一個人能記住多少個人的臉?這個數字賭你猜不到

來源: 更新:

你能記住多少張臉?

研究發現,人類平均能記住約 5000 張面孔(波動範圍約爲1000~10000),這一能力在自然界中無可比擬。

而大多數動物識別同類主要依賴氣味或聲音,而不是臉。一些高度社會化的家畜,比如綿羊,在經過特殊訓練後能記住大約 50 張羊臉,僅有人類的百分之一。

除了人類以外的其他靈長類,識臉能力在動物界也屬於佼佼者,但數量多在數十到上百張之間,目前仍缺乏確切的上限數據。

爲什麼人類擁有如此出衆的“認臉”能力呢?

圖庫版權圖片,轉載使用可能引發版權糾紛

人類擁有與生俱來的

“認臉系統”

這是因爲人腦中存在一套專門“認臉”的系統。

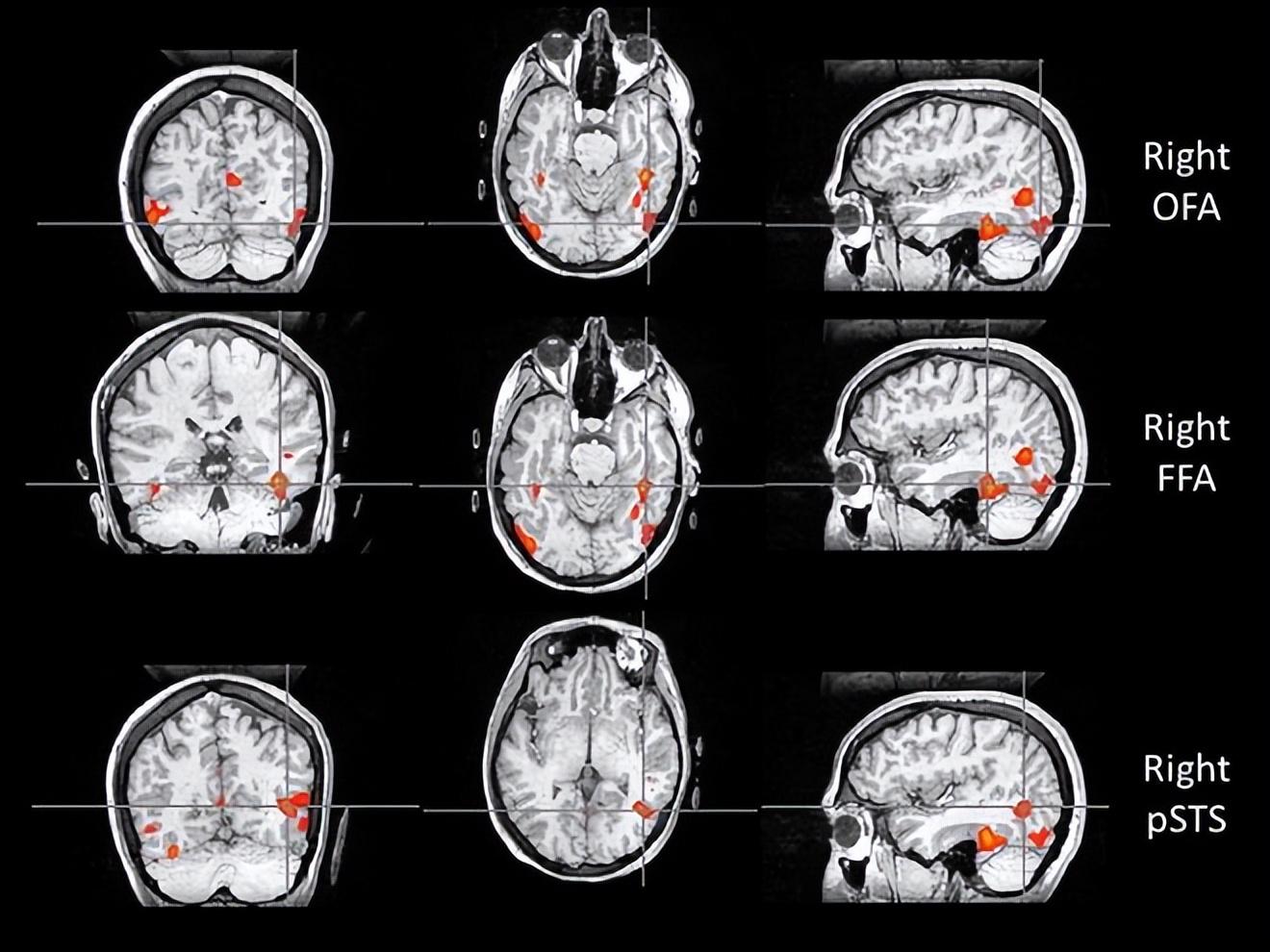
二十多年前,麻省理工學院的神經科學家 Nancy Kanwisher 發現,大腦顳葉中的梭狀回面孔區(fusiform face area,FFA)對人臉的反應遠強於其他物體,是識別面孔的核心區域。

那麼,這個腦區對人臉的反應是經過後天訓練發展而來的,還是大腦中先天固有的結構?

