“你的主動脈就像快被打爆的車胎,哪天破了,人可能直接就沒了”

來源: 更新:

2022年12月19日那天老公“陽”了,燒了一整夜,咳嗽、嗓子疼的症狀雖有但並不嚴重。“陽康”後老公的嗓子斷斷續續啞了4個多月。

但凡能治嗓子的招數我們差不多都用過,卻沒想到聲音啞不只是嗓子的問題。

我從沒摸過這樣又快又亂的脈搏

醫生要求馬上住院

2023年2月16日半夜我睡得正香,感覺有人推我,揉了揉惺忪的睡眼,看見老公正坐在牀上一臉凝重。他看見我醒了就說:“趕緊起牀,陪我去醫院!”聽了這句話我瞬間清醒。

我們從來沒有半夜去過醫院,我趕緊問他:“怎麼了?”“我這心跳得一會兒快一會兒慢的,心慌得厲害,根本睡不着。”老公說着把我的手按在了他的手腕處。我雖然不會號脈,但這一摸嚇了一跳,我從來沒摸過這樣又快又亂的脈搏。

我趕緊從牀上跳下來,一邊催促老公穿衣服,一邊把衣服胡亂地往自己身上套,用手胡亂理了兩下亂糟糟的頭髮,給睡夢中的女兒留了一張紙條,拽着老公出門直奔醫院。

到了醫院急診室,護士給他量血壓、做心電圖,醫生診斷是心房顫動(房顫),要求馬上住院。我第一次聽說房顫這個病,看到急診醫生一臉嚴肅的樣子,嚇得我的心砰砰直跳。

急診做的心電圖,醫生診斷是心房顫動丨作者供圖

醫生看了老公剛做的心電圖,一邊詢問病情一邊在電腦上開醫囑,讓護士給老公推一針胺碘酮注射液。3個小時後老公的房顫消失了,心律恢復了正常,整個人也恢復了常態,我這顆懸着的心終於落地了。

次日醫生讓做心臟超聲,報告顯示主動脈瓣中度返流,左房左室大,升主動脈瘤樣擴張。

心臟超聲報告顯示主動脈瓣中度返流丨作者供圖

臨出院時又做了個喉鏡,醫生看了報告後對我們說:“這有可能是支配左側聲帶的神經出了問題,到底是什麼原因導致的,還需要進一步檢查。”他給我們開了3種營養神經的藥,喫了兩天老公的嗓子啞明顯好轉。

喉鏡顯示左側聲帶出了問題丨作者供圖

“主動脈就像車胎鼓了大包,

哪天破裂人可能直接就沒了”

在朋友的建議下,我們前往濟南一所三甲醫院住院治療,複查心臟超聲顯示,僅僅幾天的時間,老公的主動脈瓣返流從中度變成了重度,還有主動脈竇瘤。

會診後一位年輕的心外科醫生作爲代表來找我們談話,他很認真地對老公說:“你的升主動脈現在變得很粗,就像是車胎打氣過多劇烈膨脹,竇部甚至已經鼓起了大包,這個問題是你的主動脈瓣關閉不全、重度返流引起的。”

複查心臟超聲,主動脈瓣返流從中度變成了重度丨作者供圖

聽了這位醫生的話,我焦急地問:“醫生,那怎麼辦?”他說:“最好的辦法就是置換升主動脈血管和主動脈瓣,這個手術需要開胸進行。如果不做的話,哪天主動脈竇瘤破裂出血,人可能直接就沒了。”

我的心立刻提到了嗓子眼兒,連忙說:“我們做,我們做。”老公問:“那我這嗓子啞了4個多月知道是什麼原因嗎?”醫生繼續說:“可能與這個有關,升主動脈瘤樣擴張壓迫了喉返神經,導致左側聲帶麻痹。” 我緊接着問:“那房顫呢?”“也與主動脈瓣重度返流有關,你們放心,一次開胸手術我們會把能治的都治了,房顫用射頻消融術一塊兒給打了。”

