5月5日湖北省婦幼保健院神經外科完成一例顱縫早閉手術
病例:
【基本信息】男,11個月
【疾病類型】顱縫早閉(矢狀縫),舟狀頭
【就診時間】2025年4月
【治療醫院】湖北省婦幼保健院小兒神經外科
【治療方案】顱縫再造術
【治療效果】手術順利,目前恢復良好
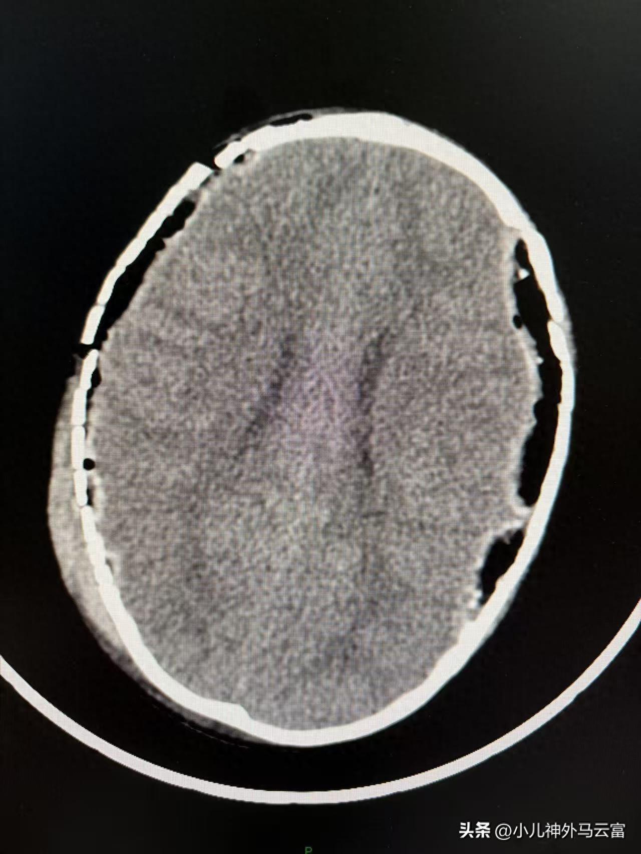
術後影像、照片:



相關推薦
病例:
【基本信息】男,11個月
【疾病類型】顱縫早閉(矢狀縫),舟狀頭
【就診時間】2025年4月
【治療醫院】湖北省婦幼保健院小兒神經外科
【治療方案】顱縫再造術
【治療效果】手術順利,目前恢復良好
術後影像、照片:


