想要牙齦健康,真心勸你:狠狠用它!(超靠譜

來源: 更新:

人面對牙齒,有點像餘華筆下的「渣男」。

醒悟太晚、悔恨太遲,發誓要改變,卻又幾乎做不到。

明明一開始只是牙酸、牙略痛,刷牙時出點血……及早干預,不僅能有更好的牙齒狀態,更能少遭罪、少花錢!

但總覺得無所謂、不重要,沒關係,還能撐,等以後。

結果呢——

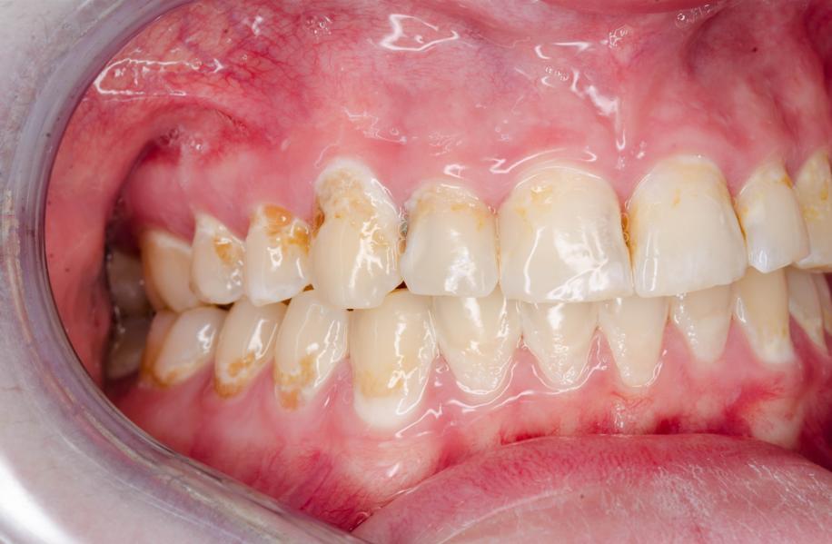
口臭、牙痠痛、敏感……全都吻了上來

圖片來源:站酷海洛&圖蟲創意

但,要說其中最折磨人的,又得當屬:牙齦問題。

研究發現:35~44 歲的年齡層中,牙齦出血檢出率高達 87.4%,牙結石檢出率高達 96.7% [1]。(家庭支柱的中年羣體尚且如此,更別提其他人)

再嚴重點,還可能滋生牙齦敏感、牙齦炎、牙周問題、牙齦萎縮等超級難題。

一旦牙齦不好,是真的麻煩,又疼痛磨人,還可能花大筆錢也覆水難收!

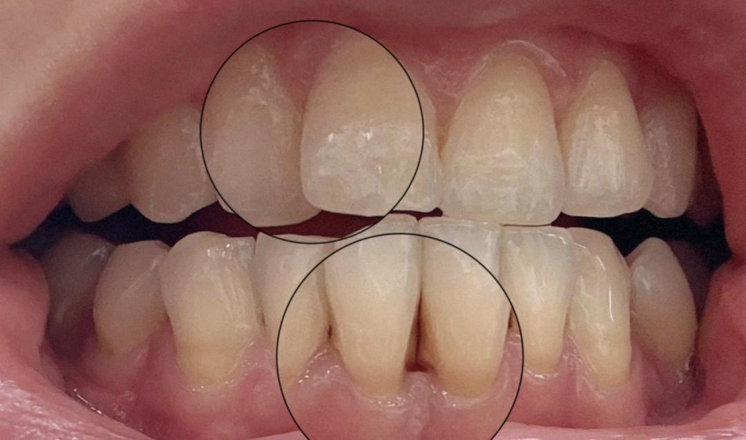
三十歲不到

牙齦已漸漸萎縮、牙縫已變寬的痛,誰懂!!

圖片來源:朋友友情提供

想要牙齦健康

關鍵在於:「牙菌斑」

牙菌斑,是我們牙齒上不斷形成的細菌性生物粘性膜,天生就是「反派」,還很難根除。

咱口腔大部分疾病,都是由它引起的。

早上起來,會特別明顯

你在牙齒上刮一刮,那層又黏又薄的膜就是!

這傢伙,簡直就是無死角傷害咱們 ——

① 產酸腐蝕:你喫完東西,它就開始產酸,日夜不停地腐蝕你「不可再生」的牙釉質,直到蛀出個洞。

② 鈣化變硬:沒被及時清理掉的牙菌斑,會混合唾液鈣化,變成牙結石,像水泥一樣擠壓刺激你的牙齦,導致出血、發炎,口臭,甚至是牙齦萎縮掉!

並且,它的定植速度又快,又喜歡躲在「陰暗角落」。啥意思?比不講理的甲方可難搞百倍!

很多時候,你以爲你的牙刷乾淨了,實際上可能都是殘存的「牙菌斑」!

就像這樣

在牙菌斑顯示劑的測驗下

發現,它還很多!

