真的,千萬別飯後立馬用衝牙器……

來源: 更新:

把牙齒刷乾淨這件事,大家真的做到了嗎?

每年我都要因爲牙齦發炎、齲齒的問題不得不去看牙醫,躺在椅子上聽那恐怖入骨髓的“滋滋電鑽聲”,聞着電鑽磨牙的糊香味,還要被牙醫狠狠教訓:

但是我真的委屈,每天都認真刷牙二三次,還會用牙線,可牙齒依然髒髒的不乾淨!

殘留的牙菌斑

日積月累形成的牙結石

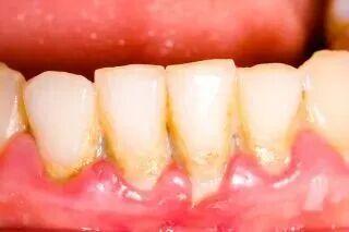
你可以看看自己的牙齒,靠近牙根位置是不是都很黃?用舌頭舔一圈裏側會不會感覺到很粗糙?

它是一個由無數細菌組成的“生物膜”,像一層黏糊糊的薄膜一樣,牢牢地粘在我們的牙齒表面和牙縫裏。細菌會迅速繁殖,併產生酸性物質。

刷牙是無法清潔到牙縫窩溝等犄角旮旯的。這裏牙菌斑積累,刺激牙齦,導致牙齒問題頻出,隨後鈣化成堅硬的牙結石,並深入到牙周組織,破壞支撐牙齒的牙槽骨,嚴重可導致牙齒鬆動、脫落!

清潔牙齒,僅用牙線可不行!

我們常用的牙線可以清潔出肉眼可見的食物殘渣,但是牙菌斑、軟垢、細小黏膩的食物碎屑,卻是牙線+刷牙無法都清潔的。

刷不乾淨,這是牙齒結構的問題:我們的牙齒和牙齦之間並不是緊緊的貼合,而是有一個縫隙,是牙線和牙刷清潔不到位的。

清潔不足,牙周問題依舊愈演愈烈。看牙醫價格貴,這痠痛想想也得倒吸好幾口冷氣了。

所以不是我們偷懶,而是還少了一步來洗去牙齒的髒東西,那就是用——衝牙器!

@果殼市集實拍

衝牙器是幫我們沖洗牙縫的專業工具,可以沖洗到牙縫、牙齦溝縫隙!

市面上衝牙器很多,但是真用起來各有各的問題。

有的衝不乾淨,有的力度太大沖得牙齒出血,牙齒敏感真的頂不住!有的用起來麻煩,縫隙對不準,到處衝到處噴水太狼狽!

一番對比後我們給大家找來一款很厲害的:

笑容加(usmile)衝牙器·C10S升級款2.0

@果殼市集實拍

10年深耕口腔健康領域,它的衝牙器已經做到了:衝力足+呵護不傷牙齦 ,兩者平衡!

@果殼市集實拍

雲瀑水流系統“注氧小氣泡水流技術”。噴出百萬微米氣泡的水流,快速爆破牙齒縫隙裏頑固殘渣!

看看這水流潔淨力,粘稠大塊的殘渣都剝掉了!

清潔前vs清潔後,效果太明顯了!

放上檢測報告給大家過目:

只需要沖洗3秒,就能有牙菌斑生物膜消除效果。基於陶瓷牙齒貼片載體清除率爲 99.075%!!!

而不再是傳統衝牙器那種又細又猛的高水壓去持續衝擊牙齒,牙齒敏感也能用!

雲爆水流算法設計,開啓後的3s時間內逐漸增強。讓牙齒和牙齦先適應水流,再提升水力。

@果殼市集實拍

首研的正姿噴頭,輔助清潔牙齦,新手閉眼盲衝都乾淨!不用在意角度,牛!

@果殼市集實拍

新升級更強大,對牙齦的舒適度和清潔力更是max!我們還帶了很給力的價格。

旗艦店要349元,而咱們今天只要299元,還額外多給:價值59元的2個標準噴頭!任意2件,還能再減20,太划算了。

價格參考日期:2025年10月7日

衝牙器自帶3個噴頭(標準+正畸+正姿),加上額外給的2個噴頭,到手一共整整5個噴頭!

