牙齒,被嚴重低估的長壽器官!

來源: 更新:

你有沒有注意到,家裏老人隨着年齡增長,常會念叨:牙口不好了。

愛喫的排骨、豬蹄,啃不動了

香香的堅果、肉乾,嚼不了了

家裏的飯菜,越做越軟爛

甚至原本堅固的牙,也搖搖晃晃開始掉了……

有人可能會說:老掉牙嘛,正常的。

很多老人自己也不咋重視,覺得:只是一些東西不能喫嘛;只要不是特別疼,就都能忍一忍。

朋友們,真相恰恰相反!

世衛組織和疾控中心都提出過「80 歲保留 20 顆可用牙齒」的倡議:

作爲身體最硬的器官,牙齒對健康大有幫助,可以說:

人年紀越大,嘴裏的牙越多,越健康

甚至假牙都算!!

圖片來源:網絡

「牙口不好」不是衰老的正常表現,反而是衰老的加速器。

以爲正常的「老掉牙」

其實暗藏 3 個健康風險

先看張圖,你或許能直觀地感受到

牙齒好壞對一個人狀態的影響:

圖片來源:LBR Dental & Implant Center

「喫不動」「只是少了幾顆牙」可不是影響喫飯那麼簡單。

它背後可能隱藏着一些全身性的疾病,甚至引起一連串糟糕的連鎖反應

風險 1 : 營養跟不上,人越來越虛弱,甚至增加死亡風險

以前老人能啃排骨、嚼堅果、開啤酒,現在只挑粥、麪條和泡飯喫。

有研究提到[1]:牙齒鬆動、缺牙(少於 20 顆)、吞嚥困難的人,最先放棄的食物通常是:

肉、堅果、蔬菜、粗糧......

這些可都是蛋白質、膳食纖維、維生素和礦物質的關鍵來源吶!

老人這個不能喫,那個嚼不動,長期能量和營養攝入不足,身體會越來越虛弱,加速骨骼、肌肉、器官的退化衰老。

多項研究還發現[2]:

牙周健康不佳、缺牙,與全因死亡率升高有關。

此外,咀嚼功能也大受影響,它可是關聯到味覺嗅覺系統、神經活動、相關肌肉的重要活動。

一句簡單的「嚼不動」,不僅會影響老人的營養狀況,還會對大腦認知和心理健康帶來負面影響。

風險 2 : 社交退縮,抑鬱孤獨風險增加

老年人喫東西覺得累,喫得更少、更單一

⬇️

體力變差、走路喫力

⬇️

以前經常跟老朋友們去打麻將、嘮嗑

現在不愛動彈,就待在家裏坐着.....

2024 年的一項研究發現[3],口腔功能較好的老年人,更容易維持社交互動,孤獨感和抑鬱情緒也更低;而存在口腔功能障礙的人,抑鬱水平顯著更高。

小紅薯 @ 徐女士的中年之路

「老掉牙」還會從另一個方面影響老人的社交:怕講話漏風、發音不清、喫不了東西麻煩、覺得缺牙不好看.......

原本跟老友親人們很日常的聊天、喫飯、微笑,因爲牙壞了,變成了負擔。

更麻煩的是,情緒低落本身又會讓人更不願意護理口腔,形成惡性循環。

風險 3 : 大腦認識水平、記憶力下降

是的,牙齒狀況,會影響到大腦。

一項納入 424 萬餘名受試者的大型研究[4],從牙周炎、牙齒脫落、咬合支持和咀嚼能力四個維度,系統評估了口腔健康狀況,發現:

口腔健康狀況較差的老年人,

發生認知障礙的風險顯著升高:

● 牙周炎:風險↑約 45%

● 牙齒缺失(掉牙):風險↑約 80%

● 咬合支持受損(後牙少、咬不住):風險↑約 87%

● 咀嚼功能下降:風險↑約 39%

*認知障礙包括輕度認知障礙、阿爾茨海默病和所有原因引起的癡呆

並且,牙齒數量越少,認知障礙風險越高。

可怕的是,很多老人或許看着狀態還不錯,感覺離衰弱、認知退化、抑鬱等問題還很遠,但已經潛伏的牙齒問題,可能正在偷偷造成傷害。

  • 老年人本身容易口乾(沒有足夠的唾液沖走牙菌斑)、自我修復力弱,牙齒更容易出問題。

  • 一些慢性病,例如不少研究發現糖尿病可加劇牙周炎症,反之牙周炎也能影響血糖控制。

但牙齒不是一下子壞的,家裏老人的牙齒狀況,他們自己可能也不太清楚,或者不好了也忍着不說……

等我們發現的時候,可能已經挺嚴重了。

長輩的口腔問題,基本每個人都有!

