蛛網膜囊腫之科普小知識(腦腫瘤專欄)

來源: 更新:

蛛網膜囊腫是什麼?別慌,這篇科普告訴你一切!

在日常生活中,我們偶爾會聽到一些關於大腦疾病的新聞,比如“腦瘤”“腦積水”什麼的,但你知道嗎?還有一種叫“蛛網膜囊腫”的東西,雖然聽起來有點嚇人,但其實大多數情況下,它就像大腦裏一個安靜的“小水泡”,不會惹出大麻煩。今天,我們就來聊聊這個蛛網膜囊腫,用最簡單的話語,讓大家都能看懂。畢竟,健康知識多瞭解一點,就能少一些擔心,多一些安心。這篇文章面向所有普通人,不管你是上班族、學生還是老人,都能從中受益。咱們一步步來,慢慢拆解這個“神祕”的疾病。

圖片來源於網絡

第一部分:蛛網膜囊腫到底是什麼玩意兒?

圖片來源於網絡

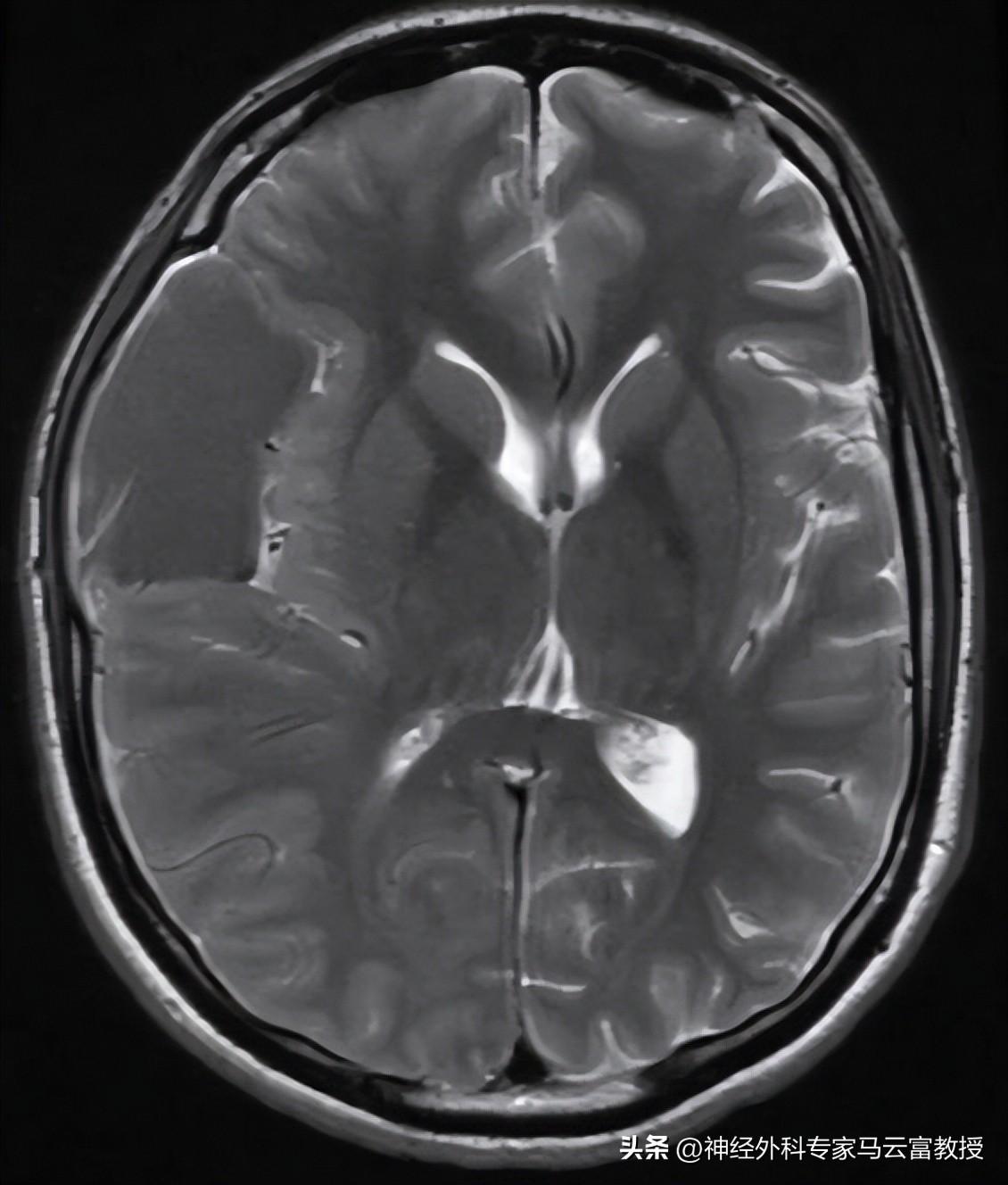
先來個簡單比喻:想象你的大腦就像一個精密的電腦主機,外面包裹着幾層保護膜。這些膜叫“腦膜”,其中有一層叫“蛛網膜”,因爲它薄薄的,像蜘蛛網一樣細密。蛛網膜囊腫呢,就是在這層蛛網膜之間,或者蛛網膜和大腦之間,形成的一個小囊袋,裏面裝滿了清澈的液體——這種液體其實就是我們常說的“腦脊液”,它平時負責保護大腦、緩衝衝擊。