之後,醫生和我們詳細說了換瓣膜的方案,瓣膜有兩種:一種是生物瓣,一種是機械瓣。生物瓣使用年限短,需要二次手術,但不需要長期服藥和定期化驗凝血指標,術後也不用忌口。機械瓣可以終身使用,但需要長期服用抗凝藥物和定期抽血複查。醫生建議我們換機械瓣,老公尚年輕可以避免二次手術,不過換機械瓣後他有可能會聽到像手錶秒針一樣“滴答滴答”的聲音。我和老公商量後決定聽從醫生的建議。

以前老公不太喜歡說話

術前那幾天卻“吧啦吧啦”話很多

手術前醫生找我談話簽字,告訴我說:“雖然我們醫院做這個手術已經很成熟了,但手術的成功率也不能保證百分之百,任何手術都有風險,最壞的可能是下不了手術檯。”我努力壓抑着內心的恐懼,不讓眼淚掉下來。談話結束後我沒有直接回病房,而是走到走廊盡頭的無人角落,腦海裏一直回放着醫生那句“有可能下不了手術檯”。壓抑許久的悲傷情緒在這一刻終於爆發,淚水順着我的臉頰流下來,我蹲在地上失聲痛哭。

老公才40歲出頭,我們的感情一直很好,小日子也過得有聲有色,除了我以外年邁的父母和可愛的女兒都離不開他。他是我們家的頂樑柱,更是我的靠山。慢慢地平復了一下心情,我想明白了,哭是解決不了任何問題的。我能做的就是照顧好他,積極配合醫生,等待即將到來的手術。

以前老公不太喜歡說話,但等待手術的那段時間他貌似變了一個人,“吧啦吧啦”的話特別多。“如果我有什麼意外,幫我照顧好父母和女兒,手術後我在ICU,家屬不讓陪同,你住哪裏?”“我就住醫院走廊裏!”“不行,你住那裏我不放心,再說也休息不好,就你那小體格怎麼受得了?”

老公把手機裏的錢都轉給了我,用僅剩的800元爲我訂了5天酒店,叮囑我說:“如果我做完手術5天后還沒有轉入普通病房,你就把酒店續上,千萬別在醫院走廊湊合。一個人在外面一定要注意安全,好好喫飯,我還等着回到普通病房你照顧我呢。”“知道了,你放心吧,我會照顧好自己的。你一定要早早出來,記得我在外面等你!”我強忍着溢出眼眶的淚水對老公說。

8個多小時裏

我連老公的照片都不敢看

2023年5月11日早上7點,接老公的手術推車來到了病房,我跟着護工把老公送到手術室門口。老公進去後,我找了個離手術室門口最近、一眼就能看到裏面、第一時間就能聽到醫生喊話的絕佳位置等待。站在那裏我有些茫然,心裏空落落的,眼睛緊盯着手術室門口,生怕遺漏任何與老公有關的消息,心裏想着:手術一定要順利!

大約15分鐘後,從手術室出來一個醫生喊家屬簽字,我跑過去利索地簽完了有關麻醉事項的單子,再次退回我那塊兒寶地。手術室外等待的這8個多小時要多煎熬有多煎熬,我不敢想曾經和老公在一起的時光,也不敢看手機裏關於老公的任何一張照片,因爲一瞬間的想起都會讓我忍不住淚流滿面。這段時間我感覺不到餓和渴,甚至連廁所都沒有去過。

下午3點25分,我終於看到他被醫生推出來,從手術室到ICU大門的距離只有幾米遠,我匆匆看了他一眼,老公嘴裏插着管子,臉色煞白,昏睡狀態。醫生讓我幫忙推開ICU的門,我還沒來得及觸摸一下老公的手,就出了ICU。我張了張乾燥得已經爆了皮的嘴脣,居然沒有發出聲來。

我在ICU門口呆呆地站了一會兒,醫生出來對我說:“手術很順利,換了升主動脈血管、主動脈瓣,修了二尖瓣,打了房顫,該做的都做了,放心吧!”聽了醫生的話我喜極而泣,趕緊掏出手機把這個好消息發信息告訴家人朋友,我不敢給任何一個人打電話,因爲我怕壓抑一天的情緒會剋制不住地爆發出來。

