一個天生傷牙,還巨巨巨難除的小東西,再忽略真就晚了……

來源: 更新:

人啊人,以爲牙齒還健康、還在掌控之中,簡直是最大的錯覺之一!

一開始,只是偶爾酸一下,你沒在意;

後來,黑線變成了齲洞,你補了;

然後,刷牙時出血,你覺得可能「發炎」了;

直到某天,你感覺某顆牙有點鬆動;

或是洗完牙後,後知後覺地發現:牙縫之間咋就空了一塊!——

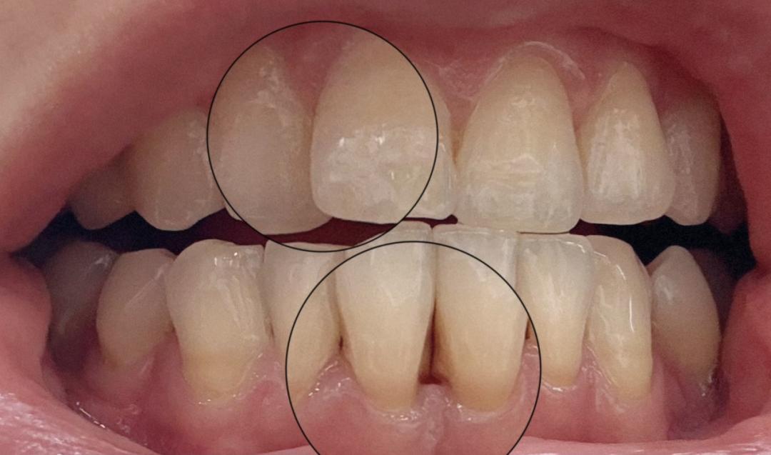
因爲牙齦,它萎縮了!

下部爲洗掉牙結石後萎縮掉的牙齦

上面爲相對健康

圖片來源:朋友友情提供

提起牙,是真的會莫名焦慮:是因爲真的太太太太重要了啊!!!

它關乎的不僅僅是顏值,還有金錢,和健康啊,以及是否能幸福嚼嚼美食的體驗啊!(誰懂啊,這些年,爲這口牙花的錢,雖然買不起房,但買幾個包包還是綽綽有餘

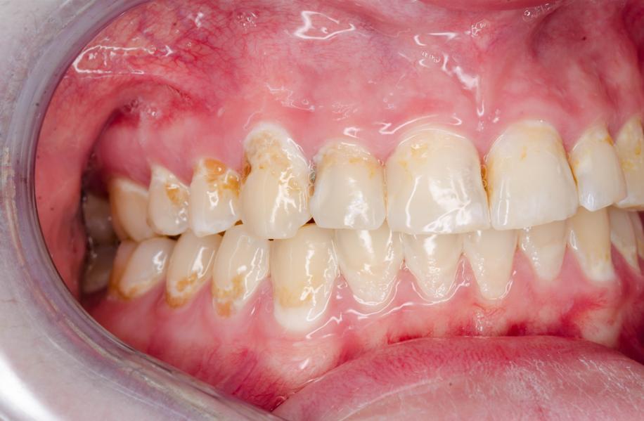
然而可怕的是:咱的牙齒,處處都是危機。

資料顯示:35~44 歲正值壯年的人羣中,牙齦出血檢出率高達 87.4%,牙結石檢出率更是高達 96.7% [1]。啥意思呢?隨便挑個成年人,牙齒幾乎沒有健康的。

口臭、牙痠痛、牙漬、牙結石……

誰還沒被牙齒傷害過呢?

圖片來源:站酷海洛&圖蟲創意

牙齦問題背後的「超級敵人」

——可惡的「牙菌斑!」

牙菌斑是個天生就傷牙,還超難根除的「壞傢伙」!咱口腔大部分疾病,都是由它引起的。

它是我們牙齒上不斷形成的細菌性生物粘性膜,一個生來就註定要全方位嚯嚯你口腔的「反派」!。

早上起來,會特別明顯

你在牙齒上刮一刮,那層又黏又薄的膜就是!

它的「作案手法」極其惡劣,有點兒過於無孔不入了——

① 產酸腐蝕:你喫完東西,它就開始產酸,日夜不停地腐蝕你「不!可!再!生!」的牙釉質,直到蛀出個洞。

② 鈣化變硬:沒被及時清理掉的牙菌斑,會混合唾液鈣化,變成牙結石,像水泥一樣擠壓刺激你的牙齦,導致出血、發炎,口臭,甚至是牙!齦!萎!縮!掉!

更更更可惡的是:牙菌斑這個天生的反派,就愛躲在牙刷根本夠不到的「陰暗角落」,咱們日常又很難嚴格按照巴氏刷牙法,仔仔細細把把角角落落都打掃乾淨;而牙菌斑的定植速度又蠻快的。

你以爲你的牙刷乾淨了,實際上可能都是殘存的「牙菌斑」!

就像這樣

咋辦呢?其實,我們口腔裏自帶一位專門克它的專家——溶菌酶,酶如其名,它可以瓦解掉細菌、擊垮牙菌斑。

健康力壯的溶菌酶就是嘎嘎衝鋒的戰士,打得各種細菌屁滾尿流!這也是爲啥咱自己年輕時胡喫海塞,也還能維持不錯的牙齒狀態的原因之一。

年輕時大殺四方!

But,溶菌酶的弱點也很明顯!

隨着年齡、熬夜、壓力三大「人生刺客」的襲擊,咱自產的溶菌酶數量和戰鬥力都會大不如前!苦哉苦哉

到後來面臨了「老齡化」問題

戰鬥力下下下降的同時,也無勇猛後生支援

—廣告—

自帶的「口腔護衛隊」缺兵少將……是時候給空投一支 「超級外援」 了!

別害怕!咱們直接帶着解決方案來了——

添加抑菌成分——「溶菌酶」

能有效對付牙菌斑!

專注改善牙齦問題

好易康 9 號溶菌酶牙膏

1 支抑菌斑、減出血、護牙齦

1 個它,就能直擊源頭,不僅能減少牙齦出血,還能清新口氣,改善牙齦問題……

不僅咱覺得好,用過的人也是嘎嘎好評:

人到中年的護齦選擇」

「幹刷舒適,起泡快」

「用完試用,就連囤四支」

「牙齦問題有改善,味道好聞清新」

……

甚至還有不少咱 9 號的死忠唯粉呢!

上下滑動查看:

實驗數據也很牛! 90 名受試者,連續使用好易康生物溶菌酶牙膏 12 周後:

95% 的受試者牙齦指數降低

92.5% 的齦溝出血降低

97.5% 的菌斑減少

95% 的牙結石降低

77.5% 的口臭得到改善

……

而且,這次正值雙十二,價格也超好,想要的姐妹可以提前搶購一波!

現在花小錢,購入一份簡單,卻真正有效的牙膏口腔護理,遠比日後花大價錢去治療牙周炎、甚至種牙要划算得多!

牙齦出血、有問題

是真的超建議用它

搶先提醒:用這支牙膏時,不用蘸水!不用蘸水!不用蘸水!幹刷三分鐘就 ok

專利溶菌酶配方

超強戰鬥力,對抗牙菌斑!

市面上很少有溶菌酶牙膏,不是因爲不想加,而是因爲它太嬌氣、太容易失活了!還沒碰到牙菌斑,自己在牙膏裏就出師未捷身先死了。

但別擔心,好易康的 「溶菌酶專利配方技術」,攻克的就是這個核心難題。

它能讓咱派出的溶菌酶,健康力壯、擁有超絕戰鬥力。

活性溶菌酶能隨泡沫,深入清潔死角,直接瓦解細菌結構。巢穴都快被它攪沒了,細菌們哪兒還有幹壞事!

從源頭恩柱牙菌斑的勢力,牙齦受到的持續攻擊也就會停止,紅腫、出血這些問題也能真正從根源得到改善。

牙齦出血、牙黃、牙結石

它都能一舉拿下!