這個囊腫通常是良性的,不是癌症那種惡性腫瘤。它的大小不一,小的像豌豆那麼大,大的可能有雞蛋大小。大多數蛛網膜囊腫是先天性的,也就是說,從寶寶在媽媽肚子裏發育的時候就有了。成年後發現的,也可能是小時候沒注意,長大後慢慢顯現出來。簡單說,它就像大腦裏一個多出來的“小水庫”,平時不漏水、不鬧事,就靜靜待着。

爲什麼叫“蛛網膜”?因爲這層膜確實像蜘蛛網,覆蓋在大腦表面,幫助腦脊液流通。如果囊腫形成了,腦脊液就會在某個地方積聚,形成囊袋。別擔心,這不是什麼罕見病,據統計,大約1%到2%的人羣中可能有這種囊腫,但很多人一輩子都不知道自己有它,因爲它不影響生活。

第二部分:蛛網膜囊腫是怎麼來的?原因大揭祕

圖片來源於網絡

蛛網膜囊腫的成因,主要分兩種:先天性和後天性。先天性的佔大多數,是胚胎髮育過程中,蛛網膜沒有完全閉合,導致腦脊液在某個地方“兜”起來了。這就像建房子時,牆壁沒砌嚴實,留了個小洞,雨水就積起來了。遺傳因素可能有影響,但不是100%遺傳病,所以別太擔心家族史。

後天性的呢?比較少見,通常是由於外傷、感染或手術引起的。比如,頭部受到重擊,導致腦膜損傷;或者腦膜炎之類的感染,讓蛛網膜發炎,形成囊腫。還有極少數情況下,是其他疾病的併發症,比如腦腫瘤或出血後遺症。但總體來說,後天性蛛網膜囊腫不多見,大部分人不用太糾結這個。

影響因素呢?年齡是個關鍵,小孩和年輕人更容易被診斷出來,因爲他們做檢查的機會多。男性比女性稍多一些,但差距不大。生活習慣上,目前沒有證據說抽菸喝酒會直接引起它,但保持健康生活總沒錯,能減少潛在風險。

第三部分:蛛網膜囊腫有哪些症狀?別自己嚇自己

好消息是:80%以上的蛛網膜囊腫是“無症狀”的!意思就是,它藏在大腦裏,你根本感覺不到。很多人是做其他檢查,比如頭痛去拍CT,才偶然發現的。所以,如果你沒啥不適,別慌張。

但如果囊腫太大,或者位置不對勁,壓迫到大腦或神經,就會出症狀了。常見的包括:

  • 頭痛:最常見,尤其是早上起來頭疼,或者彎腰時加重。像有個東西在腦子裏晃盪。
  • 癲癇發作:突然抽搐、意識模糊,尤其在小孩身上多見。
  • 視力問題:囊腫壓到視神經,可能導致眼睛模糊或視野缺損。
  • 平衡失調:走路晃悠,感覺像喝醉了酒。
  • 發育遲緩:在嬰兒期,如果囊腫大,可能影響頭圍增長或運動發育。
  • 其他:偶爾有噁心、嘔吐、記憶力下降,或者肢體無力。

