家中常備的網紅「神藥」,長期用危害大,再不停藥就晚了!

來源: 更新:

秋天來了,又到了變應性鼻炎患者們「水泥封鼻」的季節。

在電商平臺搜索「鼻炎藥」,銷量最高的一款,「一噴就通暢了」「睡前噴一下可以舒服入睡」的商品評價不斷吸引着飽受鼻塞折磨的患者。

然而,滿懷期待下單嘗試的人們並不知道,用上這個藥,纔是噩夢的開始。

圖片來源:電商平臺

戒不掉的「鼻炎神藥」

萬遲(化名)曾經也是「鼻炎神藥」的忠實顧客。大學時,同爲鼻炎患者的朋友向她推薦了自己愛用的鼻噴,萬遲從此打開了新世界的大門——

只需要一噴,鼻腔打開了,眼淚不流了,一晚上呼吸順暢安眠到天亮。

於是,萬遲開始把這個小藥瓶隨身攜帶,只要感到鼻塞,就掏出來噴一下。

然而,時間一年一年過去,萬遲發現自己的情況似乎越來越糟糕了。

以前只是換季時有點鼻塞,後來就是打掃房間時瘋狂打噴嚏,換季時上顎和眼睛也開始癢得難受,嚴重的時候還會嗅覺失靈,鼻涕眼淚一起流,夜裏難以入睡。

與此同時,她囤的「神藥」好像也不再那麼「神」了。一開始噴一下可以管一晚上甚至一天,漸漸地只能管幾個小時。用藥的第 6 年,萬遲已經完全離不開鼻噴,只要不噴就無法呼吸,但即便噴了也只能通暢一小會兒。她感覺自己比從沒有用過這個藥的時候還更嚴重了。

圖片來源:萬遲提供

像萬遲這樣戒不掉鼻噴的人還有很多。周康(化名)是內蒙人,每年蒿草生長的季節,他和周圍的很多人都會犯鼻炎。然而一年一年下來,在藥店裏買的鼻噴作用越來越有限,周康只能去醫院檢查。醫生告訴他,他已經因爲長期使用這種「鼻炎神藥」,患上了藥物性鼻炎,需要戒斷鼻噴藥。

戒藥的第一天,周康的鼻子完全堵死了,強烈的憋悶感讓他一宿沒睡着。第二天,鼻塞仍舊嚴重,周康頭昏腦漲、坐立不安,整個人都無精打采,熬了一整天,到了晚上卻還是睡不着。

深夜意志力最薄弱的時候,周康從櫃子裏翻出了之前沒有用完的鼻噴,經過一番激烈的思想鬥爭之後又把它們全都扔掉了。

「醫生說完全戒斷可能得要大半個月,如果不斷掉自己的後路,我覺得我沒法熬過去。」

儘管過程十分痛苦,但萬遲和周康最終都戒掉了鼻噴。

有的患者就沒有這麼幸運了。在一些耳鼻喉科醫生分享的病例中,患者鼻甲已經肥大到完全堵住鼻腔,做檢查時,連最細的內鏡都過不去。完全失去彈性的鼻黏膜已經無法對任何藥物作出反應,最終只能通過手術解決了。

圖片來源:社交平臺

濫用幾百瓶,就診時只能手術了

這些讓萬遲、周康這樣的鼻炎患者「欲罷不能」的鼻噴藥,基本都含有減充血劑,如羥甲唑啉、賽洛唑啉、萘甲唑啉等。它們的共同特點是起效迅速,但長期使用下來,用藥次數越來越多,鼻塞卻越來越嚴重。

聽起來恐怖,但減充血劑其實是鼻腔用藥的「正規軍」。《中國變應性鼻炎診斷和治療指南(2022 年, 修訂版)》(下稱《指南》)中指出,減充血劑是目前國內外指南推薦治療鼻炎的二線藥物,適當使用可以快速緩解鼻塞症狀,還能增強鼻噴激素或鼻用抗組胺藥物的療效[1]

圖片來源:《中國變應性鼻炎診斷和治療指南(2022 年, 修訂版)》[1]