光有個溶酶菌是不夠全面,咱們派出來的是一整個部隊,配置堪稱「豪華天團」,分工明確:

用過美白牙膏的都知道,磨擦劑可是個狠角色,而好易康用的水合硅石球形摩擦劑,能幫你的牙齒溫和拋光。

不光能帶走細菌和污垢,而且它天生顆粒小,質地柔軟,不像劣質摩擦劑那樣會磨損你的牙釉質,但是又能結結實實地給細菌污垢「溫柔一刀」。

面對敵人時:它手起刀落、敵人迅速瓦解坍塌了;而面對需要解救的你,菩薩心腸,細細溫撫你!

妥妥一枚✨溫柔「清道夫」!

第二位是焦磷酸四鈉(螯合劑),扮演 「牙結石拆解師」的角色 。

它最牛的是:能有效阻攔牙菌斑鈣化,搶先將鈣離子五花大綁在自己身邊,讓它遠離牙菌斑,就像王母阻攔織女、牛郎一樣,讓二者無法碰頭—— 也就無法相遇變硬形成牙結石,相當於從源頭上給牙結石工廠「斷糧」⚡️。

並且,它還能防止色素沉着,平時沒事愛好喝咖啡喝茶,抽個小煙的,也不用擔心牙齒很快被染色。(牙黃拜拜嘞您!)

甘草酸二鉀,更是咱牙齒易敏感的人的「小福星」,它是相當專業的 「牙齦安撫師」:當你牙齦紅腫的時候,它能及時安撫,讓它不再那麼嬌氣易出血。

三個如此超級精銳強強聯手,牙結石、牙漬、牙齦出血問題,全都不是事兒!

齊心協力,讓牙齒變得白、健康。

這支精英隊伍的實力,我們說了也許你不信,但是三甲醫院的臨牀報告說了總算吧?

90 名受試者,連續使用好易康生物溶菌酶牙膏 12 周後:

95% 的受試者牙齦指數降低

92.5% 的齦溝出血降低

97.5% 的菌斑減少

95% 的牙結石降低

77.5% 的口臭得到改善

……

也就是說,用了咱這款溶菌酶牙膏,是真能紮紮實實改善牙齦問題,助力讚的口腔健康!

不愧是專業摧毀牙菌斑的能手,這實力,硬氣啊!

幫你把口腔裏的細菌大本營擊垮,牙齦不再容易紅腫,告別尷尬「吐血」,還能從源頭減少牙結石,四捨五入等於省了洗牙錢!

這一切,都是這一支牙膏的功勞!

點擊下圖,立即換上這支「口腔特種兵」

從根源找回健康牙齦和自信笑容!

無需蘸水 獨特幹刷體驗

3 分鐘完成一次高效護理

區別於普通牙膏,咱們這支需要幹刷!爲啥捏?答案就兩個字:高效!

高活性溶菌酶直接「吻」上牙菌斑,深入牙齦線以下,牙齦溝、牙縫深處,實現真正意義上的源頭抑菌。

質地細膩,對牙齒很友好

別擔心體驗,它會顛覆你對幹刷的想象!

膏體接觸牙齒,不到一會兒就能起綿密泡泡,而且全程絲滑不幹澀,毫無澀感、難受感;

結束後口腔裏只留下乾乾淨淨的清涼感,體驗感直接拉滿。

強烈建議大家體驗一下,在家 3 分鐘就能做一次高效口腔護理的感覺。

還有那些有着被洗牙支配的恐懼,或者是家裏男士喜歡抽菸喝酒喝茶,一張嘴讓人想遁出八丈遠的,真的建議把家裏的牙膏偷偷換成這款,還自己和家人一片清新口氣。

丁香粉絲專屬福利

雙十二超好價

護齦牙膏,好是好,但真容易讓人買不起!

官旗 9 號牙膏 1 支也要 57 元!雖然護牙是剛需,錢是得花在刀刃上了,但真的略微有些貴了。‍

截圖時間:2025.12.4

這次正逢雙十二,咱們特意和商家磨來了超級驚喜價,不整虛的,直接直降:

丁香家雙十二超級優惠!