要知道這個噴頭一般都是單賣的,別家給贈品都是些成本低的牙線,我們這個福利僅僅有200個,後面隨時可能會調價,所以大家一定要拼手速搶!

笑容加(usmile)衝牙器C10S升級款2.0

晴山藍/薔薇粉兩款顏色

只要299元!

額外給:價值59元的2個噴頭 到手共5個!

戳圖購買

10年好口碑的靠譜衝牙器 夠專業

市面上的衝牙器品牌太多了,很多都是貼牌貨。還有沒聽過的小廠品牌,對於口腔清潔的科學設計和專業研發往往實力不足,沒用幾次牙齒就被過強的水流衝得疼、甚至出血,一找售後,發現品牌沒了……

笑容加(usmile)專注10年口腔健康的研發,品牌名真的是耳熟能詳,衝牙器銷售額穩坐T.O.P!

每次看見這個品牌,我會覺得比較親切,因爲它不是一個普通快消品牌,而是有着很深厚的院線感:從研發之初,技術、安全性、效果都是對標着臨牀需求。

usmile衝牙器除了獲得行業內的“C”標誌許可,還作爲核心成員參與並推動了整個衝牙器行業標準的制定。獲得了ADA這個百年曆史專業牙科協會的認證!

而且讓我驚喜的是,笑容加還參與很多公益項目,被國媒點贊。

圖片來源:新聞截圖

這次2.0是笑容加的升級新款,它是從4大口腔健康實驗室裏誕生的創新型技術,相較於同類產品有它着很明顯的優勢!

@果殼市集實拍

大家可以去各大電商app看一看,它家的銷售額和好評反饋都是實打實的,而且不會一味追求水流衝力,更呵護口腔,不刺激、抑菌乾淨、上手不難用!

@果殼市集實拍

作爲講科學、愛分析原理的果殼,我們向同事發起了【衝牙器反饋徵集】,收集同事們使用的幾款口碑很好的品牌衝牙器反饋,整理彙總了一張表格,一項一項全部清楚記錄:

@果殼市集實拍

好用+便攜+技術升級+價格不貴!你會發現,usmile衝牙器能坐穩前排,是真有實力啊!

*上述參數僅供參考

清潔力足,出具檢測報告

不怕比,效果看得見!

買衝牙器首先要考察的就是清潔力合不合適!水流弱衝不出食物殘渣,過猛又會刺激牙神經和牙齦疼的眼淚直流。

“牙都沖掉了,太慘了……”

但是usmile用10年深耕口腔健康領域,它的衝牙器已經做到了:衝力足+呵護不傷牙齦,兩者平衡!

衝得乾淨又舒服,牙齒怕疼的朋友們也不怕!

@果殼市集實拍

✅脈衝頻率:夠足

衝牙器的水流衝力衡量標準,是看“水流脈衝頻率”,頻率越高衝力越大。

但是市面上很多的衝牙器,爲了節省成本,脈衝頻率往往在1100次~1300次左右。

但是usmile突破了材料和體積限制,把脈衝頻率提高到了1400次/分鐘,可以剝除牙菌斑!

雲瀑水流系統 注氧小氣泡 0死角清潔

大家在漱口的時候有沒有感覺到,如果漱口水裏有氣泡,隨着嘴巴攪動時漱口水會特別“有力量”,牙齒縫隙更乾淨!

usmile就注意到了,在手持衝牙器里加載了“注氧小氣泡水流技術”,這可不是別家隨便能做出來的,因爲這要搭載航天同源的風琴管噴嘴+機器設計,才能噴出百萬微米氣泡的水流,快速爆破牙齒縫隙裏99%的黏膩頑固殘渣!

放上檢測報告:

只需要沖洗3秒,就能有牙菌斑生物膜消除效果,基於陶瓷牙齒貼片載體清除率爲 99.075%!!!

我們也做了幾款衝牙器的實際對比測試給大家看看效果:先選擇日常入口比較容易黏在牙齒上的:醬料、奶茶粉、米飯。分別等量塗在假牙上。

我們先用幾款衝牙器的強衝力檔來沖洗20秒,在這一環節幾款衝牙器的清潔效果還是存在很明顯差距的:

依次是:潔*、笑容加(usmile)、飛*浦、倍*、拜*、*米

大家對比看看,30s內,笑容加和飛*浦的沖洗效果更好些:

其他幾款在沖洗完的時候,有明顯的大塊殘餘:

*上述測試效果僅供參考

同事使用usmile清潔後,再用牙線一顆一顆去刮,真的一點殘渣和軟垢都沒有!

