花季少女停經泌乳,省婦幼神經外科妙手回春
基本信息:女 18歲
就診時間:2024年11月
治療醫院:湖北省婦幼保健院小兒神經外科
治療方案:經鼻蝶內鏡下垂體瘤切除術
治療效果:痊癒,影像學正常,雌孕激素較前好轉
患兒小可,18歲的年紀卻出現了停經甚至泌乳的難言之隱,多地求醫問藥嘗試了中醫、補充激素等多種治療都沒有好的療效,後來湖北省婦幼保健院神經外科,經過檢查,腦部核磁發現鞍區有一個明顯的佔位,激素結果泌乳素明顯增高,醫生團隊結合小可的病史,術前診斷爲垂體瘤。

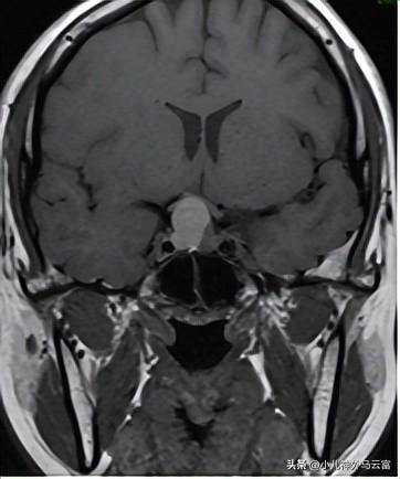
MRI提示鞍區佔位
根據診斷結果,湖北省婦幼保健院小兒神經外科團隊專家進行了多次討論,考慮患者垂體瘤體積大,並瘤內有明顯卒中,有手術指徵。同時患者服藥控制效果不佳,爲長遠考慮
具體的治療方案:1、查血常規、肝腎功能、血培養、血氣分析、胸片、腦部核磁、副鼻竇CT等相關檢查;
2、全身麻醉下行經鼻蝶內鏡下垂體瘤切除術,動態複查血常規、生化、激素水平等指標;
3、密切監測每日出入量,動態複查影像學。

11月3日行經鼻蝶內鏡下垂體瘤切除術

術後CT複查
家長小課堂:
1、什麼是垂體瘤?
在我們的大腦,有一個叫做垂體的人體內分泌總司令,僅有黃豆大小,卻是人體裏最爲複雜、最爲重要的內分泌腺體,負責指揮全身多個臟器的運轉。垂體的“指揮棒”其實是它產生的“激素”,通過分泌產生的激素可以指揮“甲狀腺、腎上腺、卵巢、睾丸、骨骼及軟組織等”臟器和結構發揮作用。
垂體瘤又名垂體腺瘤,是起源於腦垂體的常見腫瘤,佔原發腦腫瘤的10-15%。是一種常見的良性顱腦腫瘤。
2、什麼是垂體瘤泌乳素型?
在各種垂體瘤亞型中,泌乳素型垂體瘤最爲常見,約佔50%。其早期症狀主要表現爲女性月經紊亂、閉經溢乳、以及不孕,男性乳腺發育、性慾減退、以及不育;隨着腫瘤增大,後期還可出現視力下降、視野缺損、頭痛和腦積水等。通過血清泌乳檢測和鞍區核磁共振檢查,可以對絕大多數的泌乳素型垂體瘤做出初步診斷,女性發病率是男性的3倍,但男性大腺瘤(腫瘤大小>1cm)的比例遠高於女性。
隨着神經內鏡技術的發展,越來越多的患者可以選擇通過微創手術獲得根治或提高生活質量
馬雲富教授簡介
l 馬雲富,教授、主任醫師、碩士研究生導師,湖北省婦幼保健院(湖北省婦產兒童醫院)小兒神經外科主任。原(鄭州大學第三附屬醫院神經外科主任,河南省小兒神經外科疾病診療中心主任、河南省嬰幼兒腦積水疾病診療中心主任)
l 主要社會兼職:
l 中國醫師協會周圍神經分會委員、中華醫學會神經外科分會全國小兒神經外科委員、中國醫師協會神經外科分會全國小兒神經外科委員、中國婦幼保健協會神經微創專業委員會副主任委員、河南省預防醫學會兒童腦積水專業委員會主任委員、河南省醫學會神經外科分會小兒神經外科專業主任委員、河南省醫師協會神經外科分會副會長、河南省醫學會神經修復專業委員會副主任委員、河南省婦幼保健協會小兒神經結構畸形副主任委員、河南省預防醫學會神經畸形防治專業委員會副主任委員
l 開展的在誘發電位電刺激及顯微鏡下治療小兒腦脊膜膨出、小兒脊柱裂、脊髓栓系手術6500餘例,國內手術數量多、療效確切,曾多次在電視臺、報紙報道。每例病人均有手術錄像,爲病人以後複查及療效判定、指導以後治療康復提供了強有力的支持。
l 在國內採用綜合方法治療各種嬰幼兒腦積水疾病,在全國領先,處於一流水平,參與編寫兒童腦積水最新版書籍,特別是嬰幼兒腦積水診斷治療預防方面有獨特的理論見解,年嬰幼兒腦積水手術量250餘例,技術居世界先進、國內領先水平。
l 開展的顱縫早閉、狹顱症手術治療在我省處於領先地位,年手術量150臺左右,根據不同的顱縫早閉類型採取不同方法治療狹顱症,爲衆多頭顱畸形、狹顱症、顱縫早閉患兒帶來了福音。
l 開展的在顯微鏡及腦室鏡下治療嬰幼兒腦腫瘤、嬰幼兒腦出血、嬰幼兒腦外傷、嬰幼兒先天神經畸形等手術在全國處於領先地位。
l 主治:腦積水,脊柱裂,顱縫早閉,腦出血,卒中腦出血及腦梗塞,腦外傷,腦腫瘤,面肌痙攣,三叉神經痛,煙霧病,痙攣性腦癱