“中學生一週沒排便”引網友熱議!長期憋着不排便竟然會…...

來源: 更新:

最近,一則關於“學生因長期便祕暈倒送醫”的新聞引起廣泛關注。據報道,山東某縣中學高二女生喬某,因學校廁所有限、羞於如廁,連續 7 天未排便,最終不得不就醫[1]


圖源:某社交平臺


這條新聞引起了一系列討論。其中,不少網友非常擔心:這樣的情況會不會對當事學生的健康產生傷害,一旦形成傷害該怎麼辦?那麼,如果長期不排便,身體到底會發生什麼呢?今天就來詳細聊聊。


總是壓抑排便,

身體會發生什麼變化?


對很多人來說,“憋一會兒再去”是常態,尤其在學校、辦公室、車站等公共場所。有時候是因爲廁所不乾淨,有時候是時間不允許,還有些人則是“不敢、不想、不願意”上公共廁所。


孩子的情況也不容樂觀。一項關注排便障礙機制的病例對照研究指出, 40%~50% 存在功能性便祕的兒童,曾出現“迴避排便”的行爲習慣,其中約三分之一甚至會持續到成年[2]


排便是一種複雜的反射行爲,由“直腸充盈—產生便意—括約肌協調—排出”的完整生理鏈條完成的。但如果便意被一次次反覆“中斷”或“壓抑”,不僅僅可能帶來短暫的不適,這套機制也可能會慢慢變得“不靈”。


研究發現,長期便祕會導致“直腸敏感性降低”——即使直腸內已被糞便充盈,也無法準確地產生便意。一篇由多國學者聯合撰寫的專家共識性綜述指出,這種現象在便祕患者中並不罕見,約有 23%的成人便祕患者和多達三分之二的兒童便祕患者存在直腸感覺障礙。[3]


而在兒童和青少年羣體中,神經和行爲系統尚未發育完全,更容易受到外界環境影響,出現“明明該排了卻沒有感覺”的生理性麻木。這種“遲鈍”一旦形成,就容易陷入“感覺不到—不排便—進一步敏感性下降”的惡性循環,發展爲功能性便祕。[2]


一篇結合基礎研究與臨牀實踐指南撰寫的權威綜述性論文,總結了慢性便祕並不僅僅是“不通暢”那麼簡單,還可能伴隨腹脹、腹痛、排便費力、肛裂、肛門疼痛等一系列綜合症狀,嚴重時影響學習、生活和心理狀態。[4]


圖庫版權圖片,轉載使用可能引發版權糾紛


長期“堆着不排”,

身體真的會“出事”!


我們已經說過,排便不是一件可以隨意“延後”的事,一旦開始“堆着不排”,身體可不只是“有點不舒服”,而是真的可能出大事。


一個嚴重後果是糞便嵌塞,也就是大量糞便長期堆積在結直腸中,形成硬塊,堵住通道,不但導致腹脹、腹痛,還會讓新進入腸道的糞便無法排出,甚至需要專業的藥物或手術來清除。


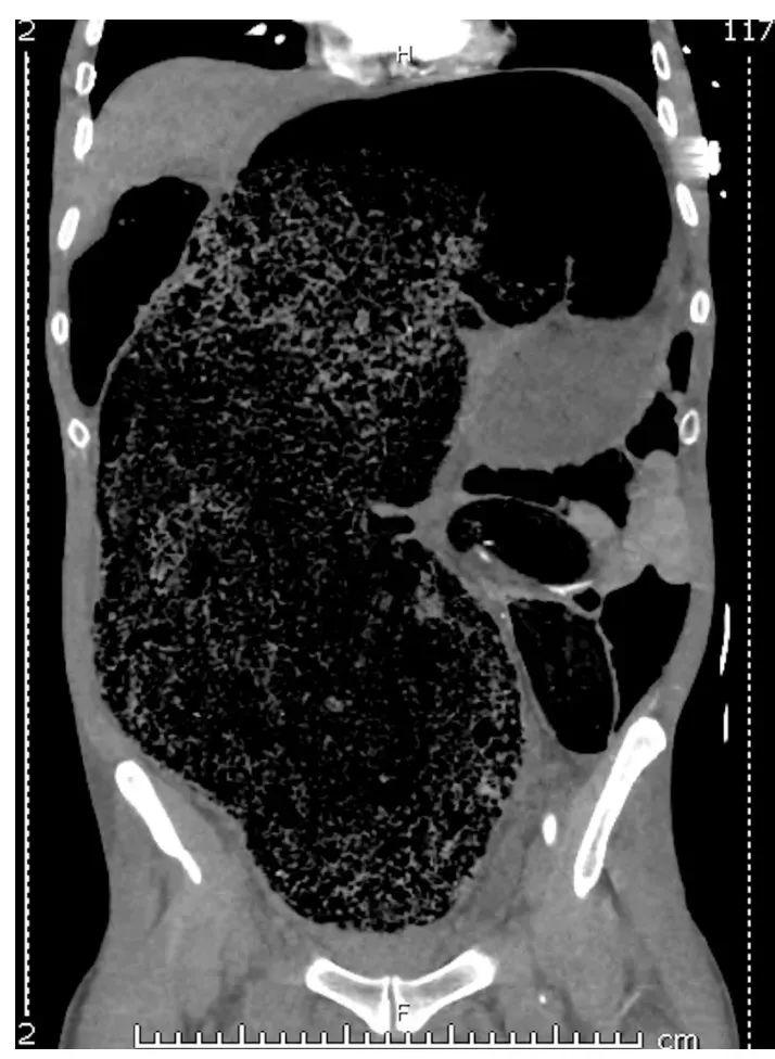
《BMJ 病例報告》曾報道一例 57 歲男性患者因糞便嵌塞引發腹腔間隔室綜合徵和雙下肢急性缺血,最終不得不截肢。[5]這類極端案例雖極爲罕見,但也說明:身體真的可能“被憋壞”。