爲了回答這個問題,Kanwisher 讓先天失明的受試者在 fMRI 掃描中觸摸 3D 打印的人臉模型,並與觸摸椅子、手或迷宮等物體的反應進行比較。結果發現,先天失明者的大腦 FFA 依舊會對“人臉”表現出特定的激活。

這就說明 FFA 對面孔的識別並不完全依賴學習,而是大腦與生俱來的能力!更有意思的是,FFA 並不是大腦中唯一用來“認臉”的腦區。研究陸續發現,人腦對面孔的識別其實需要一整套系統的協同參與。

比如,位於枕葉的枕葉面孔區(Occipital Face Area, OFA),就像識臉網絡的“先鋒部隊”。它專門處理眼睛、鼻子和嘴巴等五官“零部件”。當一張臉出現在我們眼前時,OFA 只需 約 100 毫秒 就能被激活,迅速對局部特徵進行拆解,並將信息傳遞給 FFA 和上顳溝(Superior Temporal Sulcus, STS)。所以如果 OFA 出現問題,識別人臉就會變的很困難。

如果說 OFA 的作用是拆解五官,那麼 STS 則更像是一個“動態解碼器”。它對靜態的面孔特徵興趣不大,卻對動態特徵極爲敏感,尤其擅長捕捉一顰一笑、眼神轉動、嘴脣開合等細微變化。

正因爲有 STS 的參與,我們不僅能認出“這是誰”,還能理解“他在表達什麼情緒”“注意力投向哪裏”,甚至在一定程度上推測對方的意圖。STS 的參與也解釋了爲什麼比起靜態照片,在現實生活或視頻中,我們更容易認出熟人。

與認臉有關的三個核心腦區,自上而下依次爲:OFA(枕葉面孔區)、FFA(梭狀回面孔區),以及 STS(上顳溝)。圖片來源:doi: 10.1007/s00221-011-2579-1

除了以上三個腦區,杏仁核(amygdala)也深度參與到面孔識別中,扮演”情緒雷達“的作用,可以精準的識別出臉上的“憤怒”“厭惡”“喜悅”等顯著情緒。

最後,所有信息會在前額葉皮層(Prefrontal Cortex, PFC)彙總,爲這張臉附加上”身份標籤與社會評價,比如是否值得合作,是否具有吸引力等。

人類擁有豐富的

“捏臉”基因

人類之所以能“看臉識人”,不僅依賴於大腦中專門的識別系統,還因爲我們本身就擁有極其豐富的面孔特徵,這是經歷了多年演化歷程,刻在基因裏的禮物。

從鼻樑的高低、顴骨的寬窄,到眼裂的形態、膚色的差異、下頜的輪廓,這些特徵都由基因調控。不同基因的組合方式,像是爲每個人生成了一串獨特的密碼,使得每一張臉都帶有無法複製的“個體標識”。也正因如此,人臉成爲了區分彼此最直觀、最可靠的 ID。

就拿五官中最不起眼的耳朵來說,老一輩稱之有福相的大耳垂(Lobe size, 耳垂大小)由 3、6 和 10 號染色體上三個不同的基因位點(rs10212119,rs1990618 和 rs12538515)共同決定,年輕人中流行的精靈耳(Ear protrusion,耳廓外翻),則與 2 號染色體上的 rs3827760 位點的基因突變密切相關。

耳朵外形特徵(如耳垂大小、耳垂連接方式、耳朵突出、耳輪捲曲等)由多個基因決定。圖片來源:doi.org/10.1038/ncomms8500

不僅是五官的細節特徵,面部的立體感和五官的整體比例,其實也早已寫在基因裏。2019 年的一項研究通過對上萬名歐洲人的 78 個面部特徵進行分析,從中提煉出 13 個關鍵點,並最終鎖定了 24 個相關基因。

其中,例如 PAX3 基因,會在胚胎髮育階段通過調控神經嵴細胞的生長與分化,進而決定兩眼間距、鼻樑高度,以及整個中面部的結構。

多個基因通過調控神經嵴細胞的生長和分化共同決定了面部的13個特徵。圖片來源:doi.org/10.7554/eLife.49898

從小 baby 時期開始

人類就沉迷看臉

人類不僅擁有高級的“認臉系統”和豐富的“捏臉”基因,還從嬰兒時期就對“人臉”更感興趣。

科學家們曾在嬰兒出生後數小時,就讓他們觀看不同的圖案。其中一種是“類似人臉”的配置(兩點在上,一條橫線在下,類似眼睛+嘴),另一種是同樣元素但隨機排列的圖形。

結果發現,新生兒會更長時間注視“類似人臉”的圖案,說明他們天生就對面孔結構更感興趣。

給嬰兒看類似於人臉的圖案和隨機圖案。圖片來源: 參考文獻[18]

不僅如此,2017 年的一個實驗中,科學家利用光源投射出三個點,通過母體腹壁照到子宮內。點的排列有兩種:正立的人臉樣配置(兩個在上,一個在下)和倒置配置(兩個在下,一個在上)。

通過超聲掃描觀察胎兒的姿勢發現,胎兒的頭部會更頻繁地轉向正立的臉樣配置,說明對面孔的偏好在出生前就已顯現。

AC是光源投射出的三點,BD是基於公式算出的胎兒在母親肚子裏看見的圖形。圖片來源:doi: 10.1016/j.cub.2017.06.036.