明知道守在ICU門口也沒用,但我還是在那裏待到下午5點。回酒店後我緊繃了一天的神經終於放鬆了,有朋友打電話詢問老公的情況,我第一次在外人面前失聲痛哭。我知道手術成功只是萬里長征的第一步,後面依然不能掉以輕心,還有很長的路要走。

脖子上打着針、胸口插着管子

肚皮上青一塊紫一塊

第二天早上6點,我接到ICU打來的電話,說老公昨天半夜12點醒了,早上能喝些小米油,讓我準備好送去。掛了電話,我感覺壓在胸口的大石頭終於被推開。那天陽光明媚,泉城清晨的微風吹在身上特別舒服,道路兩旁綠樹成蔭,我手裏提着黃澄澄的小米油,腳步輕快地奔向醫院。他肯定餓了,想起昨天老公剛做完手術時那張煞白的臉,我心疼不已,此刻他一定迫切地想喫點兒什麼吧。

在ICU住了24小時後,老公轉入了心外科的小ICU,能夠早早轉科說明一切都在往好的方向發展。探視時間一到,我馬上進去看老公,他對於我的到來特別高興,但整個人憔悴得不行,脖子上打着針、胸口插着管子、大腿根部貼着一塊厚厚的紗布,因皮下注射抗凝藥而肚皮上青一塊兒紫一塊兒的。

老公的脖子上打着針、胸口插着管子丨作者供圖

老公對我說:“我渾身難受,咳痰咳得胸口疼但又不能不咳。”看到這樣的他,我的眼淚再一次在眼眶裏打轉,安慰他說:“過幾天就好了,病友們都經歷過這個階段。”

4天后老公終於轉入普通病房,我能夠全程陪伴他了。有我在身邊,老公的心情越來越好,偶爾還能和我說個俏皮話。他的飲食也漸漸恢復了正常,可以選擇的食物越來越多。爲了讓老公能夠早日康復,我每天變着花樣給他準備飯菜,還會準備各式水果。

我把老公當成了“大熊貓”,每天讓他享受國寶級待遇。老公感慨道:“有老婆的陪伴就是不一樣,雖然刀口還是疼但心情好了很多。”他還時不時笑着調侃:“我真是過上了飯來張口的神仙日子啊!”

嗓子還是有些啞

瓣膜的“滴答”聲並沒有出現

5月19日早上醫生給老公換完胸口和大腿根部的藥,就同意他出院了,辦完出院手續我扶着老公走出醫院大門。只見他仰望天空,閉着眼深深呼吸了一下戶外的新鮮空氣,用手擋在前額,慢慢睜開眼說:“天空真藍,陽光真好!”我一臉寵溺地看着他,能夠相互攙扶着沐浴在明媚的陽光下是件多麼幸福的事。“走!回家!”我倆相視一笑。這一刻我們覺得自己是幸運的,以後將更加珍惜在一起的日子。

現在老公的嗓子還是有些啞,正在慢慢恢復中,幸運的是他自己聽不見機械瓣膜的“滴答”聲。手術雖然非常成功,但是我們知道,瓣膜置換後,老公需要花一段時間來恢復身體,還要注意生活中的許多細節。出院時醫生開了抗凝的口服藥——華法林,這個藥需要終身服用,而且最開始每週都要去查凝血指標,便於及時調整華法林的用量。雖然經常跑醫院有些麻煩,但在健康面前這都是一些微不足道的小事兒。

老公胸前的傷口已經癒合得很好了,只是偶爾會疼、有些發脹,醫生說是正常現象。我安慰老公:“俗話說傷筋動骨一百零五,就是手指頭割破了個小口還得十天八天才能好,又何況開胸這樣的大手術呢。”

