冬天也能“中暑”?警惕“冬季熱射病”→

來源: 更新:

寒冷的冬天

泡個溫泉、蒸個桑拿

舒適度直接拉滿

但你知道嗎?

在溫泉池、汗蒸房、暖氣房等

溫暖密閉環境內

人體可能因散熱障礙

出現中暑症狀

嚴重時甚至會發展爲熱射病

泡溫泉突然昏迷?

熱射病並非“夏季專屬”

“我接診過冬天泡溫泉後昏迷就醫的熱射病患者。”近日,福建中醫藥大學附屬第三人民醫院急診科副主任吳文思在接受採訪時介紹,該患者在溫泉池中長時間浸泡,出現頭暈、乏力直至昏迷,經診斷正是熱射病

吳文思查看患者情況。

冬季爲何也會得熱射病?

熱射病是人體在高溫、高溼環境下,因體溫調節功能失衡,產熱大於散熱,導致核心溫度迅速升高(通常超過40℃),並伴有譫妄、抽搐、昏迷等意識障礙及多器官功能損傷的致命性疾病。

不少人以爲這種病只會在夏季戶外勞作的人羣中出現,但事實並非如此。

“熱射病的本質是身體產生的熱量,遠遠超過了它能散發的熱量,導致熱量在體內蓄積,與季節無絕對關係。”吳文思解釋,“冬天雖然室外環境溫度低,但在一些特殊情況下,人體的產熱和散熱平衡同樣會被打破,尤其是當‘散熱’這個關鍵環節出現嚴重障礙時。”來看一個案例。

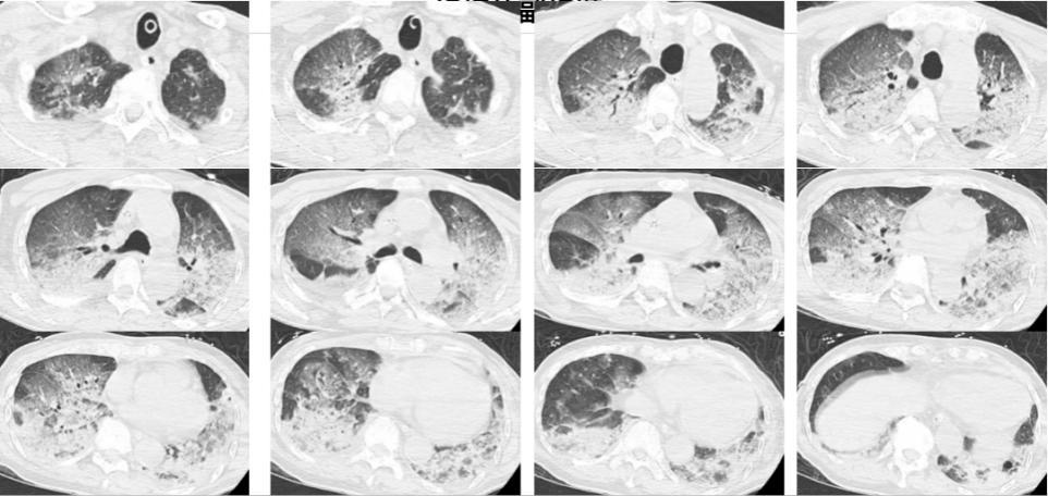
雙肺全白!竟是蒸桑拿惹的禍

2024年12月,浙江杭州,酷愛蒸桑拿的韓爺爺(化名)於午飯後前往洗浴中心。不料剛進去沒多久,整個人就昏了過去並口吐白沫,周圍人幫忙撥打了120,將他送入醫院。

入院時,韓爺爺意識不清,血壓、心率下降,醫生隨即爲他安排頭顱、胸部CT和肺血管CTA檢查,結果顯示,老人的雙肺出現大面積白色影像。經會診,韓爺爺被確診爲熱射病誘發的肺水腫。

冬季熱射病容易盯上誰?

那麼,冬季在什麼情況下易誘發熱射病?哪些人羣又需格外警惕?

兩大風險場景

密閉的暖氣房、溫泉池或汗蒸室:冬季室內供暖後,尤其是北方地區,室溫常維持在25℃以上。若長時間處於這種溫暖、乾燥且不通風的環境中,體溫調節能力較弱、對溫度不敏感人羣可能在無意識狀態下脫水,進而引發隱性體溫升高。

穿着過於緊身衣服高強度運動:冬季進行劇烈運動(如馬拉松、高強度健身房訓練)時,人體產生的熱量會劇增。若穿着過於厚重、透氣性差的衣物,汗水無法蒸發,在體表形成“保溫層”,會嚴重阻礙散熱。運動結束後,若未能及時擦乾汗水、更換乾爽衣物,且繼續停留在溫度較高的室內,患病風險同樣會顯著上升。

三類高危人羣

  • 部分 老年人因身體機能衰退,對高溫及口渴的感知能力顯著下降;
  • 部分 神經系統疾病患者(如帕金森病、腦卒中後遺症),其體溫調節中樞受損;
  • 長期 服用特定藥物(如抗膽鹼能藥物、利尿劑、精神類藥物)人羣,排汗和體溫調節功能會受到影響。

即便在看似舒適的室溫下久坐、睡眠,上述人羣也可能不知不覺中出現體內熱量蓄積的情況。

不慎“中招”怎麼辦?

可通過三步緊急處理方法來解決:

脫離環境

迅速讓患者脫離高溫、高溼環境,將其轉移至通風陰涼處

持續降溫

持續對患者採取降溫措施,如冷水擦拭皮膚、冰敷等。

防止誤吸

當患者陷入昏迷,應將其頭偏向一側,保持呼吸道通暢,及時清除氣道內分泌物,防止誤吸。

熱射病是體內熱量“暴動”

冬季的“暖”也可能悄然致病

再次提醒

防範熱射病

應打破季節思維定式

若冬季出現不明原因高熱、昏迷

應警惕熱射病風險

來源丨國家應急廣播、央視新聞

編輯丨吳澤斌

相關推薦
請使用下列任何一種瀏覽器瀏覽以達至最佳的用戶體驗:Google Chrome、Mozilla Firefox、Microsoft Edge 或 Safari。為避免使用網頁時發生問題,請確保你的網頁瀏覽器已更新至最新版本。
Scroll to Top