減充血劑之所以能夠有「一噴即通」的效果,是因爲它能激動腎上腺素能受體,引起血管平滑肌收縮,減輕鼻腔黏膜的充血、腫脹,從而迅速緩解鼻塞。

然而,這樣的作用機制也決定了,臨牀使用它必須慎之又慎。

由於減充血劑並沒有任何抗炎作用,只能臨時緩解症狀,頻繁使用還會造成受體下調、藥物敏感性下降,長此以往無異於飲鴆止渴。《指南》指出,使用鼻噴減充血劑時,應選用較低濃度的製劑,且連續用藥不能超過 2 周,否則將導致反跳性鼻塞,發生藥物性鼻炎。

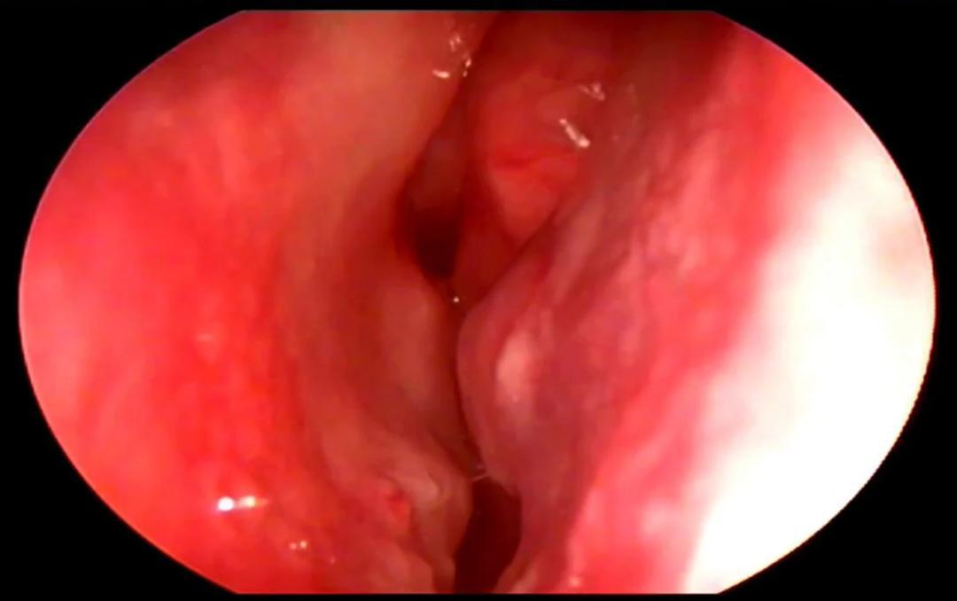
在深圳市人民醫院耳鼻咽喉科副主任醫師鄢敏的門診中,這樣的病例並不少見。許多患者來就診時,已經出現了鼻腔黏膜慢性充血、下鼻甲肥厚,呈現出非常典型的藥物性鼻炎的表現。

圖片來源:參考資料[3]非文中提及患者

對於這樣的患者,戒掉減充血劑是必須的。鄢敏還會給患者用上正規的一線治療方案,用鼻噴激素、鼻噴抗組胺藥或者聯合口服抗組胺藥。

但有些患者還合併有嚴重的鼻中隔偏曲、下鼻甲骨質肥大、下鼻甲黏膜不可逆性肥厚,用藥物治療也沒有效果,就只能進行相應的手術治療了。

銷量百萬,卻沒有藥物批號

在耳鼻喉科門診,醫生們常會提醒患者濫用減充血劑的危害。但在醫院之外,這樣的警示往往是缺位的。

我們檢索到了一款社交平臺上爆火的「日本鼻炎神藥」。在商品詳情頁面中,雖然有明確標出減充血劑成分,但有關藥物依賴性和不能長期使用的提示,措辭卻很模糊。

圖片來源:電商平臺

有些患者對這樣的藥物成分有着天然的警惕,但不法商家總能想辦法瞞天過海。

從開始使用,到產生依賴,再到痛苦戒斷,整個漫長的過程中,很多人都有些迷糊:「我也不知道它裏面有啥,只是覺得噴了能通氣,就一直用了下來,根本沒想到後來會戒不掉。」

圖片來源:參考資料[5]