@果殼市集實拍

笑容加(usmile)衝牙器C10S升級款2.0

晴山藍/薔薇粉兩款顏色

只要299元!

額外給:價值59元的2個噴頭 到手共5個!

戳圖購買

漸進式衝力 呵護牙齦

敏感牙也能用

很多朋友不敢用衝牙器,就是害怕“衝得牙齒疼”,usmile爲大家考慮到了,這次2.0的升級款根據不同場景帶來了更貼心的【四檔專業模式】。

其中有兩個模式我太愛了:

兒童模式(8歲+):水壓僅有3g左右不傷害正在發育的小牙牙!

大沖力模式:牙齒不齊、牙縫大愛塞牙的朋友們的福星來了,用這個模式直接衝出縫隙裏的殘渣肉沫(那個酸爽上頭的味道記憶猶新)!

✅標準模式:體感很舒服,從青少年、大人、老人,全家都能用!

而且usmile雲瀑水流系統通過算法設計,水流在開啓後的3s時間內逐漸增強。

讓牙齒和牙齦先適應水流,隨後以毫秒級的脈衝動力形成海浪般動態水流,而不再是傳統衝牙器那種又細又猛的高水壓去持續衝擊牙齒,減輕牙齒的不適感!

@果殼市集實拍

首研正姿噴嘴 輔助對準牙齦

0門檻新手盲衝都乾淨

考慮衝牙器的另一個關鍵指標:就是噴頭設計!

衝牙器設計不合理很難深入到每個牙縫,並且有些齒縫中的頑固殘渣也不會被衝出。

尤其是新手和小朋友們,在噴水時根本看不到是否正確對準,衝了半天全給牙齒表面“搓澡”了!衛生間到處都是噴出的水!

usmile這次爲CS10S升級款2.0設計了——正姿噴嘴!幫助大家定位牙縫,閉眼盲衝都能對準!

正姿噴嘴頭的軟硅膠就是“牙縫定位校準器”,可以和牙縫做到“如榫卯凹凸咬合一樣”,準準卡入牙縫,不再需要用眼睛或是張嘴對鏡子找!

同事用過後驚歎:巨好用!自己閉着嘴衝都能對準牙縫了!

@果殼市集實拍

usmail衝牙器自帶:1個正姿噴頭+1個正畸噴頭+1個標準噴頭。

再額外給:價值59的2個標準噴頭,到手共5個!限200份。

@果殼市集實拍

正姿噴嘴頭是食品·級軟硅膠,貼在兩顆牙齒上時,出水孔就的位置就是正對在牙縫上,能以90°水流垂直清潔,牙縫更潔淨!

@果殼市集實拍

爲了檢驗噴頭的護齦效果,我們分別使用上述的多款衝牙器,一一對紙巾進行沖洗。

根據測試,紙巾完整,破損小的,從高到底依次是:笑容加(usmile)、*米>潔*>倍*>拜*>飛*浦

*上述測試效果僅供參考

而且正畸的刷頭毛柔軟適中,很多人都在瘋狂回購usmile的噴頭,效果體驗真的不錯!

不僅能把牙縫沖洗的乾淨,而且0經驗小白也能上手,家裏的小孩子、老人都能使用。

@果殼市集實拍

今天購買還爲大家額外再給價值59元的:2個標準噴頭,到手一共5個噴頭,價格也比旗艦店便宜,限量只有200個,別錯過啦!

笑容加(usmile)衝牙器C10S升級款2.0

晴山藍/薔薇粉兩款顏色

只要299元!

額外給:價值59元的2個噴頭 到手共5個!

戳圖購買

重力球技術 上水順暢不間斷

同事的手持衝牙器很不好用,每當把手臂平放一點想探入後牙槽時,水管就不容易吸上水,水流斷斷續續的,才用了一點水量就一定要補滿水,實在是麻煩!

