北大“韋神”牙齒問題引關注!這種會讓牙齒掉光的病,很多人年輕時不重視

來源: 更新:

近日,北京大學數學學院教師韋東奕開通了個人賬號併發布了自我介紹的視頻。有網友注意到,視頻中韋東奕存在“牙齒缺失”的情況,引發網友關注。


北大回應,韋東奕有比較嚴重的牙周問題。對韋東奕的口腔健康情況,學校和學院一直都非常關心,此前多次派人陪同韋老師到醫院就診。醫生進行過會診,並提出了治療方案。下一步,學院和中心還將幫助他積極進行治療。


韋東奕視頻截圖


根據一項流行病學調查,35 歲~44 歲的成年人中,牙周炎的患病率超過 3 成,55 歲~64 歲的成年人中這個比例接近 8 成。


牙周炎,這個讓我們的牙齒容易脫落的“罪魁禍首”,很多人年輕的時候卻不重視,等到掉牙了再開始重視,爲時已晚。今天,我們來詳細聊聊牙周炎。


牙周和牙周炎是什麼?


“牙周”,顧名思義就是牙齒周圍的意思。牙齒長在我們的上下頜的牙槽骨中,但是僅僅如此還不夠,在牙齒和骨頭中間還有一層連接裝置,它就像一根根纜繩連接着牙齒和骨頭——我們稱之爲牙周膜,或者牙周韌帶。


在牙齒周圍,牙齦、牙周膜、牙槽骨和牙骨質,合稱爲牙周支持組織,它們的健康存在才讓我們的牙齒牢牢附着。


當這些牙槽骨、牙周膜、牙齦被感染髮生炎症的時候,就可能導致牙周炎。


那麼,牙周炎是怎麼發生的呢?跟蛀牙、牙髓炎這些病情發展會導致牙齒疼痛的病不一樣,更多的時候,牙周炎的發展開始的時候非常非常緩慢,就像溫水煮青蛙,沒有特別明顯的急性症狀,這也是很多年輕人在疾病剛剛開始的時候並不在意的原因。


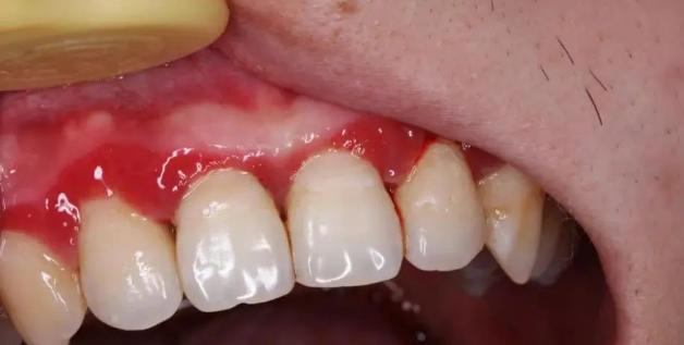
一開始出現的症狀大概率是:牙齦有點發紅、刷牙的時候有點出血,或者啃一口蘋果後發現留下了一圈血印子。


剛開始,僅僅是出現牙齦紅腫及出血,並不一定導致疼痛丨作者提供


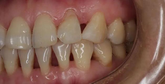
慢慢地,你不在意,牙齦只是有點退縮,然後牙齒縫慢慢顯露出來,露出難看的黑三角。


由於牙齦退縮,牙齒之間形成了黑三角,此時要治療和改善已經非常困難丨作者提供


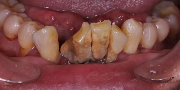
再後來(可能又過了好多年、數十年),你可能突然會覺得有幾顆牙齒有點鬆動、嚼東西已經沒那麼有力了,時不時還有鹹鹹澀澀的膿液流出來。


——這時候,有的人可能會出現疼痛,但也有的不會。


大量牙結石,導致牙齒鬆動移位丨作者提供


再再後來,牙齒不僅僅鬆動了,它們可能還開始移動位置了——牙齒和牙齒之間的縫隙越來越大。而之前鬆動的牙齒開始搖搖晃晃,有的還會出現牙齒的疼痛!


這時候再不看牙,光想着喫點藥止一下痛,其實已經無濟於事了。牙根開始暴露出來,牙齒的鬆動越來越嚴重。


直到某一天,這顆搖搖欲墜的牙齒壽終正寢,正式離開口腔,光榮殉職。


隨着牙周炎的進展,病變越來越深入牙齦深處,丨CARRANZA’SCLINICALPERIODONTOLOGY,12THEDITION


牙周炎是什麼原因引起的?


牙齦炎通常由牙菌斑誘發,僅累及牙齦組織,經治療可逆轉。一部分牙齦炎如不治療,可能會發展爲牙周炎。


所以,積極治療牙齦炎在某種程度上也可以預防牙周炎引起的牙周附着喪失和牙槽骨吸收。


牙菌斑是一種複雜而緻密的非礦化團塊,形成於牙齦線附近,齦上和齦下均可見。如果不用牙刷、牙線清潔,24 小時內即開始累積形成菌斑。


牙石則是礦化的菌斑,也是導致牙周炎發生的主要原因。當它在牙齒上“入住”之後,會吸附大量的細菌小弟,細菌們繼續爲牙結石“添磚加瓦”,長此以往刺激牙周組織,導致牙周炎、牙齦萎縮等。


此外,牙科修復體,比如填充物、冠、橋或貼面等不良(如邊緣懸突或不密合),也可能促進菌斑形成,從而增加炎症,並可能導致牙齦附着和牙槽骨丟失。


牙周炎該怎麼治?


