這些腐蝕牙齒的飲料,你可能每天都在喝!(不只有可樂)

來源: 更新:

炎炎夏日,來一瓶冰鎮可樂,那種透心涼的感覺真爽啊!如果要大家票選和夏天最配的飲品,排在前幾位的少不了它們:碳酸飲料、檸檬水、鮮榨果汁、冰紅茶、冰咖啡。


圖庫版權圖片,轉載使用可能引發版權糾紛


但需要注意的是,在暢飲這些飲品的同時,也需要關注咱們的牙齒。因爲一些飲品會在不知不覺中腐蝕牙齒堅硬的外殼,增加齲齒(蟲牙)和酸蝕症的風險


酸性飲料是如何腐蝕牙齒的?


牙釉質是牙齒的第一道防線,是牙齒表面最堅硬的外殼,它是由 95%~97%的無機物(主要是含鈣磷的羥基磷灰石)和少量水及有機物組成。


圖庫版權圖片,轉載使用可能引發版權糾紛


牙釉質脫礦就是牙齒被破壞的第一步,任何可能導致牙釉質脫礦的因素都會增加齲齒和酸蝕症的風險。


學過化學的朋友們都知道,鈣磷無機物晶體質地堅硬,耐磨耐造,但它的天敵就是酸!酸可以輕鬆溶解這些羥基磷灰石晶體,造成牙釉質表面脫礦,孔隙變大,硬度降低,導致釉質本身變薄變少,還能開闢細菌侵入的通道,增加齲壞風險。


但是咱們口腔防禦機制也不是喫素的,有一定的自我糾錯和修復功能。牙齒長期浸泡在唾液裏,唾液中含有大量的鈣磷離子(且往往濃度高於牙面),可以隨時往牙面上沉積,重新形成新的羥基磷灰石,彌補之前脫礦造成的鈣磷損失,形成動態平衡。



這個動態平衡有平衡點,就是臨界 pH 值(大約 5.5),一旦打破平衡,就會出現無法逆轉的鈣磷流失。


當口內 pH 值>5.5 時,鈣磷的沉積大於流失,釉質表面會重新修復;當口內 pH 值<5.5 時,牙面鈣磷流失速度大於再礦化速度,釉質表面會脫礦。pH 值越低,釉質脫礦和溶解的程度就會越嚴重!


釉質持續脫礦可能造成兩種結果:(1)齲病(口腔 pH4.0~4.5);(2)酸蝕症(口腔 pH2.5~4.0)。


齲病會導致牙齒形成空洞破壞,嚴重的發展爲牙髓炎和根尖周炎,引起劇烈疼痛和牙齒功能喪失;而酸蝕症則會導致整個牙齒的釉質外殼被溶解變薄,牙齒體積不斷變小,對牙本質和牙髓的保護能力降低。


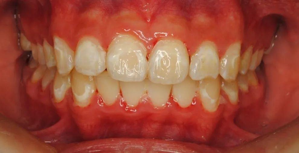
牙釉質脫礦(齲病) 來源:卓正醫療王羽醫生病例


由於牙釉質一旦損失,是不可再生的。嚴重的酸蝕症會使得整個口腔咀嚼功能下降,咬合垂直距離降低,甚至出現顳下頜關節問題等。


酸性飲料通常指 pH 值<4.5 的飲料。夏日裏大家喜歡的很多飲品,其實都屬於酸性飲料。


結合之前我們提到的臨界 pH 值(5.5),當這些飲料接觸到牙面時都會造成短暫的釉質脫礦,且 pH 值越低,脫礦越嚴重!尤其是 pH2.0~4.0 之間的酸性飲料,可以直接導致酸蝕症的出現。


另外,很多飲料除了本身是酸性以外,還添加了糖(尤其是白砂糖),這些糖容易被牙面致齲菌分解產生有機酸,進一步加重牙面脫礦,造成雙重打擊!典型的產品包括傳統碳酸飲料、添加糖的果汁飲料等。所以,長期高頻率的飲用酸性飲料是會對牙齒造成很大傷害的!


圖源:作者自制


哪種飲料對牙齒危害最大呢?


前面我們瞭解了飲料的 pH 值越低,牙面脫礦越嚴重,發生酸蝕症和齲齒的風險越高。


那麼,對牙齒危害最大的其實仍然是碳酸飲料(pH 值最低且含大量糖分),其次是各種果汁和果汁飲料,蘋果醋、冰紅茶、葡萄汁、橙汁的危害也不小。純檸檬汁雖然 pH 值也很低,但一般還是會用水稀釋,所以實際上的酸蝕作用並沒有那麼大。


另外,啤酒雖然不甜,但是它也是酸性的,大量飲用也可能危害牙釉質;鮮果汁中西瓜汁最好;咖啡,酸奶,運動飲料等是弱酸性,對牙齒影響不大。


當然,最鼓勵大家飲用的還是純淨水(或白開水)、茶(或不含糖的茶飲料)、牛奶、蘇打水等


如何飲用可以減少飲料

對牙齒的傷害?


如果確實想要享受飲料帶來的快感,我們在喝這些酸性飲料時,可以通過以下幾種方式來減少它們對牙釉質的酸蝕:


1.使用吸管飲用,減少飲料中酸與牙面的接觸;


2.降低飲用頻率,避免牙齒反覆浸泡在酸性環境內,爲唾液的鹼性緩衝和再礦化提供時間;


3.飲用後漱口(純淨水或自來水),或再喝一點純淨水或蘇打水,減少口內殘留酸性物質;


4.建議餐間或餐後 2 小時內飲用,可以搭上食物消化時口內 pH 下降的班車;儘量避免兩餐之間隨時飲用,避免睡前飲用;


5.飲用完酸性飲料後半個小時再進行刷牙,使用含氟牙膏促進再礦化


6.純鮮榨果汁可以適當添加水,降低酸的濃度再飲用;


7.喝咖啡的時候可以加入純牛奶。牛奶裏的蛋白質和鈣能“中和”咖啡裏的酸,也可以減少色素在牙面的沉着;


8.做好牙齒清潔,早晚刷牙,飯後漱口,使用牙線。這點很重要!


僅僅是飲料中的酸導致牙釉質脫礦是不會形成齲洞的,還需要後續致齲細菌的侵入,不斷代謝產生新的酸,纔會破壞牙齒結構形成齲洞。並且牙面附着的菌斑會阻擋唾液與脫礦牙面接觸,使得唾液再礦化的能力無法發揮。所以,做好牙面清潔、控制牙面菌斑纔是預防齲齒的根本。


好喝的飲料千千萬,爲了牙齒想一遍。希望閱讀了這篇文章,大家能從保護牙齒的角度,來選擇和飲用合適的飲品!


策劃製作

作者丨趙河川 卓正醫療牙科醫生

審覈丨張宇 中國疾病預防控制中心 研究員/博士 國家健康科普專家 中國醫師協會健康傳播工作委員會委員

阮光鋒 科信食品與健康信息交流中心副主任 中華預防醫學會健康傳播分會委員

策劃丨一諾

責編丨一諾

審校丨徐來、林林

相關推薦
請使用下列任何一種瀏覽器瀏覽以達至最佳的用戶體驗:Google Chrome、Mozilla Firefox、Microsoft Edge 或 Safari。為避免使用網頁時發生問題,請確保你的網頁瀏覽器已更新至最新版本。
Scroll to Top