“黑玉斷續膏”在現實中真的存在!

來源: 更新:

最近,一種名爲“骨02”的骨膠水在互聯網上迅速走紅。“骨02”是一種創新生物材料,它能夠在人體血液浸潤環境中實現骨折的快速黏合固定。

來源:邵逸夫醫院

在未來,治療骨折可能不再需要打鋼板、擰螺釘,塗上“膠水”就能讓斷骨再續。是不是想到了武俠小說裏的“黑玉斷續膏”?曾屬於小說中的場景,正在一步步被科學家們實現。

骨折的復位固定:

患者的噩夢,醫生的難題

骨折是一種常見損傷,若不進行及時有效治療,可能引發嚴重後果。根據骨折類型、部位、移位程度等的不同,骨折的治療方案也有所不同。一些不太嚴重的骨折可進行石膏固定等保守治療,而有相當一部分的骨折類型需要進行手術治療[1]。

在傳統手術療法中,往往需要將骨塊復位後,再使用鋼板、螺釘等將其固定,聽上去就令人頭皮發麻。

打完鋼板、螺釘後的骨頭丨圖蟲創意

而且,有部分骨折並不是打完鋼板鋼釘就一勞永逸,還需要二次手術取出內固定物,這更是增加了患者的痛苦。如何提供更有效、微創的治療方案,成爲該領域最具挑戰性的問題之一。

有人曾提出,發明一種能粘合骨頭的膠水,不是就能完美解決這一問題?但是,如何在充滿血液的人體內用膠水把骨頭粘合起來,一直是科學家們沒能突破的技術難點。然而,你一定想不到,這一難點最終的解決方案卻來自於自然界中,甚至你的飯碗裏非常常見的牡蠣

“生蠔”通常指牡蠣家族中的成員

“骨02”竟來自於牡蠣?

早在北宋時,福建泉州工匠便巧妙運用牡蠣分泌的天然黏合劑加固跨海橋墩,以抵禦海水侵蝕。這一古老智慧被叫做“養蠣固基”,被視爲最早的生物工程實踐之一。

福建泉州的洛陽橋 | 版權圖庫

浙大邵逸夫醫院範順武教授、林賢豐副主任醫師團隊受這一現象的啓發,認爲模仿牡蠣在潮溼海浪中牢固粘附礁石的原理,有機會研發出可在血液環境中使用的骨黏合材料。

在經過50多種配方迭代、數百次測試和大量實驗後,他們最終攻克了一系列技術難題。今年9月,一款“骨膠水”重磅亮相。源於我們常用的萬能502膠水,它得到了“骨02”這個有趣的名字。

“骨02”是一種能夠在血液浸潤環境中快速黏合骨折塊的生物材料,它在2-3分鐘就能完成碎骨固定,操作簡便高效,能大幅提升手術效率。更重要的是,它的材料可生物降解,約6個月後就能隨骨癒合吸收,避免了二次手術的進行。

“骨02”黏合骨頭的過程 | 來源:邵逸夫醫院

它有着三重複合結構:

1.快速反應層:像“智能生物膠水”,粉液相遇3秒內變稠,注射時保持液態,遇到血液即刻凝固;

2.力學增強層:納米級骨礦物質(羥基磷灰石)與天然蛋白多糖網絡緊密交織,使材料抗壓、抗剪切;

3.生物活性層:負載骨形態發生蛋白,刺激成骨細胞分化,加速骨癒合。

“骨膠水”真的黏得牢嗎?

那麼“骨02”真的黏得牢嗎?會不會很快失去黏性?

