日常價 49 元 / 支,但這次上新開團,單支直降 10 元,到手 39 元,2 支立省 30 元,只要 69 元!

強烈建議買 2 組共 4 支

不但僅需 118 元!

一組便宜 10 塊錢

還送 2 支同款小樣(20 g / 支)

家有小孩,想要一次性把全家牙膏一口氣打包帶走的,咱也準備好了組合——

2 支丁香好物光感白 + 2 支丁香媽媽兒童牙膏,僅需 99 元!

要知道,光這一隻兒童牙膏咱日常開團,也得 19.9 元。

這次開團,直接把成人的孩子的牙膏價格一口氣打下來。這優惠,千萬別錯過!

關於美白牙膏的靈魂拷問

Q:這款美白牙膏會損傷牙齦嗎?

A:通過口腔黏膜檢測,刺激性爲 0。第一次使用,會有些許熱感。

Q:多大年齡可以用?

A:建議 12 歲以上。

Q:和一代 UFR 牙膏有什麼差異?

A:這款磨擦劑升級爲微米級,顆粒更細,同時添加了化學白牙通路,清潔力更強;且爲低水配方(未主動添加水),膏體爲啫喱狀。

溫馨提醒:建議每天養成良好的牙齒護理習慣,堅持使用光感白牙膏,搭配定期洗牙護理,煥白效果更加持久。

這次開團,可是開年大促纔有的力度,想要一邊白,還能修護牙齒、抗敏感的姐妹們,這次我們把新品抗敏牙膏也拉來做組合,想要的趕緊衝!

戳圖享特惠,立即搶購

參考文獻

[1] Wenji Cai, Nadia Dubreuil, Lina Abu Nada et al.Dental Calculus Formation Rate: The Role of Salivary Proteome and Metaproteome. J Clin Periodontol. 202552(4):612-621

[2] Lustmann J, Lewin-Epstein M, Glickman I.Scanning Electron Microscopy of Dental Calculus.Journal of Nihon University School of Dentistry 1976 Aug 3;21(1):47-55.

[3] Harrel SK, Cobb CM, Nunn ME, Zhao D. Laser and scanning electron microscopy evaluation of residual microislands of calculus. J Periodontol. 2025 Mar;96(3):268-278. doi: 10.1002/JPER.24-0191 . Epub 2024 Jun 27. PMID: 38937866; PMCID: PMC11951954.

策劃製作

策劃白朮 | 監製:大王

圖片來源:丁香設計團隊

科學審覈:丁香科學嚴審團

商品信息

活動名稱:丁香光感白美白牙膏

活動時間:2026-2-26 12:00 至 2026-3-2 24:00

發貨信息:工作日下單,3 個工作日內完成發貨 (週末 / 節假日順延)

查找訂單:微信搜索【丁香家】健康商店小程序 -【我的】-【全部訂單】-【查看物流】即可查看物流信息。

聯繫客服:打開商品詳情 - 左下角 - 點擊「客服」留言。

相關推薦
請使用下列任何一種瀏覽器瀏覽以達至最佳的用戶體驗:Google Chrome、Mozilla Firefox、Microsoft Edge 或 Safari。為避免使用網頁時發生問題,請確保你的網頁瀏覽器已更新至最新版本。
Scroll to Top