咋辦呢?其實,我們口腔裏自帶一位專門克它的專家——溶菌酶,酶如其名,它可以瓦解掉細菌、助力擊垮牙菌斑。

只可惜,它也逃不過年齡、熬夜、壓力等的傷害。

年輕時的溶菌酶大殺特殺

但到後來面臨了「老齡化」問題

戰鬥力下下下降的同時,也無勇猛後生支援

—廣告—

自帶的「口腔護衛隊」缺兵少將……是時候給空投一支 「超級外援」 了!

別害怕!咱們直接帶着解決方案來了——

添加抑菌成分——「溶菌酶」

能有效對付牙菌斑!

專注改善牙齦問題

好易康 9 號溶菌酶牙膏

1 支抑菌斑、清口氣、護牙齦

過年,送給家人超貼心❤️

1 個它,就能直擊源頭,不僅能清新口氣,還能抑制牙菌斑,改善牙齦問題……

不僅咱覺得好,用過的人也是嘎嘎好評:

「人到中年的護齦選擇」

「幹刷舒適,起泡快」

「用完試用,就連囤四支」

「牙齦問題有改善,味道好聞清新」

……

甚至還有不少咱 9 號的死忠唯粉呢!

上下滑動查看:

實驗數據也很牛! 90 名受試者,連續使用好易康生物溶菌酶牙膏 12 周後:

95% 的受試者牙齦指數降低

97.5% 的菌斑減少

95% 的牙結石降低

77.5% 的口臭得到改善

……

年前最後一波活動了,咱直接準備好了超級划算的囤貨價,想要的姐妹真的要立馬下單!

花小錢,購入一份簡單、卻真正有效的牙膏口腔護理,遠比日後花大價錢去治療牙周炎、甚至種牙要划算得多!

送給家人,也超省心~

牙齦想要更健康

是真的超建議用它

必須提醒:用這支牙膏時,不用蘸水!不用蘸水!不用蘸水!幹刷三分鐘就 ok

專利溶菌酶配方

超強戰鬥力,對抗牙菌斑!

市面上很少有溶菌酶牙膏,不是因爲不想加,而是因爲它太嬌氣、太容易失活了!還沒碰到牙菌斑,自己在牙膏裏就出師未捷身先死了。

但別擔心,好易康的 「溶菌酶專利配方技術」,攻克的就是這個核心難題。

它能讓咱派出的溶菌酶,健康力壯、擁有超絕戰鬥力。

活性溶菌酶能隨泡沫,深入清潔死角,直接瓦解細菌結構。巢穴都快被它攪沒了,細菌們哪兒還有幹壞事!

從源頭摁住牙菌斑的勢力,牙齦受到的持續攻擊也就會停止,自然也就能改善牙齦泛紅等不適!

牙黃、牙結石,牙齦問題

它都能一舉拿下!

光有個溶酶菌是不夠全面,咱們派出來的是一整個部隊,配置堪稱「豪華天團」,分工明確:

用過美白牙膏的都知道,磨擦劑可是個狠角色,而好易康用的水合硅石球形摩擦劑,能幫你的牙齒溫和拋光。

不光能帶走細菌和污垢,而且它天生顆粒小,質地柔軟,不像劣質摩擦劑那樣會磨損你的牙釉質,但是又能結結實實地給細菌污垢「溫柔一刀」。

面對敵人時:它手起刀落、敵人迅速瓦解坍塌了;而面對需要解救的你,菩薩心腸,細細溫撫你!

妥妥一枚✨溫柔「清道夫」!

第二位是焦磷酸四鈉(螯合劑),扮演 「牙結石拆解師」的角色 。

它最牛的是:能有效阻攔牙菌斑鈣化,搶先將鈣離子五花大綁在自己身邊,讓它遠離牙菌斑,就像王母阻攔織女、牛郎一樣,讓二者無法碰頭—— 也就無法相遇變硬形成牙結石,相當於從源頭上給牙結石工廠「斷糧」⚡️。

並且,它還能防止色素沉着,平時沒事愛好喝咖啡喝茶,抽個小煙的,也不用擔心牙齒很快被染色。(牙黃拜拜嘞您!)

甘草酸二鉀,更是咱牙齒易敏感的人的「小福星」,它是相當專業的 「牙齦安撫師」:當你牙齦泛紅的時候,它能及時安撫,讓它不再那麼嬌氣。

三個如此超級精銳強強聯手,牙結石、牙漬等問題,全都不是事兒!

齊心協力,讓牙齒變得白、健康

這支精英隊伍的實力,我們說了也許你不信,但是三甲醫院的臨牀報告說了總算吧?

90 名受試者,連續使用好易康生物溶菌酶牙膏 12 周後:

95% 的受試者牙齦指數降低

97.5% 的菌斑減少

95% 的牙結石降低

77.5% 的口臭得到改善

……

也就是說,用了咱這款溶菌酶牙膏,是真能紮紮實實改善牙齦問題,助力咱的口腔健康!