越早越好治,越省錢

先說結論:我們的爸媽,爺爺奶奶們,幾乎人人都有牙齒問題,都需要去看牙醫。

老年人缺牙,最常見的兩大原因是齲齒(也就是蛀牙)和牙周病。

中國老年人蛀牙的比例,比兒童還高[5]

● 55~64 歲患齲率爲 95.6%

● 65~74 歲爲 98%

牙周病,例如牙齦炎、牙周炎,患病率也很高:從 35 到 74 歲,牙周健康率均不到 10%[6]

並且年齡越大,得牙周炎的人越多,且越嚴重。

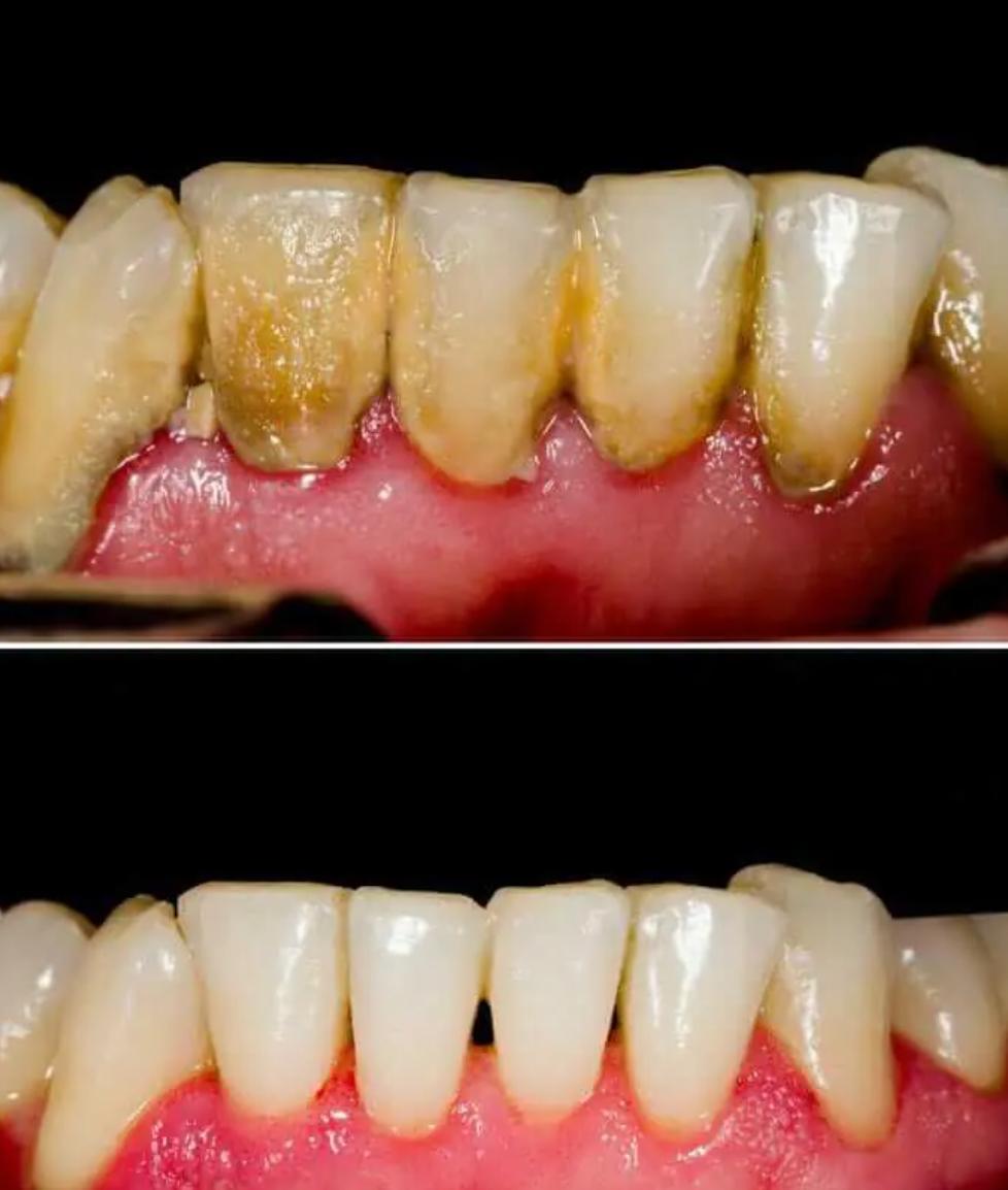
牙結石+牙齦萎縮的牙周病治療前後對比圖

老人人均牙齒不好,是個遠被低估的、麻煩的健康問題。一定要提高警惕,早點找牙醫治療。

但更麻煩的,是勸爸爸媽媽、爺爺奶奶去看牙——

怕花錢、不想來回跑醫院、怕疼不敢去.......

小紅薯 @ 睡覺對我很重要

就像這個網友媽媽牙疼,拖到臉都腫起來,就是忍着不去醫院,網友就一直髮信息:

小紅書@東京WOWO戰鬥版

爲了更好地勸說家裏長輩,

我們來幫他們算筆賬~

圖片來源:網絡

牙齒問題,越早治療,花費越少,我們根據牙齒情況給大家總結了個價格表:

牙齒問題,越早治療,痛苦也越小:(例如一般洗牙就不怎麼疼,但根管治療從打麻藥就開始疼了

還可以給家裏老人,多看看治療牙齒後的正面案例:

許多網友的家人種牙、洗牙後,精神面貌也有所不同,是一件非常值得高興的事情!

@小紅薯 大蔥到處浪:說「爸爸洗完牙,他覺得自己渾身都散發着魅力」(已獲得授權)

如果還是勸不動,那試試先斬後奏,告訴他們:

預約的錢已經花了!

不給退!

不去就浪費了!

你和家裏的長輩牙齒健康怎麼樣?

在勸他們去看牙醫的時候,

有沒有遇到困難?

歡迎評論區分享!

日常生活中,也有一些口腔護理要注意的事項,有需要的直接保存、轉發就好⬇️:

本文審覈專家

參考文獻

[1]Beaudette, J. R., Fritz, P. C., Sullivan, P. J., & Ward, W. E. (2017). Oral Health, Nutritional Choices, and Dental Fear and Anxiety. Dentistry journal, 5(1), 8. https://doi.org/10.3390/dj5010008