患者因糞便嵌塞導致的腹部膨脹、血流壓迫與急性下肢缺血情況。來源:參考資料[5]


不僅是老人,小孩同樣可能因“憋便”導致嚴重後果。特別是在兒童中,大量排便被忽視後,會導致結直腸過度擴張,形成“巨結腸”,久而久之,腸道會失去原本的緊張性和蠕動能力,進一步導致便祕惡化,最終可能出現大便失禁。這不僅影響身體健康,更打擊孩子的自尊心,甚至改變親子關係。


一篇發表於《阿曼醫學雜誌》的功能性便祕與大便失禁聯合診治綜述性論文指出,慢性便祕合併大便失禁約佔兒科門診轉診的 3%,而這些孩子中大多數其實沒有器質性疾病,問題恰恰來自功能性障礙和排便行爲紊亂。[6]


再者,長期便祕還與多種併發症相關。例如,一篇結合影像學、藥物治療和外科干預的多維度干預綜述論文指出,糞便長期滯留可能引發腸炎、痔瘡、肛裂,還可能與闌尾炎等疾病相關,其中部分病例最後不得不通過手術治療。[7]


這也提醒我們,便祕並不是“拖一拖就過去了”的小事。堆着不排,不只是生活上的不便,更可能一步步推向身體的“臨界點”。而這些問題的出現,並不是單純靠意志力就能扛過去的。


便祕不是忍出來的,

更不是不治之症!


現實中,很多人覺得便祕是“忍忍就過去”的事,也有些人羞於就醫,拖延成了“長期陪跑”的慢性病。


但便祕並不是一種單一成因的疾病,而是一種綜合徵。它可能來自飲食結構、運動不足,也可能是盆底肌功能異常、腸神經調節失衡、藥物副作用等生理或病理問題。[4]而在兒童中,心理因素和排便訓練不當則是主要誘因之一。[3]


好消息是,無論是哪種類型的便祕,只要儘早識別並對症處理,大多數都可以被緩解甚至逆轉。臨牀治療上,醫生會根據症狀嚴重程度和成因選擇不同方案,包括調節飲食結構(高纖維、足量飲水)、建立規律排便習慣、行爲訓練、生物反饋治療,甚至使用瀉劑、軟便劑或其他藥物輔助治療。[4]


最重要的是,別再靠“憋”來撐。發現排便異常,要主動就醫,別讓身體的問題變成心理的負擔。


圖庫版權圖片,轉載使用可能引發版權糾紛



參考文獻

[1] 南方週末. 便祕的中學生,和被忽視的如廁自由. 2025-05-22.

[2] Rajindrajith S, Devanarayana NM, Benninga MA. Childhood constipation: Current status, challenges, and future perspectives. World J Clin Pediatr. 2022;11(5):385-404.

[3] Burgell RE, Scott SM. Rectal hyposensitivity. J Neurogastroenterol Motil. 2012;18(4):373-84.

[4] Bharucha AE, Lacy BE. Mechanisms, Evaluation, and Management of Chronic Constipation. Gastroenterology. 2020;158(5):1232-1249.e3

[5] Ho S, Krawitz R, Fleming B. Massive faecal impaction leading to abdominal compartment syndrome and acute lower limb ischaemia. BMJ Case Rep. 2018;2018:bcr2018225202.

[6] Ali SR, Ahmed S, Qadir M, et al. Fecal incontinence and constipation in children: a clinical conundrum. Oman Med J. 2011;26(5):376-8.

[7] Raahave D. Faecal retention: a common cause in functional bowel disorders, appendicitis and haemorrhoids--with medical and surgical therapy. Dan Med J. 2015;62(3):B5031.

[8] Peng X, Li J, Wu Y, et al. Association of Stool Frequency and Consistency with the Risk of All-Cause and Cause-Specific Mortality among U.S. Adults: Results from NHANES 2005-2010. Healthcare (Basel). 2022;11(1):29.


策劃製作

作者丨蔣永源 第三軍醫大學內科碩士

審覈丨孫軼飛 河北醫科大學醫學教育史研究室主任 中華醫學會醫史分會委員

策劃丨林林

責編丨林林、一諾

審校丨徐來

相關推薦
請使用下列任何一種瀏覽器瀏覽以達至最佳的用戶體驗:Google Chrome、Mozilla Firefox、Microsoft Edge 或 Safari。為避免使用網頁時發生問題,請確保你的網頁瀏覽器已更新至最新版本。
Scroll to Top