不愧是專業摧毀牙菌斑的能手,這實力,硬氣啊!

幫你把口腔裏的細菌大本營擊垮,牙齦不再容易泛紅,還能從源頭減少牙結石,四捨五入等於省了洗牙錢!

這一切,都是這一支牙膏的功勞!

過年給自己和家人,送最實惠

也滿載健康的禮物

不用提前蘸水、漱口

3 分鐘幹刷,完成一次高效護理

區別於普通牙膏,咱們這支需要幹刷!爲啥捏?答案就兩個字:高效!

高活性溶菌酶直接「吻」上牙菌斑,深入牙齦線以下,牙齦溝、牙縫深處,實現真正意義上的源頭抑菌。

質地細膩,對牙齒很友好

別擔心體驗,它會顛覆你對幹刷的想象!

膏體接觸牙齒,不到一會兒就能起綿密泡泡,而且全程絲滑不幹澀,毫無澀感、難受感;

結束後口腔裏只留下乾乾淨淨的清涼感,體驗感直接拉滿。

強烈建議大家體驗一下,在家 3 分鐘就能做一次高效口腔護理的感覺。

馬上就要過年,咱又要大喫特喫了,用對的牙膏就更重要了!

還有那些家裏男士喜歡抽菸喝酒喝茶,一張嘴讓人想遁出八丈遠的;有着被洗牙支配的恐懼的,是真的建議把家裏的牙膏偷偷換成這款,還自己和家人一片清新口氣。

丁香粉絲專屬福利

年前最後一波大促超好價

護齦牙膏,好是好,但真容易讓人買不起!

官旗 9 號牙膏 1 支也要 57 元!雖然護牙是剛需,錢是得花在刀刃上了,但真的略微有些貴了。‍

截圖時間:2025.12.4

這次趁着年貨節,咱們特意和商家磨來了超級驚喜價,不整虛的:9 號牙膏,單支只要:40.8 元!

但更建議你直接入咱爭取來的:

「 9 號牙膏 + 雙效穩白牙膏 」的護齦套組!

2 支套組,低至:73.9 元

還贈送: 9 號牙膏小樣 25 g * 1 + 牙刷 * 3

趁着過年,咱們這次贈品是多爭取了牙刷的量!別小瞧了它,比外面賣十幾二十塊的還好用不少!

之前用的客戶,也是嘎嘎好評!

家庭用,閉眼入 4 支裝組合,超划算:

4 支到手

低至:127.9 元

贈品更豐富:同款小樣 25 g * 2 + 牙刷 * 8

贈品自用也很有價值感,過年出行、回老家用,給客人用,都超級省心省事!

❤️ 組合裝用法建議:

●晚上用:9 號牙膏(不含氟),睡覺維護牙齦健康;

●早上用:含氟的穩白款,清新口氣、方便出門;

早晚搭配,一整個連環組,實現「護齦防蛀」兩不誤!

官方 3 支的價格也要 133 元!

咱們 4 支才只要 127.9 元,還額外贈送共計 50 g 的小樣 + 8 支超好用的牙刷,這性價比誰看誰心動嘛!

想要呵護牙齦,真建議趁着年前囤一波~

官旗截圖,截圖時間:2025.12.4

如此專業護齦牙膏,又擁有國家專利,又經過三甲醫院臨牀驗證,還有那麼好的口碑在用戶口中流傳;

平時嘛,你說下不去手,現在年貨節大促,入手正當時!!!❤️ (想要兒童牙膏的,咱們會場也有上新防齲齒牙膏,點擊圖片一併購買哦~)

現在買,過年就能用了!

參考文獻

[1] 2025居民口腔健康消費白皮書

[2] 《中國居民口腔健康狀況—第四次中國口腔健康流行病學調查報告》,中華口腔醫學會第十八次口腔預防醫學學術年會,2018.

策劃製作

策劃爆炸扁 | 監製:大王

圖片來源:丁香設計團隊

科學審覈:丁香科學嚴審團

商品信息

活動名稱:好易康 9 號牙膏

活動時間:2026-02-13 00:00 至 2026-02-17 24:00

發貨信息:工作日下單,3 個工作日內完成發貨 (週末 / 節假日順延)

受春節假期影響快遞中轉運力下降,收貨地部分網點停運,到貨時效無法保障,具體以實際物流運輸時間爲準,敬請理解。

查找訂單:微信搜索【丁香家】健康商店小程序 -【我的】-【全部訂單】-【查看物流】即可查看物流信息。

聯繫客服:打開商品詳情 - 左下角 - 點擊「客服」留言。

相關推薦
請使用下列任何一種瀏覽器瀏覽以達至最佳的用戶體驗:Google Chrome、Mozilla Firefox、Microsoft Edge 或 Safari。為避免使用網頁時發生問題,請確保你的網頁瀏覽器已更新至最新版本。
Scroll to Top