牙周炎的治療大致分以下 5 種:


洗牙


洗牙是一種很通俗的說法,其中最主要的步驟即所謂的“齦上潔治”。現在普遍使用“超聲波”潔治工具來清潔牙齒周圍的牙結石——這些牙結石和它周圍的牙菌斑從某種意義上說正是導致牙周炎的病因。


洗牙是牙周治療最基礎的操作丨孟煥新.牙周病學(第5版).北京:人民衛生出版社.2020


此外,牙結石無時無刻不在形成,它是人類無論使用什麼清潔方法都無法阻止的。但是好在牙結石的形成沒有那麼快,也不會一形成就給我們造成不可逆轉的傷害,所以我們只要及時清除越來越多的牙結石,就可以起到預防牙周炎的作用。洗牙的頻率要根據牙結石的形成速度,通常一年左右洗一次。


刮治


牙周刮治,或者也稱作齦下刮治、根面平整,這項治療主要針對的還是牙結石。只不過這些牙結石存在的位置比較隱蔽,它們大量聚集在牙齦深處,僅僅通過前面所說的“洗牙”很難徹底清潔。


這就需要更加小巧的工具來對它們做清潔,這項治療也會相對更“疼”,一般會在局部麻醉下進行。不過,放心,只是看着疼痛,完善地麻醉後,在克服“心理上”的恐懼之後,大多數人還是可以接受的。


齦下刮治的目的是清除潛藏在牙齦深處的牙結石丨CARRANZA’SCLINICALPERIODONTOLOGY,12THEDITION


牙周手術


當局部刺激物處在更深處,單靠洗牙、刮治等基礎治療都無法解決全部問題,那我們還有辦法,這就是手術。


牙周手術有很多類型,包括切除、重建、再生、成形及美學修復。通俗點說,就是把覆蓋在牙齒周圍的牙齦剝離下來,在直視下徹底清除牙齒周圍的牙結石,最後才把牙齦縫合回去。


但是又不是簡單地縫合回去,因爲我們要保證未來這個位置可以更容易被清潔,不利於新的牙結石過多堆積,並且也要有美觀的意識。


藥物


其實藥物治療牙周炎並不是首要的治療方案,諸如甲硝唑、奧硝唑一類的抗菌藥物在急性期炎症的治療中起到輔助作用,但是僅僅只是對抗緩解一下急性炎症。然而許多缺乏口腔衛生知識的人,往往把喫藥當作首選項。


另外,藥物在牙周炎治療中的作用,經常不是喫的——漱口是常見的藥物使用方法,另外一種則是把藥物塞在牙齒周圍的溝裏,局部發揮抗菌作用。


調磨、固定和拔牙


牙周炎經常伴隨着牙齒的鬆動、移位,而移位的牙齒也會造成咬合關係的紊亂,更容易加重牙周炎的症狀。因此,醫生也會對於移位的牙齒進行調磨,最後,對於那些因爲牙周炎而鬆動的牙齒,可以考慮使用牙周夾板進行固定;但也有一些實在留不住的牙齒(看上去一碰就掉的那種),就拔掉吧——沒錯,拔牙也是一種“治療”!


拔掉之後還可以通過鑲假牙(活動的或者固定的)、種植牙等方式來補齊缺失的位置;而勉強留着不拔,反而會讓旁邊的牙齒受傷,長痛不如短痛。


最後,還要強調的是,牙周系統治療之後,做好自我口腔保健和定期複查也同樣重要。


保護牙周,預防牙周疾病

和保護牙齒一樣重要!


老生常談:刷牙和牙線的使用永遠都比醫生的“治療”管用!


爲了預防牙周炎的發生,也爲了挽救鬆動的牙齒,最好的預防就是做好平時的口腔衛生工作,其中最重要的就只有兩件事:刷牙和使用牙線或牙間隙刷。


每天兩次有效刷牙(使用巴氏刷牙法,每次至少刷 2 分鐘以上)、至少一次使用牙線清潔每一個牙縫。看上去簡簡單單兩個動作,做起來其實很“費時”,所以真正能夠完美完成任務的卻少之又少,這也就是我們依然有着大量的牙周炎病人的原因。


圖源:圖蟲創意


如果很不幸,你已經是牙周炎的患者了,或者因爲牙周炎已經出現了比較寬大的牙縫,這時候光用牙線清理牙齒縫隙可能效率比較低,動用牙鄰間刷或者也叫牙縫刷,都可以大大增加清潔效率。


如果說一年來自己還沒有去洗過牙,那作爲牙醫現在就給你一個建議,不如現在就出發,找到最近的口腔醫院或者牙科診所,給自己來一次徹底的口腔檢查吧!


策劃製作

作者丨何劍亮 浙江大學醫學院附屬第二醫院 綜合牙科 主治醫師

審覈丨王文輝 北京大學口腔醫院 預防科 主任醫師

策劃丨林林

責編丨一諾

審校丨徐來

本文經授權轉載自科普中國ID:Science_China

相關推薦
請使用下列任何一種瀏覽器瀏覽以達至最佳的用戶體驗:Google Chrome、Mozilla Firefox、Microsoft Edge 或 Safari。為避免使用網頁時發生問題,請確保你的網頁瀏覽器已更新至最新版本。
Scroll to Top