爲什麼每個人的頭髮都有“旋”?“兩個旋”真的更聰明?

來源: 更新:

大部分人的頭髮都至少有 1 個旋,有的甚至有好幾個,老一輩還有說法:“一旋橫,二旋擰,三旋打架不要命”“旋的位置決定性格”……


你有沒有好奇過,爲什麼頭髮會有旋?爲什麼多數旋都長在頭頂靠後的位置?爲什麼有的人沒有旋,有的人卻有不止一個旋?髮旋的方向會因爲出生在南北半球而有所不同嗎?


不少科學家也好奇這些問題,所以我們來看看科學家們都有哪些發現吧!


圖庫版權圖片,轉載使用可能引發版權糾紛


頭髮的“旋”是怎麼產生的?


目前其實有很多個不完全兼容的理論試圖解釋髮旋的發生機制,其中一個古老但接受度較廣、佐證案例較多的理論是:髮旋形成於胎兒時期,由大腦發育對頭皮施加的機械張力所導致[1]


該理論解釋道:頭髮的毛旋形成時間大約在胎兒 10~16 周之間,最晚不超過 18 周。在這一階段,胎兒的大腦半球迅速發育、膨大,頭皮因此被撐開,並在頭頂後方(頭頂部和枕部交界處)形成一個圓頂狀的張力區。


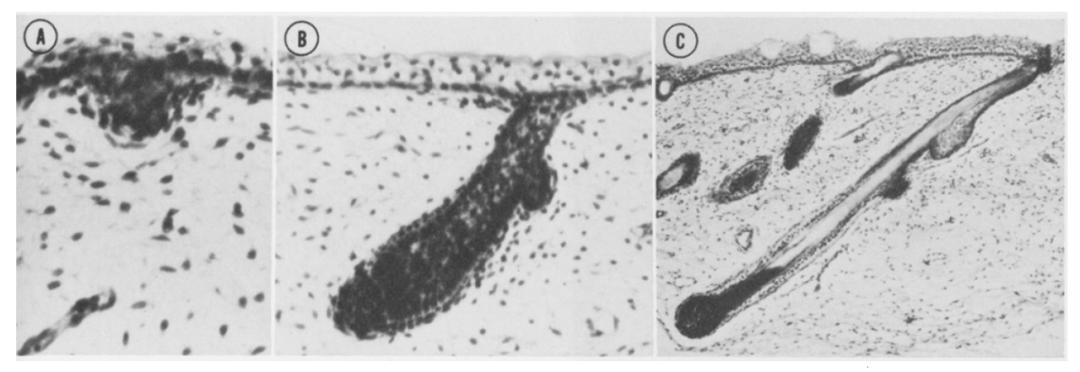
而這一階段,也恰好是頭皮毛囊向下生長的時期。當原始的毛囊在向頭皮深處探入時,頭皮恰好在像吹氣球一樣緩慢擴張,這樣一來,頭頂後方那圈張力最大的頭皮上,本該垂直生長的毛囊就被擴張的頭皮“帶歪”了(見下圖)。毛囊順着張力曲線形成了螺旋狀的規律倒伏,而頭髮生長的方向也因此發生改變,變成了終生不會再變化的“髮旋”。


胎兒頭頂後方頭皮中毛囊的發育過程。圖 A 爲 10 周,圖 B 爲 16 周,圖 C 爲 18 周。隨着毛囊的向下生長,毛囊逐漸愈加傾斜。論文作者推測這一改變由皮膚受到牽拉所導致。圖片來自參考文獻[1]


這個理論不僅解釋了髮旋的成因以及爲什麼大多數人的髮旋都位於頭頂後方,也順帶解釋了額面部的毛流規律。面部的毛髮方向總是從一些固定點向外延伸(見下圖),論文作者認爲這也是面部毛囊在生長過程中受到發育的面部組織牽拉而產生的結果。


18 周胎兒面部的毛流特徵。圖片來自參考文獻[1]