[2]Koistinen, S., Olai, L., Ståhlnacke, K., Fält, A., & Ehrenberg, A. (2020). Oral health-related quality of life and associated factors among older people in short-term care. International journal of dental hygiene, 18(2), 163–172. https://doi.org/10.1111/idh.12424

[3]Maki, N., Sakamoto, H., Taniguchi, K., Mutsukura, Y., Nomura, S., Oh, S., Yanagi, H., & Mayers, T. (2024). Oral Function, Loneliness, Depression, and Social Participation Among Physically Disabled Middle-Aged and Older Adult Individuals: Insights from a Japanese Cross-Sectional Study. Geriatrics (Basel, Switzerland), 9(5), 137. https://doi.org/10.3390/geriatrics9050137

[4]Fu, Y. D., Li, C. L., Hu, C. L., Pei, M. D., Cai, W. Y., Li, Y. Q., Xu, L., & Zeng, Y. (2024). Meta Analysis of the Correlation between Periodontal Health and Cognitive Impairment in the Older Population. The journal of prevention of Alzheimer''s disease, 11(5), 1307–1315. https://doi.org/10.14283/jpad.2024.87

[5]新京報. (2023). 65-74歲老年人羣齲病患病率達98%.

[6]第四次全國口腔健康流行病學調查報告

策劃製作

策劃:Lafufu | 監製:Feidi

插圖:見圖注 | 封面圖來源:修夏

馬上過年了

有長輩需要去看牙嗎?

提前把這篇文章提前轉發給 ta 們吧!

相關推薦
請使用下列任何一種瀏覽器瀏覽以達至最佳的用戶體驗:Google Chrome、Mozilla Firefox、Microsoft Edge 或 Safari。為避免使用網頁時發生問題,請確保你的網頁瀏覽器已更新至最新版本。
Scroll to Top