中老年人在這3件事上太勤快,並不是好事,可能會招來疾病!

來源: 更新:

“我爸的血壓一直都控制得很穩定,怎麼就突然腦溢血了呢?”張大爺的兒子在一旁追問。

今年61歲的張大爺,是一名中學校長,患有高血壓已經有10多年,一直按時喫藥,每天檢測血壓,堅持運動,因此血壓一直都很穩定。

然而,幾天前張大爺晚飯後照常出去運動,卻突然暈倒在路上,路人發現後趕緊叫了救護車將他送往醫院,經搶救,張大爺最後因突發腦溢血落下了半身癱瘓的後遺症,面對這一悲劇,家人悲痛之餘同樣也感到困惑。

醫生經追問後才發現,原來近幾個月以來,張大爺在晚上運動時一直都出現不同程度的頭暈,但時間很短,休息一下就好了,於是張大爺也沒有把這當回事,還是照常運動,對於身體出現的症狀視而不見,是張大爺的第一個錯誤。

另外,張大爺喫完晚飯後就一直在外面運動,每次都持續一兩個小時,醫生表示,張大爺之所以出現腦溢血和他過度運動也有着極大的關係。

重慶西區醫院神經外科主任梁鴻表示:運動並不是強度越大越有效果,運動時用力過猛、強度太大可能會導致血壓驟升。


一、高血壓患者能不能運動?

關於高血壓患者能不能運動,一直都存在不同的看法,有人認爲高血壓患者運動,血壓會更高,容易出現腦出血,尤其是看完上文的張大爺的經歷後更加堅信這一觀點;但也有人認爲長期運動有助於降壓。

其實,高血壓患者能不能運動,有一個很重要的關鍵點,就是要看高血壓的嚴重程度,高血壓可以分爲輕度、重度和重度三個等級。

輕度高血壓即Ⅰ級高血壓,一般舒張壓在90—99毫米汞柱,或收縮壓在140—159毫米汞柱,血壓控制得好的話能夠適量運動;

中度高血壓即Ⅱ級高血壓,一般舒張壓在100—109毫米汞柱,或收縮壓在160—179毫米汞柱,部分血壓控制理想的患者可在醫生指導下運動;

重度高血壓即Ⅲ級高血壓,舒張壓在110毫米汞柱以上,或收縮壓超過180毫米汞柱,這類患者一般不建議運動。

但不管是哪一級的高血壓患者,運動前最好諮詢醫生的意見,以免血壓波動過大造成嚴重併發症。

另外,高血壓患者在運動過程中要牢記三個注意事項。

1、運動時要控制好強度和運動頻次

運動能夠起到一定的降壓效果,一般降壓效果可持續22-24小時,建議可遵循短時間、中等強度、多次的運動原則,以更好的發揮運動效果,控制好血壓。

2、運動過程中要注意監測心跳和血壓

運動時要根據醫生的指導控制好血壓和心率,最好佩戴能實時監測血壓和心跳功能的腕帶或腕錶,不然可能適得其反。

3、運動要記得長期堅持

研究發現,高血壓患者需要經過一個月以上的科學運動纔能有點效果,而堅持半年左右超80%的受試者血壓下降明顯。

二、運動時有3個表現,要當心是腦溢血到來

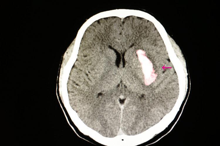
腦溢血又稱爲腦出血,臨牀上稱爲出血性腦卒中,屬於腦卒中中的一種。腦出血是指由非外傷性腦實質內血管破裂引發的出血,急性期病死率可高達30%—40%,即便是倖存者也多數會有不同程度的認知障礙、運動障礙、言語障礙等致殘後遺症。

腦出血的發生多與高血壓小動脈硬化的血管破裂有關,因此,臨牀上將此類腦出血稱爲高血他性腦出血。

上海藍十字腦科醫院神經外科學術副院長於耀宇指出,高血壓最嚴重的併發症之一就是高血壓腦出血,高血壓會導致顱內的小動脈呈現病理性變化,一旦患者情緒過於激動、劇烈運動等導致血壓出現劇烈波動,就會導致小動脈管破裂,血液進入腦室內或腦實質,從而導致腦出血。

廣東省第二中醫院主任中醫師王清海提醒,老年高血壓患者在運動時要注意出現以下三種症狀:

1、心悸

很多高血壓患者會合並心臟疾病,而運動後會導致心律加快,甚至還可能導致心臟早搏。

2、頭暈

運動可能會導致血壓降低或者過快升高,從而導致腦血管供血不足,很容易引發頭暈症狀。

3、胸悶胸痛

運動會導致心臟對血液需求的增加,高血壓患者如果同時合併冠狀動脈狹窄、堵塞,就可能出現胸悶胸痛症狀。

三、老人3件事別做得太勤快,對健康無益

不少老年人或多或少都患有慢性疾病,除了不能頻繁運動之外,以下三件事也不宜太勤快,太勤快了反而容易招致禍害。

1、保健品別喫得太勤快

很多人被商家宣傳的各種保健品吸引了,想着補點總比不補好,但盲目服用保健品反而不利於身體健康。維生素服用過量可能引發中毒,補鐵和補鋅過多會引發腹瀉、嘔吐等症狀,因此盲目服用保健品,可能是在花錢找罪受。

2、洗澡不要太勤快

洗澡次數過於頻繁、時間過長、水溫過高等會導致皮膚表面保護層被破壞,加重皮膚的乾燥症狀,甚至被乏脂性溼疹盯上。復旦大學附屬華山醫院皮膚科主任醫師李巍提醒:很多特應性皮炎患者發病都與頻繁洗澡、水溫過高等因素有關。

3、家務別太勤

收拾家務能讓家庭環境更加整潔怡人,但長時間低頭擦地、搬傢俱、提重物等可能會導致關節扭傷、肌肉拉傷,甚至引發勞損性疾病。

運動固然有益於身體健康,但對於一些特殊人羣,像血壓不穩定的高血壓患者等,運動一定要遵醫囑進行。高血壓患者運動時要小心出現頭暈、心悸、胸悶胸痛等症狀,老年人除了運動不宜過於勤快,還要注意避免盲目服用保健品,洗澡過於頻繁等。


參考資料:

[1] 《男子每天運動降血壓,2年後突發腦出血?醫生說出實情》.重慶西區醫院.2023-12-07

[2]《腦出血系列科普——腦出血的病因、前兆、診斷》.吉林省一汽總醫院.2023-12-08

[3]《每月洗澡應該多久一次?這9個洗澡習慣儘量避免!》.健康時報.2023-05-31


相關推薦
請使用下列任何一種瀏覽器瀏覽以達至最佳的用戶體驗:Google Chrome、Mozilla Firefox、Microsoft Edge 或 Safari。為避免使用網頁時發生問題,請確保你的網頁瀏覽器已更新至最新版本。
Scroll to Top