老公胸前的刀口丨作者供圖

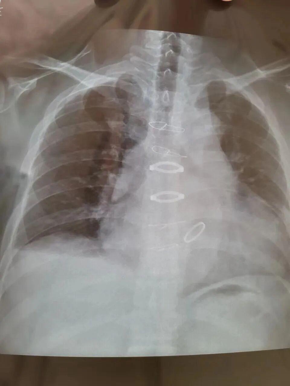
幾天前我們去醫院查血的時候又拍了個胸片,做了個心電圖,顯示心律正常,一切恢復良好。

胸片和心電圖顯示一切恢復良好丨作者供圖

經歷了這次大難,我感覺自己比想象中要堅強許多。我們感激醫生、護士、護工和家人對我們的幫助,也希望老公的患病經歷能夠提醒更多人關注健康、珍惜生命。

醫生點評

周晨陽 | 首都醫科大學附屬北京安貞醫院心外科 主治醫師

主動脈瓣返流是指主動脈瓣關閉不完全,造成主動脈血液在心臟舒張期逆流回心臟的情況。其病因包括先天性心臟病、感染性心內膜炎及風溼性心臟病等。主要症狀包括心悸、氣短、乏力及水腫等。

對於主動脈瓣返流的診斷,醫生通常會進行詳細的病史詢問、體格檢查和輔助檢查。病史詢問可以幫助醫生了解患者的症狀、病程以及可能的病因。體格檢查時,醫生可能發現心臟雜音、心臟擴大等體徵。輔助檢查包括心電圖、超聲心動圖等,能夠提供更多關於主動脈瓣返流程度和心功能狀態的信息。

針對主動脈瓣返流的治療策略,取決於病情的嚴重程度和症狀的出現。對於輕度主動脈瓣返流,通常建議接受常規的藥物治療和定期隨訪如果出現嚴重瓣膜功能異常或心功能不全等情況,可能需要手術干預,如主動脈瓣置換術。手術能夠修復或更換受損的主動脈瓣,幫助心臟恢復功能。在手術後,患者需要定期複查和規律藥物治療來預防併發症和維持心臟功能。

主動脈瓣返流的預後通常與病情的嚴重程度和治療的及時性有關。對於早期發現並進行適當治療的患者,預後通常較好。預防主動脈瓣返流的最佳方法是積極控制與病因相關的危險因素,如預防感染性心內膜炎、控制高血壓等。

本文中,患者的房顫與主動脈瓣返流有關,主動脈瓣返流可導致心臟負荷過重,引起房顫等心律失常。其聲音嘶啞可能與升主動脈瘤樣擴張有關,升主動脈瘤樣擴張可能會對周圍組織和神經產生壓迫,包括喉返神經,導致聲音嘶啞等喉部症狀。

文中醫生建議進行開胸手術置換升主動脈血管和主動脈瓣。手術置換主動脈瓣和升主動脈血管是目前治療主動脈瓣返流的主要方法之一。評估手術指徵時,醫生會考慮病情的嚴重程度、症狀的出現、心功能狀態以及患者的整體情況。根據文章所述,患者存在主動脈瓣重度返流、升主動脈瘤樣擴張等問題,手術置換可以改善心臟功能,並可能減輕房顫和聲音嘶啞等症狀,從醫生的角度來看,符合手術指徵。

總結而言,主動脈瓣返流是一種常見的心血管疾病,其治療策略根據病情的嚴重程度和症狀的出現而定。手術置換是治療嚴重主動脈瓣返流的有效方法之一。最終的手術決策應該是在醫生和患者共同討論和評估後做出的。

個人經歷分享不構成診療建議,不能取代醫生對特定患者的個體化判斷,如有就診需要請前往正規醫院。

作者:鳳兮

編輯:王若愚、代天醫

題圖來源:Built4Action

本文來自果殼病人(ID:health_guokr),未經授權不得轉載,如有需要請聯繫[email protected]

點個“小愛心”吧

相關推薦
請使用下列任何一種瀏覽器瀏覽以達至最佳的用戶體驗:Google Chrome、Mozilla Firefox、Microsoft Edge 或 Safari。為避免使用網頁時發生問題,請確保你的網頁瀏覽器已更新至最新版本。
Scroll to Top