腦溢血死者逐漸增多,醫生提醒:老人50歲後,儘量改掉4個壞習慣

來源: 更新:

今年63歲的張叔叔,熱愛各種美食,自從退休後老伴兒去給兒子幫忙帶孩子,自己更是學會了做飯。他特別喜歡喫茴香包子、油炸茄子等食物,因此經常做這些飯。

一天,他喫了油炸茄子+茴香包子後,自己還愜意地喝了點啤酒。可沒一會兒,就開始胡言亂語,甚至開始意識模糊,人也逐漸陷入昏迷。

好在鄰居正好來串門發現了他不對勁,就趕緊撥打了急救電話,並通知了他家人。送醫就診後醫生開展了急救,確診是高血壓所致的腦溢血,並安排他住院治療。

醫生問診後瞭解到張叔叔的飲食習慣後,解釋:“他本身有高血壓,茴香屬於高鈉食物,喫多了不利於血壓的控制,而且油炸茄子喫多了會導致血壓波動。”

都說病從口入,不健康的飲食習慣可能會危害身體健康,甚至被腦溢血等意外盯上。

一、越來越多人患腦溢血,主要病因是什麼?

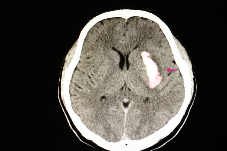
南方醫科大學中西醫結合醫院神經醫學中心兼神經外科陳陸馗主任介紹:腦出血也稱爲“腦溢血”,是指非創傷導致的腦內血管破裂,腦實質內聚集血液,在腦卒中中佔比25%—55%。據統計,每年每十萬人中有12—15人出現腦出血,發病一個月的死亡率可高達35%—52%

腦出血的發生主要是因爲腦血管病變血管出現硬化、彈性變差,這個時候受劇烈血壓波動影響,血管就可能出現破裂出血。

導致腦出血常見的原因有高血壓等疾病此外不健康的生活方式,還有藥物影響等也會導致腦出血;

心梗、房顫、腦梗等疾病患者,由於需長期服用抗凝藥物,可能會有凝血功能異常,很容易出現突發性的腦出血;

吸菸、飲酒、過度勞累、情緒過於激動、不注重防寒保暖等不健康的生活習慣,可能會誘發腦出血。

浙江大學醫學院附屬第二醫院神經外科副主任醫師閆偉介紹,腦出血多發於50歲以上的中老年人,其中,高血壓最主要的病因之一。

解放軍總醫院第七醫學中心神經外科副主任醫師夏小雨指出,腦出血的發生與一些不良生活習慣的關係十分密切,尤其是有以下4種生活習慣的中老年高血壓患者,真的要儘早改正。

1、吸菸酗酒

長期吸菸、喝酒會加速血管的收縮,導致血壓升高,進而誘發腦出血。

2、飲食不健康

經常食用高脂肪、高熱量的食物,很容易被動脈粥樣硬化盯上,腦血管脆弱稍微受點刺激,就可能出現破裂出血。

3、情緒易激動

情緒總是過於激動,可能會導致心跳變快、血壓升高,增加腦出血的發生風險。

4、降壓藥不按時喫

高血壓患者如果不規律服用降壓藥,那可能會導致血壓出現大的波動,引起動脈痙攣,甚至誘發腦出血。

二、身體出現6個表現,要高度懷疑腦出血

腦出血多數是突發性的,患者很容易在過度疲乏或情緒激動的狀態下發病,而且發病速度極快,幾分鐘內就會達到高峯。

如果腦出血發生在大腦半球,出血量超過30毫升,那就可能危及生命;如果腦出血發生在小腦、腦幹、後顱窩等部位,出血量超過10毫升,可能會危及性命;如果腦出血發生在腦幹重要部位,那出血量只有5毫升,也可能會致命。

腦出血並非一點蛛絲馬跡都沒有,長沙市第三醫院神經外科主任萬一提醒,腦出血的症狀可能會在幾分鐘至幾小時內達到高峯,當身體出現以下5種異常時,同時伴隨着血壓突然快速升高的情況時,要警惕是腦出血的信號:

1、劇烈頭痛

出現劇烈頭痛症狀,同時伴有頭暈、嘔吐、意識改變等症狀,要警惕腦出血作祟。

2、言語障礙

說話時突然含糊不清,或者不能理解別人說的話,都可能是腦出血的症狀。

3、視覺障礙

單眼或雙眼出現眼前模糊、變黑、有重影等視覺障礙,要提高警惕。

4、行走困難

協調能力出現問題,走路容易失去平衡,出現突然絆倒或頭暈等,都可能是腦出血所致。

5、面部或四肢麻木

身體或面部一側突然出現發麻、無力等症狀,要小心是腦出血發出的求救信號。

腦出血發生後的三小時黃金三小時,如果能在這個時間段內診斷出腦溢血,並及時就醫,那或許能挽回腦出血患者的性命。如果自己無法判斷的話,最好第一時間撥打急救電話,以免錯過最佳治療時機。

三、這4種“素菜”,或讓腦溢血離你越來越近

腦溢血最主要的還是與高血壓有關,而高血壓的血壓是否控制穩定與平時的飲食習慣也有很大關係,很多高血壓患者以爲少喫鹽、少喫點肉就行,但其實生活中有些蔬菜或者是做菜的方式,對血壓的影響也不少,尤其是以下4種“素菜”,儘量控制少喫點!

1、高鈉蔬菜

芹菜、茴香、茼蒿、芥菜、白蘿蔔、胡蘿蔔、奶白菜、空心菜等蔬菜,屬於高鈉蔬菜,高血壓患者要儘量少喫。平均每100克的西芹、茴香及其他上述蔬菜中,鈉含量分別超過了300mg、160mg和100mg。

2、紅燒蔬菜

紅燒土豆、紅燒茄子等紅燒菜系,烹飪時需要用到大量的油和糖,屬於高油脂、高糖分飲食,喫多了會增加高血糖、肥胖、高血脂及心腦血管疾病的風險。

3、乾煸蔬菜

乾煸花菜、乾煸茶樹菇、乾煸豆角等乾煸菜系,屬於很多人喜歡喫的下飯菜,但這類菜系油脂高,儘量要少喫。

4、鹹菜

鹹菜屬於高鹽食物,北京協和醫院臨牀營養科於康教授介紹:經常食用高鹽食物,會導致體內鈉離子濃度升高,進而導致血管擴張,血管壁壓力變大,就可能導致血壓升高。

我國腦出血患者高發,輕則致殘,重則致死,而且發病極快,其中不乏很多年輕人。腦出血來臨前並非毫無徵兆,如果出現上述幾個症狀,一定要提高警惕儘快就診排查。

除此之外,日常要養成良好的生活習慣,注意飲食營養均衡全面。


參考資料:

[1] 《【警惕】大年初四突發大量腦出血!做好這幾點預防腦出血!》.南方醫科大學中西醫結合醫院.2022年02月11日

[2] 《如何識別腦出血?如何診斷?如何治療?》.重大附屬腫瘤醫院神經外科.2024年04月22日

[3] 《酒後頭痛持續 竟是兇險腦出血 醫生提醒:夏季腦出血發病率增加,這些典型症狀需警惕》.長沙市第三醫院.2024年08月07日


相關推薦
請使用下列任何一種瀏覽器瀏覽以達至最佳的用戶體驗:Google Chrome、Mozilla Firefox、Microsoft Edge 或 Safari。為避免使用網頁時發生問題,請確保你的網頁瀏覽器已更新至最新版本。
Scroll to Top