9 號牙膏,單支只要:40.8 元

更建議你直接入咱爭取來的「 9 號牙膏 + 雙效穩白牙膏 」的護齦套組!不僅划算,而且真的是戳心窩的實用哦!

2 支套組,低至:73.9 元

還贈送:9 號小樣 25 g * 1 + 牙刷 * 1

4 支套組,低至:127.9

還贈送:9 號 25 g * 1 + 穩白 25 g * 1 + 牙刷 * 2

9 號牙膏不含氟,可與含氟的穩白款交替使用,早上用穩白(含氟),清新口氣、方便出門,晚上用 9 號,睡覺維護牙齦健康,一整個連環組,實現「護齦防蛀」兩不誤!

按照一個人的用量,早晚各刷 1 次,咱們 1 支大概 30~45 天用完,2 支也就是 2、3 個月的時間!

家庭用,閉眼入 4 支裝組合,更划算!——

姐妹們,這次是真划算的!

官方 3 支的價格還要便宜也要 133 元!咱們到 4 支正裝 + 共計 50 g 的小樣,才只要:127.9 元,是真的超值得入~

官旗截圖,截圖時間:2025.12.4

別急!別急!還有新驚喜哦,咱們好易康品牌這纔開團的所有品,還有滿贈機制:只要滿 99 元、159 元,均有滿贈獎品:

● 滿 99 元,送 9 號小樣 25 g 牙膏 * 1;

● 滿 159 元,送護齦牙刷 * 1 + 9 號 25 g * 1+ 護齦漱口水 200 mL* 1

*這倆不重複疊加哈

給懶人教個湊單辦法!順手帶件漱口水:

● 買 2 支裝的 9 號 + 穩白套組,丁香家專屬福利價是:73.9 元;咱順手再帶一瓶漱口水,就能輕鬆湊到滿 99 的贈品!額外再多得 1 支 9 號小樣;

● 買 4 支裝,同樣順手帶一件漱口水,疊加省錢卡,150 元出頭就能到 12 件產品✌️

嘎嘎好用的溶菌酶漱口水

1 瓶 300 mL ,限時:35.82 元

白天喫完飯、喝完奶茶,用它及時漱口,更能周全護牙!

說實話,養護牙齒的重要性咱們真的容易忽略!每次只有在牙痛、看牙、洗牙時,繳出那龐大的金額,才後知後覺,早知道好好照顧它

咱們護牙啊,真可以一步到位,要買就買好的!不僅僅是刷牙體驗的解放,長久來看,真的少受很多苦痛,也少花了超多冤枉錢!!

這款專業護齦牙膏,又擁有國家專利,又經過三甲醫院臨牀驗證,還有那麼好的口碑在用戶口中流傳;

平時嘛,你說下不去手,現在雙 12 大促,入手正當時!!

更多好物,點擊可看

參考文獻

[1] 2025居民口腔健康消費白皮書

[2] 《中國居民口腔健康狀況—第四次中國口腔健康流行病學調查報告》,中華口腔醫學會第十八次口腔預防醫學學術年會,2018.

策劃製作

策劃扁扁 | 監製:大王

圖片來源:丁香設計團隊

科學審覈:丁香科學嚴審團

商品信息

活動名稱:好易康 9 號牙膏

活動時間:2025-12-04 00:00 至 2025-12-08 24:00

發貨信息:工作日下單,3 個工作日內完成發貨 (週末 / 節假日順延)

查找訂單:微信搜索【丁香家】健康商店小程序 -【我的】-【全部訂單】-【查看物流】即可查看物流信息。

聯繫客服:打開商品詳情 - 左下角 - 點擊「客服」留言。

相關推薦
請使用下列任何一種瀏覽器瀏覽以達至最佳的用戶體驗:Google Chrome、Mozilla Firefox、Microsoft Edge 或 Safari。為避免使用網頁時發生問題,請確保你的網頁瀏覽器已更新至最新版本。
Scroll to Top