5分鐘就能“斬首”人類精子,這種藏在貓砂中的寄生蟲可能已感染全球一半人口

來源: 更新:
本文轉載自公衆號“環球科學”(id:huanqiukexue)

被斬首的精子丨Rojas-Baró et al, 2025


據說是世界上最成功的寄生蟲之一。


撰文 | 冬鳶

審校 | clefable


對許多人來說,即使是真的感染了弓形蟲Toxoplasma gondii),好似也無需擔心。因爲許多時候,這種寄生蟲貌似並不會讓人出現什麼明顯的病症。


但在上個月,一項發表於《歐洲生化聯合會會刊》(The FEBS Journal)上的新研究指出,弓形蟲感染或許與全球男性生育能力的下降息息相關。


從貓到貓


弓形蟲一般來源於貓,它們最終的目標是貓科動物。這些動物是弓形蟲的最終宿主,因爲弓形蟲只有在它們的腸道中,才能進行有性生殖,產生蟲卵。貓體內的弓形蟲卵會通過糞便被釋放到環境中,因此一切有貓的地方都有可能有弓形蟲卵——包括你家的貓砂盆。


弓形蟲的生活史丨Marín-García et al, 2022


但弓形蟲不止會感染貓。包括人類、老鼠在內的大部分哺乳動物,以及鳥類,一旦不小心接觸了環境中的弓形蟲卵(比如飲用了含弓形蟲卵的水源),都有可能被感染,併成爲弓形蟲的中間宿主。弓形蟲會在這些中間宿主體內快速無性繁殖並潛伏起來,等待着機會再次回到它們的最終宿主身上。


關於弓形蟲有許多傳說,其中最有名的便是:弓形蟲會操控老鼠的大腦,讓它們不再懼怕貓,甚至反而會被貓尿所吸引——這樣這些老鼠就更容易被貓喫掉,弓形蟲就能再次感染貓。此外,許多研究也表明,弓形蟲感染可以損害人類的大腦功能。


人感染之後


人類生存的環境中向來不缺貓,因此也向來不缺弓形蟲。有研究估算,全球可能有30%至50%的人感染了弓形蟲,在某些地區的弓形蟲感染率甚至超過了80%。許多生鮮、肉製品上面也存在弓形蟲卵,如果在沒有煮熟的情況下食用這些肉類就可能導致弓形蟲感染。


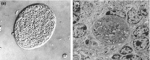
感染人體後,弓形蟲會在增殖期和潛伏期兩個階段之間互相轉換。增殖期的弓形蟲叫做“速殖子”(tachyzolte),它們會通過無性生殖,在被感染的細胞內呈指數級自我擴增。快速增殖一段時間後(大概7小時),它們會轉換爲幾乎靜止的狀態並潛伏起來,也稱爲“慢殖子”(bradyzoite)。慢殖子會聚集在一起形成包囊(cyst),終生潛伏在宿主的骨骼肌、心肌和中樞神經系統中。這些包囊有着厚厚的外壁,難以被穿透,目前沒有方法從人體內根除。在特定時期(比如宿主免疫力低下的時候),慢殖子又會重新轉變爲速殖子,並快速增殖。


弓形蟲的慢殖子包囊丨Sullivan & Jeffers, 2012


對於大多數免疫力正常的人類,感染了弓形蟲後不會出現明顯的病症。但對於免疫系統功能較弱的人來說,弓形蟲則可能引起不同程度的症狀,比如讓人出現嚴重的眼部病變或神經系統症狀。


人體內原本存在一些屏障,將人體重要部位與身體其他部分的內環境分割開來,防止病原體的入侵,但弓形蟲卻能夠跨越這些屏障。例如,它們就能跨越血胎屏障,這就是爲何如果孕婦感染了弓形蟲,可能對胎兒造成嚴重的影響,嚴重時甚至可能導致流產;它們也能跨越血腦屏障,並引起各種中樞神經病症,比如癲癇等。當然,它們也能跨越血睾屏障,對男性的生殖系統產生影響。


