照鏡子就能發現的一種常見病,越早治越省錢!

來源: 更新:

現在,此刻,張開嘴巴

有鏡子用鏡子

沒有鏡子就用手機前置檢查一下

等你 10 秒鐘——

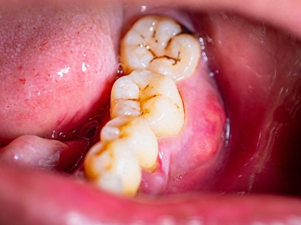
你的牙齒上有這種小黑線嗎?

圖片來源:站酷海洛

如果有的話

你很可能也有這種口腔疾病裏

發病率最高的疾病之一:

齲齒

(蛀牙)

別小看這幾根黑線

它們可能是未來讓你

身體痛苦,錢包空空的罪魁禍首

細菌在牙齒溝壑、牙縫裏安營紮寨

最初只是牙齒脫礦,表現爲白堊色

後面就會形成黑線或黑點

圖片來源:站酷海洛

如果發現黑線

不管你這個時候有沒有開始牙疼

都應該儘快看牙醫

越早治療越好

(也不要忘記轉發提醒家人朋友哦!)

知道你肯定會說

「但是我害怕啊!!!」

我們懂!我們真的懂!

光是想象一下躺在牙科牀上的感覺

整個人就開始起雞皮疙瘩

圖片來源:網絡

但是,家人們——

逃避並不能解決問題啊!

拖着不解決,問題不會消失

只會越來越嚴重

在牙的問題上就尤其是這樣!

圖片來源:網絡

看到牙齒小黑線

不及時去看醫生、補牙

只會越拖越嚴重!

越拖越疼!

越拖越貴!

越拖越麻煩!

Level 1:淺齲

早看早好,甚至可能不用治療

這個階段的牙,蛀得比較淺

只是有點黑線

不疼也不難受

醫生會對牙齒做綜合判斷

有些用探針勾不動的黑線可以不補

注意日常清潔,就能維持現狀

就算醫生判斷需要修補

這時候的牙,幾乎沒有什麼感覺

很快就能補好

圖片來源:有經驗的補牙人

補一顆牙價格也比較友好

大約二三百塊(一頓火鍋錢)

而且補完牙之後也可以正常喫東西

可以說是對生活影響很小了

圖片來源:

對了,補牙前建議少上網

很可能越看越害怕

圖片來源:

單純補牙真的不可怕

但如果繼續拖下去

就沒這麼簡單了

Level 2:中齲或深齲

錢包和你,都有點痛了

這個階段的牙齒

喫甜的、喝冷的容易痠痛敏感

但不幸中的萬幸

是還沒傷到牙神經

這時候可能需要做嵌體

(可以理解爲高級補牙)

圖片來源:站酷海洛

普通補牙會現場用樹脂把牙補好

而嵌體需要先取模

精準測量你牙齒破洞的尺寸和形狀

根據模型精確製作,然後補進你的牙裏

由於涉及到了

一些更精密的製作和一些更貴重的材料

嵌體的價格直接大升級

依然是一頓飯錢

但起碼是米其林一星水平

(差不多兩、三千塊)

圖片來源:

而且,由於這時候牙已經蛀得比較深

有可能接近神經了

處理過程中有可能碰到牙神經

然後遭受突如其來的疼痛……

圖片來源:網絡

不過

最難受、最燒錢的

還不是這個階段

Level 3:牙髓炎甚至根尖周炎

牙齒掏空、錢包掏空、靈魂掏空

到了這個階段

傷到了神經

你的牙再也扛不住了

開始蛀得很高調、很吵鬧、很疼痛

痛!痛!痛!

甚至半夜會疼醒

圖片來源:

這時在治療上也引入了大家聞之色變的

根管治療

大家眼中的根管治療 be like

圖片來源:網絡

根管治療

是要在你的牙上鑽孔

把裏面腐爛、發炎、壞死的組織(感染的牙髓)

全部清理、移除乾淨

再把牙齒補好填起來

想象一下器械在你牙裏這樣鑽

確實很可怕對不對?

圖片來源:站酷海洛

這個深度涉及到了牙神經

如果不打麻藥

會疼到不行

即使打了麻藥

過程也還是很難捱的

圖片來源:網絡

而且,就算打了麻藥不疼

花的錢也很肉疼啊!!

根管治療一次要好幾千塊

而且根管治療療程一般分幾次

還得請假,又是一筆錢

(一個手機的錢就這麼進去了)

圖片來源:

截止到現在,你的牙好歹還能保住

再往下,我們就要進行一些告別了

Level 4:牙完全爛了

這時候你的牙爛到底了

牙神經也壞死了

可能反而不疼了

好消息,不疼了

壞消息,牙死了

圖片來源:自己做的

有些爛到底的牙,已經開始鬆動

經牙醫診斷,不得不拔

有人可能會說:

拔就拔了唄,拔完也不疼了

錯!