這些症狀聽起來嚇人,但其實很少見。只有當囊腫體積增大,影響腦脊液循環或壓迫腦組織時,纔會鬧騰。大多數人一生平安無事。記住:症狀不等於疾病,很多頭痛是其他原因引起的,別自己對號入座。

圖片來源於網絡

第四部分:怎麼診斷蛛網膜囊腫?檢查方法簡單明瞭

診斷蛛網膜囊腫,主要靠影像學檢查。別擔心,現在醫學發達,這些檢查安全又準確。

  • 首選MRI(磁共振成像):這是金標準,能清楚看到囊腫的位置、大小和形狀。MRI沒有輻 射,對大腦細節顯示超級清晰。檢查時間半小時左右,躺在機器裏別動就行。
  • CT掃描:如果MRI不方便,CT也能用。它更快,但有少量輻射,通常用於急診。
  • 其他輔助:有時需要腦電圖(EEG)檢查癲癇,或者腰椎穿刺測腦脊液壓力。但這些不是常規。

如果你有疑似症狀,去神經內科或兒科掛號,醫生會根據病史和體檢決定是否拍片。早發現早安心,但別濫查——健康體檢時,如果沒症狀,不必特意篩查這個。

圖片來源於網絡

第五部分:蛛網膜囊腫怎麼治療?觀察爲主,別急着動刀

治療原則是:無症狀的不治!是的,你沒聽錯。大多數蛛網膜囊腫不需要干預,定期複查就夠了。醫生會建議每6-12個月拍個MRI,看看它有沒有長大。如果穩定,就當它不存在。

如果有症狀,或者囊腫在長大,治療選項有:

  • 保守治療:用藥緩解症狀,比如止痛藥治頭痛,抗癲癇藥控發作。但這治標不治本。
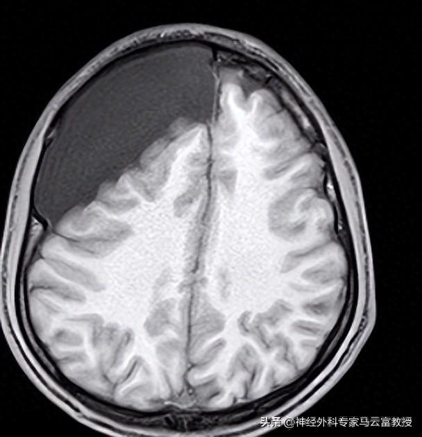
  • 手術治療:當囊腫壓迫嚴重時,才考慮。常見方法是“囊腫開窗”或“分流術”——簡單說,就是在囊腫上開個小口,讓腦脊液流出來,或者用管子引流。現代手術多用內鏡,創傷小,恢復快。成功率高,但有小風險如感染。
  • 對於小孩:如果影響發育,早手術效果好。但醫生會權衡利弊。

總之,治療個性化,別聽網上胡說。找正規醫院的神經外科醫生諮詢,他們會根據你的情況制定計劃。手術後,大多數人生活質量大幅提升。

第六部分:如何預防蛛網膜囊腫?日常生活小貼士

預防先天性囊腫難,因爲是發育問題。但後天性的,可以注意:

  • 保護頭部:戴頭盔騎車,避免頭部外傷。
  • 及時治感染:腦膜炎等要早治療,別拖。
  • 健康生活:均衡飲食、適量運動、規律作息,增強免疫力。
  • 定期體檢:尤其有家族史或症狀的人,及早篩查。

最重要的是心態:蛛網膜囊腫不是絕症,別過度焦慮。知識就是力量,多瞭解,就能少恐懼。

結語:健康從瞭解開始

蛛網膜囊腫雖然名字複雜,但本質上是個“溫和”的小問題。大多數人能和平共處,少數有症狀的也能通過現代醫學輕鬆解決。希望這篇文章幫你解惑,如果你有類似症狀,趕緊去醫院檢查,別拖延。科普只是參考,專業事交給省婦幼神經外科醫生。
(若有圖片侵權請及時聯繫)

相關推薦
請使用下列任何一種瀏覽器瀏覽以達至最佳的用戶體驗:Google Chrome、Mozilla Firefox、Microsoft Edge 或 Safari。為避免使用網頁時發生問題,請確保你的網頁瀏覽器已更新至最新版本。
Scroll to Top