頭顱裏只剩一勺“粉色果凍”,她卻活到了20歲,沒有腦子也能活下去?

來源: 更新:

本文轉載自公衆號“把科學帶回家”(ID:steamforkids)

撰文 | 蘇澄宇

她剛剛度過了20歲生日,儘管在她原本應該充滿溝回的大腦位置,只有一汪腦脊液和一小勺被稱爲“粉紅色果凍”的殘留組織。

2025年11月,生活在美國內布拉斯加州的亞歷克斯·辛普森(Alex Simpson)再次打破了死亡預言,成爲了積水性無腦畸形(Hydranencephaly)倖存者中極罕見的案例

圖源:X

這讓我們重新審視一個核心問題:如果失去了負責思考的大腦皮層,一個人究竟還算不算活着?

亞歷克斯出生時便被判了死刑,醫生預言她活不過六個月,因爲她的顱腔內幾乎空無一物。不僅是額葉、頂葉這些負責高級認知的大腦半球全都缺失,連視覺和聽覺中樞也蕩然無存。

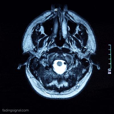
據她父親描述,她顱內僅存的實體,是位於後部的一小塊小腦和腦幹,大小僅相當於成人的小指。這殘留的微小組織,即那勺“粉紅色果凍”,在傳統醫學視角下通常被視爲僅能維持心跳呼吸的生物殘渣。然而事實詭異得令人不安,亞歷克斯不僅活着,她還能感知。

圖源:aol

家庭成員堅稱她能察覺到親人的存在。當父親走近時,儘管她在臨牀上是盲人,她的眼球卻會轉向父親的方向進行尋找。更令人費解的是她的情感共鳴能力,如果周圍有人感到壓力或痛苦,即使環境全都安靜,亞歷克斯也會表現出不安的情緒反應。

這種現象並非個例,另一位“無腦”患兒傑克遜·布爾(Jaxon Buell)也曾活到了5歲,並能發出類似“我愛你”的情感性聲音。這些案例如同幽靈般遊蕩在醫學殿堂,挑戰着“皮層即意識”的絕對權威。

傑克遜·布爾(Jaxon Buell) 丨CNN

媒體常將此類案例與所謂“智商75的無腦法國公務員”混爲一談,這是一種極其嚴重的誤解。

2007年《柳葉刀》報道的那位法國男子,雖然腦室急劇擴張,但這實際上是慢性腦積水造成的物理壓縮。

他的大腦皮層並未消失,而是被壓成了一層薄紙貼在顱骨上(下圖),如同被壓扁的三明治,結構依然完整,神經連接依然存在。這證明的是大腦驚人的可塑性。

圖源:柳葉刀

而亞歷克斯的情況截然不同,她是真正的“缺失”,她的神經元不是被壓縮,而是被液化吸收殆盡。因此,亞歷克斯的生存比那位法國公務員更具顛覆性,她證明了人類可以在沒有皮層“硬件”的情況下,依然維持某種形式的“軟件”運行。

既然負責“我”這個概念的皮層不存在,亞歷克斯的感知究竟源自何處?瑞典神經科學家比約恩·默克(Bjorn Merker)提出了一個大膽的理論,認爲意識的物理底座並非高高在上的皮層,而是那古老且常被忽視的腦幹與中腦結構。

圖源:britannica

這勺“粉紅色果凍”是生命的內核。在數億年的進化史上,早在皮層出現之前,脊椎動物就依靠這套系統覓食、交配和逃避天敵。

亞歷克斯顱內倖存的上丘(Superior Colliculus)起到了關鍵作用。這個古老的中腦結構負責整合感官信息,構建一個以身體爲中心的空間模型。即使沒有視覺皮層產生清晰的圖像,上丘依然能讓亞歷克斯感知到視野中的光影變化和運動,從而驅動眼球轉向父親。

而她對他人的情感共鳴,則可能源自導水管周圍灰質(PAG),這是痛苦、恐懼和依戀的原始發生地。她有的可能是一種“原發性意識”,一種純粹的、沒有雜質的當下覺知。她無法像我們一樣反思“我是誰”,無法回憶昨天或規劃明天,但她能真切地感受到當下的飢餓、舒適與愛。

圖源:giphy

如果把大腦比作一座圖書館,皮層是藏書和閱覽室,而腦幹則是發電站。亞歷克斯的圖書館被燒燬了,她失去了所有的書(記憶與語言),但發電站依然在轟鳴。

參考文獻

[1]https://timesofindia.indiatimes.com/world/us/us-woman-born-without-brain-celebrates-20th-birthday-after-doctors-said-she-wouldnt-live-past-four/articleshow/125226831.cms

[2]https://www.sciencealert.com/women-born-missing-most-of-her-brain-just-turned-20-defying-odds

[3]https://people.com/nebraska-woman-born-without-brain-turns-20-11846464

[4]https://pubmed.ncbi.nlm.nih.gov/36635972/

[5]https://mindmatters.ai/2025/07/burying-stories-is-no-way-to-advance-science/

[6]https://pmc.ncbi.nlm.nih.gov/articles/PMC4958942/

本文經授權轉載自 把科學帶回家ID:steamforkids), 轉載請聯繫 [email protected]。歡迎轉發到朋友圈。

點個“小愛心”吧

相關推薦
請使用下列任何一種瀏覽器瀏覽以達至最佳的用戶體驗:Google Chrome、Mozilla Firefox、Microsoft Edge 或 Safari。為避免使用網頁時發生問題,請確保你的網頁瀏覽器已更新至最新版本。
Scroll to Top