除了毛囊的組織學證據外,論文作者還用病例反向證明了大腦發育對於毛旋的影響。作者列舉了腦膨出、雙腦畸形、塔形腦症以及接近無腦畸形的嚴重小頭畸形等大腦結構顯著異常的病例,每一個病例的頭毛分佈模式也都顯著異常,且都與大腦畸形的結構改變相匹配,說明當胎兒的大腦沒能正常發育時,髮旋的形成也會因此受到影響。


由於胎兒 18 周前,顱蓋骨尚未形成,所以早期大腦正常發育但後期顱骨發育異常的兒童往往有正常的髮旋。這一現象不僅佐證了髮旋形成的時間窗,而且可以作爲時間錨點推測顱腦畸形的發生時間:如果髮旋異常,說明胎兒的大腦在18周以前就沒能發育完善;如果髮旋正常,說明胎兒的大腦早期得到了正常發育,但在後期受到了干擾。


這一理論後來也得到了其他學者的支持。1989年發佈於美國皮膚病學會雜誌《美國皮膚病學會雜誌》(Journal of The American Academy of Dermatology)上的一篇綜述[2]表達了對該理論的認可,但同時也指出,一些發育正常的兒童偶爾也會出現多個髮旋或者髮旋位置異常的情況(見下圖),無法完全用力學原理解釋,可能還和部分區域的代謝水平有關。不過,與正常人相比,髮旋異常在顱腦發育異常的人之中常見得多。說明力學理論雖不是髮旋發生的唯一原因,但一定是重要的影響因素。


圖片來自參考文獻[2]


而 2016 年的一篇論文更是直接復現了組織擴張作用於皮膚時產生的剪切力曲線[3]研究者將皮膚擴張器埋置於豬皮下,記錄了快速擴張後皮膚組織發生的形變,得到了近乎標準的黃金螺旋曲線(見下圖)。這一結果無疑爲髮旋形成的力學假說提供了生動形象的理論支持。


圖片來自參考文獻[3]


不過,就像前文說的,力學理論不能解釋所有毛旋現象。比如說,一些區域理論上不存在足夠大的皮膚張力,但仍然出現了毛旋,對此,有基於哺乳動物的研究認爲基因變異、表皮生長因子的信號傳導模式等因素或許也在毛旋的形成中發揮了作用[4]


髮旋的方向:

矛盾的研究,未解的謎團


雖然多數人都有髮旋,但大家的髮旋並不總朝着一個方向旋轉。順時針或者逆時針,哪種轉向更常見呢?髮旋的方向是隨機決定還是有跡可循呢?關於這些問題,目前的研究可以說是衆說紛紜。


兩項針對髮旋的獨立研究納入了共計 604 名白人研究對象[2],其中 97.5% 的人有單髮旋,2.5% 的人有雙髮旋。單髮旋的人之中,88.9% 的人都是順時針髮旋,只有 11.1% 的人是逆時針髮旋。


這是不是能說明多數人的髮旋以順時針爲主呢?不一定。


一項基於短髮日本人的髮旋研究[5]發現:日本人 51% 爲順時針髮旋,49% 爲逆時針髮旋。兩種方向的髮旋幾乎對半分。說明順時針並不總是髮旋優先選擇的方向。


上述的研究基於不同的人種,會不會是基因在其中起了什麼作用呢?研究日本人髮旋特徵的那位作者認爲,日本人的髮旋方向是隨機的,所以至少在日本人羣中,髮旋方向特徵不由遺傳決定。然而,也有研究找到了髮旋方向和基因的關聯性。


一項基於中國人羣的全基因組關聯研究(GWAS)發現髮旋方向是一種多基因性狀,研究者還定位了四個與之相關的基因位點[6]


一項基於雙胎兒童的研究[7]也發現,雙胞胎的髮旋優先朝同一方向旋轉。換句話說,基因一致的人髮旋也傾向於一致,這說明發旋的方向確實受基因調控。研究者們還比較了南北半球兒童髮旋方向的區別,結果發現南半球逆時針髮旋的出現頻率更高。說明除了基因外,南北半球這個環境因素也能影響髮旋的方向。這個研究還獲得了 2024 年搞笑諾貝爾獎的解剖學獎[8]