請放心,“骨02”在研究中表現出高粘附性、高機械強度和成骨活性,以實現即時且可持續的固定。實驗數據顯示,它的最大黏合拉力可達400多斤,能替代許多金屬內固定物。

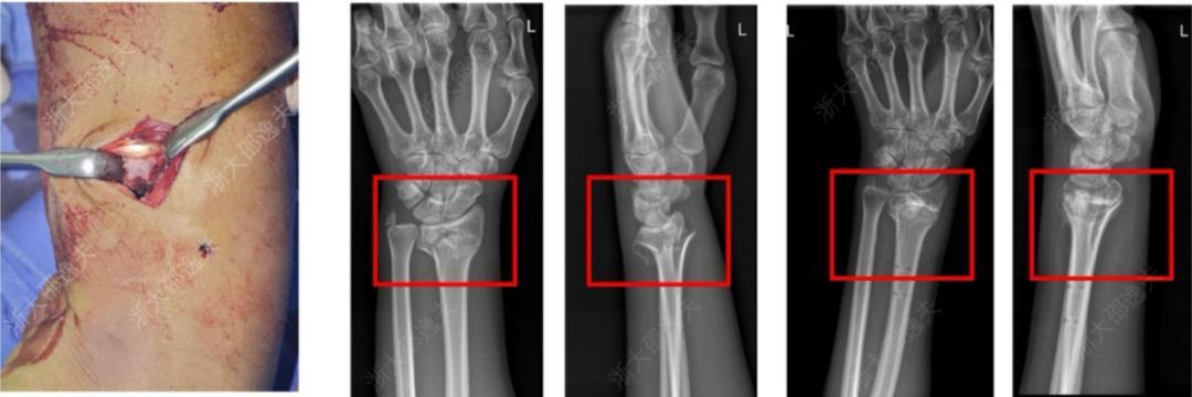
它在多家醫院150餘例受試病例中展現出了良好的安全性和有效性,各項指標達到預設標準。其中一位年輕工人因外傷致腕部粉碎性骨折,爲避免傳統的鋼板內固定手術方案,醫生通過一個2-3釐米的微創切口注入了“骨02”,便黏合了碎骨。術後複查顯示,患者骨折癒合良好,手腕功能得以恢復。

來源:見水印

不過,儘管“骨02”在已開展的150餘例臨牀研究中表現出色,但仍需需經過長期、大量的臨牀驗證才能廣泛應用。作爲一種新型生物材料,我們應全面考慮它可能存在的潛在風險:

1.生物相容性風險:“骨02”或其中的某些成分,可能引發少數個體的過敏或免疫排斥反應,導致嚴重後果;

2.栓塞風險:部分“骨02”材料在手術中可能進入血管,存在引發血管栓塞的風險;

3.熱損傷風險:“骨02”的固化過程如果產生熱量,可能會引發黏合處周圍重要神經血管的熱損傷。

此外,它在不同年齡患者中的表現、對於特殊骨折的固定效果,仍需更多研究數據支持。也許在不久的將來,“骨02”就會成爲治療骨折的一種常見手段。

從“鋼板螺釘”到“生物黏合”,骨科治療正迎來全新模式。除了“骨02”外,還有很多研究團隊也在進行探索。華東理工大學研究團隊在今年發表的論文中還介紹了一種受海膽啓發的均質“硬-軟”雙相骨粘合劑,其臨牀前數據也比較優異[2]。

海膽:我也能幫着治療骨折啦?丨版權圖庫

這些新材料的湧現,標誌着骨折治療從機械固定邁向仿生修復的重要一步。或許在未來某天,骨折真的只需要“打一針”就能治癒了!

參考文獻

[1]Sala-Pujals A, Portes Chiva A, Chillon Soria J, Valverde Vilamala D, Dominguez Font E, Pardo Pol A. Immobilization Time for Conservative Treatment of Distal Radial Fractures in Elderly Patients: A Randomized Controlled Trial. J Bone Joint Surg Am. 2025 Jun 5;107(14):1628-1635. doi: 10.2106/JBJS.24.01480. PMID: 40472139.

[2]Zhou C, Liu C, Sha D, Sun L, Liu C, Yuan Y. Homogeneous "Hard-Soft" Biphasic Bone Adhesives Promote Comminuted Fracture Healing through Interfacial Adaptation and Mechanical Property Maintenance. Adv Mater. 2025 Aug;37(34):e2502598. doi: 10.1002/adma.202502598. Epub 2025 Jun 13. PMID: 40511692.

作者:葛碩 上海中醫藥大學附屬普陀醫院骨科住院醫師

編輯:一星期

本文經授權轉載自 上海科技館ID:sstm01

相關推薦
請使用下列任何一種瀏覽器瀏覽以達至最佳的用戶體驗:Google Chrome、Mozilla Firefox、Microsoft Edge 或 Safari。為避免使用網頁時發生問題,請確保你的網頁瀏覽器已更新至最新版本。
Scroll to Top