脖子總是黑黑的洗不乾淨?別大意,這可能是身體在“求救”!

來源: 更新:

最近,福建福州的一則新聞引發關注,衝上了新浪熱搜。原來是一名 13 歲男孩,家人發現他的脖子總是黑黑的。原以爲是“不愛乾淨”,便反覆清洗,可脖子依舊黑。


直到前往醫院皮膚科檢查,才確診爲黑棘皮病。另外,新聞中還提到,男孩平時酷愛零食,一到夏天更是喜歡用冰飲料下飯,現在身高 1 米 73,體重高達 97.5 公斤。


圖 1. 熱搜截圖(來自微博)


究竟什麼是黑棘皮病?它又爲何會發生呢?這和孩子的飲食習慣、體重有關係嗎?今天,我們就來聊一聊這一現象。


什麼是黑棘皮病?


黑棘皮病是一種皮膚疾病,它的病名就描述了疾病的形態,特點是:


· 有色素沉着,顏色變深(灰色或者褐色),甚至發黑。


· 病變的皮膚粗糙、增厚,像棘皮一樣,仔細看的話,會有許多細小乳頭狀隆起,觸感柔軟,猶如天鵝絨一般。


· 另外,它的位置很有特徵性,特別容易出現在脖子,左右對稱。除了脖子外,還常見於腋窩、腹股溝、乳房下等皮膚褶皺處。


下面的 2 張圖片,就是黑棘皮病的“證件照”。


左滑查看更多。圖 2、3. 典型的黑棘皮病(來自參考資料)


黑棘皮病不算少見,之前美國有個數據,他們調查了 7 到 65 歲人羣,發現有 19% 的人都有這個皮膚問題。


那麼,要真是黑棘皮病,嚴重嗎?這得展開說。


黑棘皮病本身,其實不嚴重,它幾乎不疼不癢,也不影響身體健康,甚至都不需要刻意治療。


但是,得了黑棘皮病,一定要引起重視,因爲它不會是無緣無故發生的,而是可能有其他的病因。


黑棘皮病不能小視

可能是疾病甚至癌症信號


1.肥胖


黑棘皮病最常見的原因是肥胖,尤其是未成年羣體。


數據顯示,肥胖型黑棘皮病最爲常見。具體來說,有研究發現,正常體重、超重或肥胖的 7~19 歲羣體中,分別有 3%、11% 以及 51% 的人患有黑棘皮病。對於將近 200 斤的新聞當事人,妥妥的是肥胖羣體了,很容易中招黑棘皮病。


由此可見,這個熱搜的來龍去脈,我們也算是大概瞭解了:孩子因爲有肥胖,引發了皮膚的黑棘皮病;而肥胖的原因,可能是暴飲暴食(也可能還有別的原因),食物本身和黑棘皮病沒關係。


在治療方面,對於肥胖型黑棘皮病患者,最爲關鍵的就是控制體重。在醫生的指導下,合理飲食,減少高熱量、高脂肪、高糖食物的攝入,增加膳食纖維豐富的蔬菜水果以及粗糧的攝取,同時加強體育鍛煉。如果減重成功,黑棘皮病也能隨之而改善。


如果希望黑棘皮病改善效果更快,那麼可以看皮膚科醫生,再加上局部的對症治療,加速病變的消退。可能會建議外用維 A 酸類藥物(比如維 A 酸乳膏、阿達帕林凝膠),它們是是一線治療。有研究顯示,0.05%維 A 酸治 2 周後,所有黑棘皮病患者的外觀都有好轉,治療 16 周後,80%的患者病變完全消除,不過消除後還需要間歇性抹藥以防復發。


除了肥胖外,黑棘皮病還有其他的原因,也需要提高警惕。其中,就包括內分泌異常、藥物甚至癌症。


2.內分泌疾病


黑棘皮病是不少內分泌疾病在皮膚上的一種表現,雖然不是一一對應的關係,但胰島素抵抗、糖尿病、多囊卵巢綜合徵的羣體,相比普通人羣,會更容易出現黑棘皮病。


3.藥物副作用


少數黑棘皮病則是因爲用藥後的皮膚副作用。這類相關的藥物包括系統使用糖皮質激素、注射胰島素、口服避孕藥、口服煙酸、蛋白質抑制劑、阿立哌唑、睾酮等。


4.惡性黑棘皮病


更罕見但也更嚴重的是癌症相關的黑棘皮病,也叫做“惡性黑棘皮病”。這種黑棘皮病常與體內惡性腫瘤的緊密相關,比如胃癌、胰腺癌、膽管癌等多種腹部腺癌。如果是兒童羣體,出現惡性黑棘皮瘤的概率就更小了。


如果出現下面的一些表現,那就要警惕有癌症的可能:


· 黑棘皮病短期內迅速出現


· 範圍很大,不僅限於脖子等個別部位


· 甚至黏膜、手掌、腳底都出現病變


· 伴隨有不明原因的消瘦


總之,遇到身邊(或自己)有黑棘皮病的時候,千萬不能掉以輕心,它所發出的健康警示不容忽視。要做的是及時就醫評估,尋找黑棘皮病背後的原因,看是單純的胖,還是另有隱情。