此前,有南方週末記者曾自行網購 7 款鼻炎噴劑送往第三方公司檢驗,結果顯示,全部 7 款產品都測出鹽酸萘甲唑啉[4]

這些躲在「消」字號背後的產品違規添加有依賴性的減充血劑,而另一邊,明確標出減充血劑成分的進口鼻噴,在我們的反覆問詢下,也始終拒絕向消費者提供《進口藥品註冊證》。

圖片來源:作者

我們以該藥品的商品名、生產公司等關鍵詞在國家藥監局「境外生產藥品」數據庫中檢索,均未檢索到相關注冊信息.

圖片來源:國家藥品監督管理局

市場的亂象,留給耳鼻喉科醫生們一地的爛攤子。

有一位鄢敏曾治療過的患者,原本正規使用鼻噴激素是有效的,但患者後續自己購買鼻噴減充血劑,用到鼻子越來越塞、噴藥也沒效果了再來醫院,就已經是藥物性鼻炎了。

「商家利用減充血劑的藥物特性,患者感受到立竿見影的緩解作用,就會忽略其可能帶來的不良後果。」

在我國,大約每 6 個人中就有一人飽受鼻炎的折磨[1]

雖然目前鼻炎並沒有徹底治癒的方法,但通過規範化的綜合防治,患者的症狀可以得到長期控制。醫院外如此氾濫成災的違規減充血劑,往往是利用了監管漏洞和患者的信息差。

在 2022 年發佈的《鼻用減充血劑的臨牀應用暨藥物性鼻炎的診治專家共識》中,耳鼻喉專家們就曾明確提出,強烈建議國家藥品監督管理局強制所有廠家註明鼻噴劑是否含有減充血劑,強制藥店賣藥人員提醒買藥人短期、小量應用減充血劑。

鄢敏表示:「對於患者自己,如果能先來正規的耳鼻喉科面診,或許就能很大程度上避免『踩坑』。

最後,丁香醫生特意諮詢了專家,整理了 5 個鼻炎治療護理小建議,希望能幫助大家舒舒服服度過這個秋冬

今天的科普就到這裏,假如對你有幫助的話,求轉發、求點❤️、求留言,最重要的是,把這篇文章分享給你身邊那位被鼻炎折磨的人哦!

*本文首發於公衆號「丁香園」,轉載請聯繫首發公衆號。

致謝:本文經 深圳市人民醫院耳鼻咽喉科副主任醫師 鄢敏 專業審覈

本文審覈專家

參考文獻

[1]顧瑜蓉,李華斌.《中國變應性鼻炎診斷和治療指南(2022年,修訂版)》解讀[J].中國眼耳鼻喉科雜誌,2022,22(02)
:209-211.DOI:10.14166/j.issn.1671-2420.2022.02.023.

[2]王洪田,楊欽泰,安雲芳,等.鼻用減充血劑的臨牀應用暨藥物性鼻炎的診治專家共識(2022,北京)[J].中國耳鼻咽喉顱底外科雜誌,2022,28(04):1-7.

[3]https://standardofcare.com/rhinitis-medicamentosa/

[4]https://mp.weixin.qq.com/s/6SP2kJ4T4MMXMcPGuXDWLQ

[5]https://health.baidu.com/malls/goods/db2c_164644727063694731_521584693898379264

[6]https://www.gov.cn/zhengce/2021-06/30/content_5723542.htm

策劃製作

策劃:丁二丫、JJJ | 監製:Feidi

插圖:見圖注 | 封面圖來源:自己做的

聽說了嗎?丁香園 2026年「健康日曆」賣爆了!

它不僅承載了傳統日曆的儀式感、更是一本專業的健康指南!

破除謠言、科學「養生」,選它就對了

相關推薦
請使用下列任何一種瀏覽器瀏覽以達至最佳的用戶體驗:Google Chrome、Mozilla Firefox、Microsoft Edge 或 Safari。為避免使用網頁時發生問題,請確保你的網頁瀏覽器已更新至最新版本。
Scroll to Top