拔完牙之後,如果讓牙洞就這麼空着

後果很嚴重:

輕則影響周圍牙齦、誘發牙周炎

走向身強力壯就牙齒掉光的宿命

重則導致面容塌陷、顳下頜關節紊亂

甚至會加速你的大腦衰老

心血管疾病死亡風險都比一般人高

種一顆牙,材料稍微好一點就得一兩萬

有的朋友還要處理好幾顆

可能十萬塊就這麼沒了

圖片來源:丁香醫生評論區

看吧

牙齒問題,可能拖着拖着就沒了

不是問題沒了

而是牙沒了

(錢也沒了)

圖片來源:網絡

講了這麼多都爲了一句話:

牙上有小黑線的朋友們

快去看醫生!

(記得轉發提醒家人朋友)

咱這一口原裝的好牙,真的是「奢侈品」

一旦出問題,不要害怕!不要猶豫!

越拖越難受、越拖越麻煩

越拖越貴!

平時也要做好:

每天正確方法用含氟牙膏刷牙兩次

用牙線清潔牙縫

定期拜訪牙醫進行檢查

歡迎大家在評論區分享自己的看牙經歷

幫助其他朋友一起克服對未知的恐懼

本文審覈專家

參考文獻

[1] 周學東,程磊,鄭黎薇. 全生命週期的齲病管理[J]. 中華口腔醫學雜誌,2018,53(6):367-373.

[2] He J, Tu Q, Ge Y, Qin Y, Cui B, Hu X, Wang Y, Deng Y, Wang K, Van Nostrand JD, Li J, Zhou J, Li Y, Zhou X. Taxonomic and Functional Analyses of the Supragingival Microbiome from Caries-Affected and Caries-Free Hosts. Microb Ecol. 2018 Feb;75(2):543-554.

[3] Solbiati J, Frias-Lopez J. Metatranscriptome of the Oral Microbiome in Health and Disease. J Dent Res. 2018 May;97(5):492-500.

[4] Holm-Pedersen P, Schultz-Larsen K, Christiansen N, Avlund K. Tooth loss and subsequent disability and mortality in old age. J Am Geriatr Soc. 2008 Mar;56(3):429-35.

[5] Yamaguchi S, Murakami T, Satoh M, Komiyama T, Ohi T, Miyoshi Y, Endo K, Hiratsuka T, Hara A, Tatsumi Y, Totsune T, Asayama K, Kikuya M, Nomura K, Hozawa A, Metoki H, Imai Y, Watanabe M, Ohkubo T, Hattori Y. Associations of Dental Health With the Progression of Hippocampal Atrophy in Community-Dwelling Individuals: The Ohasama Study. Neurology. 2023 Sep 5;101(10):e1056-e1068.

[6] E. K. Kaye, A. Valencia, N. Baba, A. Spiro III, T. Dietrich, R. I. Garcia, Tooth loss and periodontal disease predict poor cognitive function in older men. J. Am. Geriatr. Soc. 58,713–718 (2010).

[7] M. Gatz, J. A. Mortimer, L. Fratiglioni, B. Johansson, S. Berg, C. A. Reynolds, N. L. Pedersen, Potentially modifiable risk factors for dementia in identical twins. Alzheimers Dement. 2, 110–117 (2006).

[8] Jelena Jaćimović, Srinivasan Narasimhan, Venkateshbabu Nagendrababu, et al. Tooth Loss is a Risk Factor for Cardiovascular Disease Mortality: A Systematic Review with Meta-Analyses, Journal of Endodontics (2024).

[9] P. S. Stein, M. Desrosiers, S. J. Donegan, J. F. Yepes, R. J. Kryscio, Tooth loss, dementia and neuropathology in the Nun study. J. Am. Dent. Assoc. 138, 1314–1322; quiz 1381–2 (2007).

策劃製作

策劃:橘子卡 | 監製:feidi

封面圖來源:站酷海洛

看牙怕麻煩或者費用高?

又擔心牙齒情況嚴重?

試試線上問診

讓醫生判斷緊急程度以及治療費用

點點下面的 ❤

祝你牙口好,胃口好,喫嘛嘛香!

相關推薦
請使用下列任何一種瀏覽器瀏覽以達至最佳的用戶體驗:Google Chrome、Mozilla Firefox、Microsoft Edge 或 Safari。為避免使用網頁時發生問題,請確保你的網頁瀏覽器已更新至最新版本。
Scroll to Top