這些“髒脖子”,不是黑棘皮病


上面重點聊了黑棘皮病,想必不少人會擔心自己或自家的孩子是不是也有同樣的問題。


這裏要提醒一下,除了黑棘皮病外,還有不少其他問題,也表現爲“髒脖子”(或“黑脖子”)


1.曬黑


到了夏季,紫外線強烈,外加戶外活動多,很多人容易被曬黑,脖子就是很常見的一個部位。


這是因爲,防曬的時候,脖子容易被忽視。很多人沒有給後脖子做遮擋,也不塗抹防曬霜。如果塗抹防曬霜,但塗抹得不均勻、量不夠,或者戶外活動超過 2 小時後忘記補塗,那麼也容易被曬黑。


曬黑的特點是後脖子爲主,與周圍皮膚有明顯的分界線,衣服遮擋的皮膚比較正常,沒有遮住的就比較黑;並且皮膚的質地摸起來沒有異常,不會有粗糙和增厚的表現。


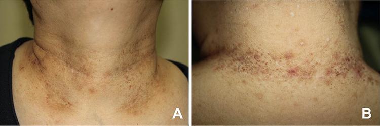
2.“髒頸徵”


有一種很常見的慢性溼疹,叫做特應性皮炎,它可能在脖子上出現一種叫做“髒頸徵”的特徵性皮膚表現。它的形成機制主要是與溼疹相關的慢性炎症和皮膚屏障功能不完善。


左滑查看更多。圖 4. “髒頸徵”(來自參考資料)


“髒頸徵”的外觀特點是脖子(尤其是前面或側面)是瀰漫性褐色或暗沉的斑片,表面可能伴有輕微粗糙或細小的皮屑。除此之外,患者皮膚本身容易有乾燥和瘙癢的表現,其他部位(比如手腕、手肘、腿彎)可能有反覆長溼疹的情況。


3.顆粒狀角化不全


這是一種偶有發生的皮膚問題,喜歡出現在腋窩、脖子等皮膚褶皺部位。某些化學物質,如衣物消毒劑中的苯扎氯銨,可能誘發顆粒狀角化不全。


c

左滑查看更多。圖 5. 顆粒狀角化不全(來自參考資料)


它的表現有多種多樣,發黑反而不是主要特點,可能會有紅斑、丘疹、斑塊、皮屑、結痂,並可能伴有瘙癢。


4.Terra firma-fome 皮病


也叫做 Duncan 污穢病,特點是沒有症狀,可以發生在是脖子、臉、腳踝、耳後等部位,外觀是黑褐色污穢樣斑片或斑塊,同樣容易被誤認爲是沒有洗乾淨。用香皂、洗手液普通清洗方法無法去除這類病變,不過有學者發現,用異丙醇擦洗則很容易去除。


左滑查看更多。圖 6. Terra firma-fome 皮病(來自參考資料)


限於篇幅,更多少見、罕見的類似疾病,比如 Hailey-Hailey 病、融合性網狀乳頭狀瘤等,在這裏就不再詳細闡述了。


總之,如果脖子變黑,不是變髒了,不是真的曬黑,那麼就要提高警惕,及時找醫生評估好治療,不要掉以輕心。



參考文獻

[1] Acanthosis nigricans (dystrophiepapillaire et pigmentaire) : définition, cause, symptômes, traitement.https://www.365information.fr/acanthosis-nigricans-dystrophie-papillaire-et-pigmentaire/

[2] UpToDate. 黑棘皮病. https://www.uptodate.com/

[3] Treesirichod A, Chaithirayanon S, Wongjitrat N, et al. The efficacy of topical 0.1% adapalene gel for use in the treatment of childhood acanthosis nigricans: a pilot study. Indian J Dermatol. 2015; 60(1):103.

[4] Ng HY. Acanthosis nigricans in obese adolescents: prevalence, impact, and management challenges. Adolesc Health Med Ther. 2016;8:1-10.

[5] Patruno C, Ferrillo M, Fabbrocini G, et al. A case of dirty neck in severe and diffuse atopic dermatitis successfully treated with dupilumab. Dermatol Ther. 2021;34(1):e14556

[6] Sriprachya-Anunt S, Rutnin S, Suchonwanit P. Granular Parakeratosis of the Eccrine Ostium: A Case Report. Clin CosmetInvestig Dermatol. 2023;16:1807-1810.

[7] Vakirlis E, Theodosiou G, Lallas A, et al. Terra firma-forme dermatosis: Differential diagnosis and response to salicylic acid therapy. Pediatr Dermatol. 2019;36(4):501-504.


策劃製作

作者丨唐教清 皮膚科主治醫師 中國科普作家協會會員

審覈丨徐敏 天津醫科大學代謝病醫院(天津醫科大學朱憲彝紀念醫院)皮膚科副主任醫師 天津市醫學會皮膚性病學分會委員

策劃丨鍾豔平

責編丨鍾豔平

審校丨徐來、張林林

相關推薦
請使用下列任何一種瀏覽器瀏覽以達至最佳的用戶體驗:Google Chrome、Mozilla Firefox、Microsoft Edge 或 Safari。為避免使用網頁時發生問題,請確保你的網頁瀏覽器已更新至最新版本。
Scroll to Top