這是傳統衝牙器設計的通病,由於重力作用,只要姿勢傾斜一些,水箱底部總有水無法被吸乾淨,

爲此usmile在吸水軟管底部添加了重力小球,它是不鏽鋼材質加塑膠材質濾網組成,無論水箱在任何角度時,下墜的重力讓吸水軟管始終處於水面下,怎麼拿衝牙器水流都不容易間斷。

@果殼市集實拍

可拆卸水箱 24h長效抑菌 健康更衛生

衝牙器用得舒服,但是衛生和清洗太麻煩了!每次用完水箱裏難免會留一些水,要是不趕緊倒水晾乾,水箱內壁就會長滑膩膩的細菌黴菌(南方朋友都懂得)。

有一些一體式衝牙器拆不開的,那簡直就是個“大型菌落培養皿”,細菌全部被衝進牙縫裏……

不行太噁心了,我要噦了!

usmile考慮到這個問題,水箱是可拆卸的,設計簡潔,清潔沒有死角,而且全機身都是IPX7防水的,在水下直接衝都沒問題,甚至可以邊洗澡邊衝牙清潔!

@果殼市集實拍

水箱和噴頭都使用了抑菌材質,經過三方權威檢測,經過24小時的抗菌率依然是99.9%!

手掌大小,辦公通勤都能帶

長久續航更好用

衝牙器的大小隻有女同事的手掌差不多大,重量很輕拿着都不覺得累。

@果殼市集實拍

又便攜又mini,噴頭可以旋轉取下,可以放在隨身的包包裏通勤、外出遊玩時使用。

公司午飯後清潔不塞牙,聚餐後清潔保持得體形象。

超大容量電池,衝滿一次能用近90天!幾個月內都不需要頻繁充電!

usmile還把機器噪音的問題可攻克下來了,平均噪音只有57dB左右,是幾款衝牙器中超安靜的了!

*上述測試效果僅供參考

經過我們多款衝牙器同時對比測評,usmile衝牙器更好用+便攜+技術升級+價格不貴,家裏有小孩子、老人們真的很適合都購買一個!

這款C10S2.0是升級款,功能和體驗更好,對牙齦的舒適度和清潔力更是 max!旗艦店要349元,而咱們今天有低價活動+福利,只要299元,還額外多給:價值59元的2個標準噴頭!

價格參考日期:2025年10月7日

衝牙器自帶3個噴頭(標準+正畸+正姿),加上額外給的2個噴頭,到手一共整整5個噴頭!

要知道這個噴頭一般都是單賣的,別家給贈品都是些成本低的牙線,我們這個福利僅僅有200個,後面隨時可能會調價,所以大家一定要抓緊下單!

今天購買任意2件還能再減20元!

笑容加(usmile)衝牙器C10S升級款2.0

晴山藍/薔薇粉兩款顏色

只要299元!

額外給:價值59元的2個噴頭 到手共5個!

任2件再減20

戳圖購買

使用小貼士:

1-首先,如果你牙齒非常敏感,可以在水箱裏注入溫水。壓力建議從低檔開始,根據自身感受逐漸增加

2-姿勢也很重要。身體稍微前傾,靠近水槽,先把噴頭放進嘴裏,然後再開啓開關,可以避免水花四濺。讓水自然地從嘴角流出即可

3-操作時,噴頭應以90度角對準牙齦線,並沿着牙齦線緩慢移動,在牙縫間停留1-2秒。注意,不僅要清理牙齒外側,內側也要衝一遍

4-還有一點,水箱的清潔非常重要。每次用完後一定要倒掉剩餘的水,並每週認真清潔一次水箱,以避免水垢、生物膜甚至黴菌的滋生。

再次強調,水箱清潔很重要哦!

End

本期科學選品官|雅倩

策劃編輯|喵先森

內容審覈|果殼法務審覈團

果殼市集 福利來襲

-果殼電商廣告-

wscgoods/detail/27a251giv47hw6z?dc_ps=3953048877262722051.200001

優惠促銷、訂單信息、物流狀態更新時時掌握

還有超多好物等你來發現!

相關推薦
請使用下列任何一種瀏覽器瀏覽以達至最佳的用戶體驗:Google Chrome、Mozilla Firefox、Microsoft Edge 或 Safari。為避免使用網頁時發生問題,請確保你的網頁瀏覽器已更新至最新版本。
Scroll to Top