弓形蟲感染人類大腦丨Sullivan & Jeffers, 2012


精子殺手


此前有研究曾發現,感染了弓形蟲的大鼠,精液中能檢測到活的速殖子,而且這些大鼠能夠感染與之交配的雌性。感染弓形蟲的小鼠的精子會出現形態問題,精子數量也會減少。還有研究發現,如果通過人工授精的方式,讓母山羊接受弓形蟲陽性的精液,其血清中會檢測出了弓形蟲,這說明弓形蟲存在性傳播的可能性。


2002年針對蘇州的一項研究發現,不孕不育夫婦檢測出弓形蟲的概率高於生育能力正常的夫婦;同樣,2005年在瀋陽進行的一項研究也發現,不育的男性弓形蟲檢測呈陽性的概率更高。2021年的一項研究發現,感染了弓形蟲的男性中,86.6%的男性表現出精液異常,包括少精子症、弱精子症和畸形精子症。


而在最新的《歐洲生化聯合會會刊》論文中, 研究者首先驗證了此前的研究。他們使用弓形蟲速殖子感染小鼠,兩天後,便在小鼠睾丸和附睾中檢測到了弓形蟲的DNA,說明弓形蟲的確跨越了小鼠的血睾屏障。


隨後,研究者想直接觀察弓形蟲到底能對人類精子產生什麼樣的影響,於是開展了體外實驗。他們將弓形蟲與健康捐獻者的精子放置在一起。結果發現,僅5分鐘後,22.4%的精子就失去了頭部,彷彿被斬首了一般;而10分鐘和15分鐘後,無頭精子的數量(相比於對照組)分別增加了4倍和8倍。


弓形蟲“斬首”人類精子丨Rojas-Baró et al, 2025


在掃描電子顯微鏡下可以觀察到,精子尾部或頭部存在弓形蟲速殖子,一些精子的尾部呈現出扭曲捲起或直角的姿態。被感染的精子線粒體功能嚴重受損,一些區域的線粒體甚至完全被清除,這極大地影響了精子的活力。


許多數據表明,過去半個世紀,全球男性生育能力持續下降。從1990年到2019年,男性不育率上升了近80%。其可能原因很多,比如飲食習慣、環境污染、不良生活方式等。而這項新研究則表明弓形蟲或許也在其中扮演了一定的角色,並提供了確鑿的證據表明弓形蟲能夠入侵雄性動物的生殖器官,並能在體外影響人類精子的活性。


“無論這種寄生蟲對生育能力的潛在影響如何,避免弓形蟲感染都是明智之舉,”美國印第安納大學的微生物學和免疫學教授比爾·沙利文(Bill Sullivan,未參與該研究)在介紹這項研究的一篇文章中寫道,“請妥善照顧你的貓,及時清理貓砂盆,然後徹底洗手,這有助於減少你接觸弓形蟲的機會。你還可以通過清洗水果和蔬菜、食用前將肉類煮熟至適當溫度以及避免食用生貝類 、不乾淨的水和生牛奶來保護自己免受這種寄生蟲的侵害。”


參考文獻

[1]https://febs.onlinelibrary.wiley.com/doi/10.1111/febs.70097

[2]https://academic.oup.com/femsre/article/36/3/717/635885

[3]https://www.mdpi.com/2304-8158/11/16/2542

[4]https://theconversation.com/a-common-parasite-can-decapitate-human-sperm-with-implications-for-male-fertility-256892

[5]https://www.cdc.gov/toxoplasmosis/about/index.html

[6]https://journals.plos.org/plosone/article?id=10.1371/journal.pone.0090203

https://brieflands.com/articles/jjm-18565.html

https://pubmed.ncbi.nlm.nih.gov/12479125/

https://pubmed.ncbi.nlm.nih.gov/16078665/

https://pubmed.ncbi.nlm.nih.gov/26622295/

https://journals.plos.org/plospathogens/article?id=10.1371/journal.ppat.1012733


本文經授權轉載自環球科學(ID:huanqiukexue),如需轉載請聯繫[email protected]歡迎轉發到朋友圈。
相關推薦
請使用下列任何一種瀏覽器瀏覽以達至最佳的用戶體驗:Google Chrome、Mozilla Firefox、Microsoft Edge 或 Safari。為避免使用網頁時發生問題,請確保你的網頁瀏覽器已更新至最新版本。
Scroll to Top