嬰兒對人臉的天生偏愛或許是因爲他們需要通過“看臉”的視覺刺激來鍛鍊認臉的能力。研究表明,如果嬰兒在早期嚴重缺乏面孔刺激(例如因先天性白內障而長期看不見,直到手術後才恢復視覺),即便視覺功能後來恢復正常,他們在識別人臉方面的能力也會明顯受限。這說明人腦中的認臉系統並不是單純的“預設程序”,而能在後天的學習中訓練優化。

正是這種複雜而微妙的機制,讓“看臉識人”成爲人類獨特的天賦。

所以,下次在茫茫人海中與好朋友目光鎖定時,不妨想起,這份認出彼此的能力,是屬於人類的浪漫奇蹟。

參考文獻

[1]https://royalsocietypublishing.org/doi/10.1098/rspb.2018.1319

[2]https://www.nature.com/articles/35102669

[3]https://news.mit.edu/2020/fusiform-brain-faces-blind-0826

[4]https://pmc.ncbi.nlm.nih.gov/articles/PMC1857737/

[5]N.A. Ratan Murty, S. Teng,D. Beeler, A. Mynick, A. Oliva, & N. Kanwisher, Visual experience is not necessary for the development of face-selectivity in the lateral fusiform gyrus, Proc. Natl. Acad. Sci. U.S.A. 117 (37) 23011-23020, https://doi.org/10.1073/pnas.2004607117 (2020).

[6]Pitcher D, Walsh V, Duchaine B. The role of the occipital face area in the cortical face perception network. Exp Brain Res. 2011 Apr;209(4):481-93. doi: 10.1007/s00221-011-2579-1. Epub 2011 Feb 12. PMID: 21318346.

[7]Allison T, Puce A, McCarthy G. Social perception from visual cues: role of the STS region. Trends Cogn Sci. 2000 Jul;4(7):267-278. doi: 10.1016/s1364-6613(00)01501-1. PMID: 10859571.

[8]Puce A, Allison T, Bentin S, Gore JC, McCarthy G. Temporal cortex activation in humans viewing eye and mouth movements. J Neurosci. 1998 Mar 15;18(6):2188-99. doi: 10.1523/JNEUROSCI.18-06-02188.1998. PMID: 9482803; PMCID: PMC6792917.

[9]Lander K, Davies R. Exploring the role of characteristic motion when learning new faces. Q J Exp Psychol (Hove). 2007 Apr;60(4):519-26. doi: 10.1080/17470210601117559. PMID: 17455062.

[10]Claes, P., Roosenboom, J., White, J.D. et al. Genome-wide mapping of global-to-local genetic effects on human facial shape. Nat Genet 50, 414–423 (2018). https://doi.org/10.1038/s41588-018-0057-4

[11]Adhikari, K., Reales, G., Smith, A. et al. A genome-wide association study identifies multiple loci for variation in human ear morphology. Nat Commun 6, 7500 (2015). https://doi.org/10.1038/ncomms8500

[12]Ziyi Xiong.Gabriela Dankova. et al.On behalf of the International Visible Trait Genetics (VisiGen) Consortium (2019) Novel genetic loci affecting facial shape variation in humanseLife8:e49898.https://doi.org/10.7554/eLife.49898

[13]https://www.sciencedirect.com/science/article/pii/S0960982217305808?via%3Dihub

[14]Frank MC, Vul E, Johnson SP. Development of infants'' attention to faces during the first year. Cognition. 2009 Feb;110(2):160-70. doi: 10.1016/j.cognition.2008.11.010. Epub 2008 Dec 27. PMID: 19114280; PMCID: PMC2663531.

[15]Valenza E, Simion F, Umiltà C, Macchi Cassia V. The enduring legacy of newborns'' face preference. J Exp Psychol Hum Percept Perform. 2025 May;51(5):535-542. doi: 10.1037/xhp0001263. PMID: 40244972.

[16]https://www.sciencedirect.com/science/article/pii/S0079612307640059?via%3Dihub

[17]https://www.sciencedirect.com/science/article/pii/0010027791900456

策劃製作

本文爲科普中國·創作培育計劃扶持作品

出品丨中國科協科普部

監製丨中國科學技術出版社有限公司、北京中科星河文化傳媒有限公司

作者丨哈代 浙江大學神經生物學博士

審覈丨李旭 中國科學技術大學副教授 中國生物化學與分子生物學會會員

策劃丨張林林

責編丨張林林

審校丨徐來

相關推薦
請使用下列任何一種瀏覽器瀏覽以達至最佳的用戶體驗:Google Chrome、Mozilla Firefox、Microsoft Edge 或 Safari。為避免使用網頁時發生問題,請確保你的網頁瀏覽器已更新至最新版本。
Scroll to Top