圖庫版權圖片,轉載使用可能引發版權糾紛


另外,部分人的髮旋方向並不顯著,可能會對研究結論的準確性產生干擾。在 2009 年的一項論證男性發旋方向和性取向關係的論文中,研究者先排除掉了不夠清晰的髮旋(如謝頂、髮色太淺、髮量太少或太多等)和雙髮旋照片,將剩下的清晰的單髮旋照片給兩位觀察者分別獨立判斷髮旋方向,結果仍有 4.5% 的照片讓兩位觀察者在判斷方向時給出了截然相反的結論 [9]


那麼看到這裏,你對於髮旋的方向有什麼看法或猜想嗎?



參考文獻

[1] Smith DW, Gong BT. Scalp hair patterning as a clue to early fetal brain development. J Pediatr. 1973;83(3):374-380. doi:10.1016/s0022-3476(73)80258-6

[2] Samlaska CP, James WD, Sperling LC. Scalp whorls. J Am Acad Dermatol. 1989;21(3 Pt 1):553-556. doi:10.1016/s0190-9622(89)70225-5

[3] Paul SP. Golden Spirals and Scalp Whorls: Nature''s Own Design for Rapid Expansion. PLoS One. 2016;11(9):e0162026. Published 2016 Sep 1. doi:10.1371/journal.pone.0162026

[4] Sechi A, Neri I, Patrizi A, et al. Scalp hair whorl patterns in patients affected by Neurofibromatosis Type 1: A case-control study. Int J Trichology. 2020;12(2):56-61. doi:10.4103/ijt.ijt_25_20

[5] Klar AJ. Scalp hair-whorl orientation of Japanese individuals is random; hence, the trait''s distribution is not genetically determined. Semin Cell Dev Biol. 2009;20(4):510-513. doi:10.1016/j.semcdb.2008.11.003

[6] Luo J, Huang H, Qiao H, et al. GWASs Identify Genetic Loci Associated with Human Scalp Hair Whorl Direction. J Invest Dermatol. 2023;143(10):2065-2068.e10. doi:10.1016/j.jid.2023.04.008

[7] Willems M, Hennocq Q, de Lara ST, et al. Genetic determinism and hemispheric influence in hair whorl formation. J Stomatol Oral Maxillofac Surg. 2024;125(2):101664. doi:10.1016/j.jormas.2023.101664

[8] https://paper.people.com.cn/fcyym/pad/content/202501/24/content_30056470.html

[9] Rahman Q, Clarke K, Morera T. Hair whorl direction and sexual orientation in human males. Behav Neurosci. 2009;123(2):252-256. doi:10.1037/a0014816

[10] Klar AJ. Excess of counterclockwise scalp hair-whorl rotation in homosexual men. J Genet. 2004;83(3):251-255. doi:10.1007/BF02717894

[11] https://nymag.com/news/features/33520/

[12] Jansen A, Lohmann H, Scharfe S, Sehlmeyer C, Deppe M, Knecht S. The association between scalp hair-whorl direction, handedness and hemispheric language dominance: is there a common genetic basis of lateralization?. Neuroimage. 2007;35(2):853-861. doi:10.1016/j.neuroimage.2006.12.025

[13] Çetkin M, Bayko S, Kutoğlu T. Hair Whorl Direction: The Association with Handedness, Footedness, and Eyedness. Dev Neuropsychol. 2020;45(1):17-26. doi:10.1080/87565641.2019.1700419



策劃製作

作者丨飛刀斷雨 醫學科普作者

審覈丨徐敏 天津醫科大學代謝病醫院(天津醫科大學朱憲彝紀念醫院)皮膚科副主任醫師 天津市醫學會皮膚性病學分會委員

策劃丨林林 符思佳

責編丨楊雅萍

審校丨徐來 林林

相關推薦
請使用下列任何一種瀏覽器瀏覽以達至最佳的用戶體驗:Google Chrome、Mozilla Firefox、Microsoft Edge 或 Safari。為避免使用網頁時發生問題,請確保你的網頁瀏覽器已更新至最新版本。
Scroll to Top