每天用2次定妝噴霧,22歲女子肺里長滿陰影,醫生提醒:噴霧類產品不要這麼用!

來源: 更新:

近日

浙江杭州22歲的主播小江(化名)

因爲需要長時間直播帶貨

保持精緻持久的妝容

故每天兩次使用定妝噴霧

在堅持了近半年後

竟然因此住進了醫院...

22歲主播天天噴定妝噴霧不幸患肺炎

據介紹,小江就診時高燒超過40℃,血常規檢查顯示白細胞、中性粒細胞、CRP(C-反應蛋白)均明顯升高,嗜酸性粒細胞也顯著偏高。

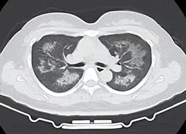
胸部CT進一步顯示,她的雙肺出現多發斑片狀模糊影,被診斷爲間質性肺炎。醫生判斷,病因很可能與她近期長期接觸的某類物質相關。經過反覆細緻地詢問病史,小江才說出自己長期、頻繁使用定妝噴霧的習慣。

揮發性化學成分可能誘發不良反應

醫生提醒,定妝噴霧中含有大量揮發性化學成分,這些物質被吸入後可直接作用於肺部細胞,造成細胞損傷。

臨牀上,輕症患者可能只出現咳嗽、咳痰、喘息等症狀;若易感人羣短期內大量吸入這類致敏性物質,就可能誘發過敏性肺炎,嚴重時甚至發展爲呼吸衰竭,必須高度重視。

小江所患的正是這種疾病。幸好在接受治療三天後,小江的血常規指標恢復正常,肺部炎症也快速吸收。

相關話題迅速登上微博熱搜

引發網友熱議

不少網友感到害怕

自己平常也有用噴霧的習慣

有網友表示自己也是

因爲使用噴霧導致肺部出現問題

有網友表示

每次使用噴霧都會憋氣

其實,不止定妝噴霧,醫生提醒:殺蟲劑、空氣清新劑等各類化學噴霧製劑,使用時都可能讓人體不慎吸入含揮發性有機物。

本身患有慢性蕁麻疹、過敏性鼻炎等過敏性基礎病的人羣,應儘量避免使用化學噴霧類產品。在使用過程中的皮膚黏膜接觸、微粒吸入肺部,都可能引發嚴重過敏反應,甚至導致呼吸困難、危及生命。

如果確實需要使用噴霧類產品

專家建議

⬇️⬇️⬇️

  • 儘量在開闊、通風良好的環境操作;

  • 避免對臉直噴,可先噴在美妝蛋或刷具上再上臉;

  • 氣霧瓶應遠離熱源,避免摔打碰撞;

  • 使用後如出現持續咳嗽、胸悶、發熱等不適,應及時就醫並告知醫生近期噴霧接觸史。

來源丨新聞坊、浙江醫院、大象新聞、網友評論編輯丨吳澤斌

相關推薦
請使用下列任何一種瀏覽器瀏覽以達至最佳的用戶體驗:Google Chrome、Mozilla Firefox、Microsoft Edge 或 Safari。為避免使用網頁時發生問題,請確保你的網頁瀏覽器已更新至最新版本。
Scroll to Top