父母的4種行爲正在讓孩子的大腦慢慢變笨,如果你中了請趕快收手

來源: 更新:

衆所周知,人的智商主要來自於兩個方面:遺傳和後天培養。尤其是後天培養,只要開發得當,孩子就會越來越聰明。所以父母在孩子的智力開發上都非常用心,孩子一出生,我們就會給他做智力啓蒙,帶他上早教班,在飲食上更是特別捨得,什麼有營養就喫什麼。

然而,隨着孩子慢慢長大,很多家長髮現自家娃不但沒有更聰明,反而還沒小時候那麼聰明伶俐了!

孩子的智商,既有機會越來越聰明,也有可能變得更加遲鈍,而孩子之所以會變“笨”,主要是因爲父母的某些行爲和教育,正在慢慢地毀掉孩子的智商。

1、父母的怒吼

美國哈佛醫學院的 Martin A. Teicher教授曾針對“父母語言攻擊對孩子傷害”進行了一項長達十多年的研究。最終發現:長期受到語言暴力的孩子言語智商在112分,而那些沒有遭受語言暴力的孩子,言語智商在124分。

研究指出,經常被怒吼責罵的孩子,大腦的韋尼克區和前額葉之間的連接會減少,而大腦左側顳上回的灰質體積增值會達到14%,這意味着孩子的語言表達能力正在逐漸弱化,理解能力越來越差。

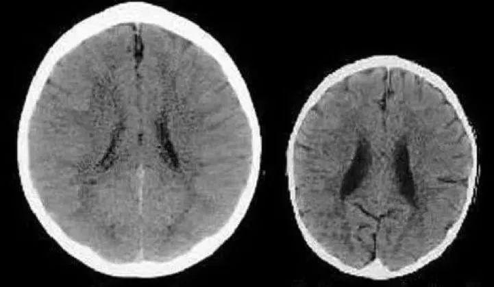
腦科學家洪蘭教授洪蘭教授也指出:核磁共振腦造影技術發現,經常被吼罵的孩子,海馬迴出現萎縮的現象,而這種萎縮會影響孩子的記憶力。


凡是被父母吼大的孩子,都長着一副“呆呆”的面容,這類孩子反應遲緩,容易走神,容易緊張害怕,心理素質特別差,在別人的眼裏是比較典型的“笨”。

相反,說話和聲細語,經常被父母肯定的孩子,面容舒展,氣質中就帶着有一種來自骨子裏的自信,這類孩子眼裏有光。

所以,不想讓孩子變笨的第一步,父母要管住自己的嘴,不要用你嘴裏的刀子傷害孩子。


2、癡迷於手機

很多家長都將手機作爲哄娃神器,去餐廳喫飯,你常常會看到用手機平板看動畫片玩遊戲的孩子。

美國一位心理學家從全國中下階層的家庭中選取了100名孩子,並將他們分成兩組:50名是接觸不到手機的孩子,50名是對手機癡迷的孩子,然後對他們進行了長達十年的跟蹤調查。

10年後,兩組孩子的對比驚人:50位癡迷手機的孩子中只有2位考上大學。而那50名不玩手機的孩子除了三名是高中畢業,其餘的全部考入大學,其中有16位獲得了全額獎學金!



直播,視頻,遊戲給孩子帶來的都是瞬時快感,大腦還沒有來得及思考消化,就被下一個高潮覆蓋。當大腦始終處於瞬間快感帶來的刺激時,就會停止思考。而孩子的大腦正處在發育期,一旦得不到充分的刺激成長,就可能導致發育不良,思考力下降。

因此經常玩手機的孩子無法閱讀大段文字,欣賞長時間的電影,他們的專注力很短暫,上課根本坐不住。這類孩子氣質上就呆滯發木,性格也會出現極大的轉變,不少外向的孩子性情突變,變得孤僻,怪異。

而那些沉迷在讀書中的孩子完全相反,腦科學家洪蘭教授說:閱讀可以在後天改變孩子的大腦,凡是讀過,大腦就會留下痕跡。


閱讀不僅可以豐富知識儲備,還可以提升孩子的理解力、邏輯力、專注力、記憶力等多方面的能力。懂得知識多、學習能力強,成爲學霸的幾率當然就更高。



3、缺乏社交互動

發現沒,現在的孩子喜歡獨來獨往,他們不擅長和他人的互動,甚至在某些事情的處理上顯得非常“直”,讓人很無語。

造成這種現象的其中一個原因就是,現在的孩子太缺乏社交互動了。


社交可以促進孩子全面人格的發展,通過與他人的互動,孩子的反應能力,表達能力,問題處理能力都在不斷增強。社交可以增強自我認知和共情能力,提高孩子的情商。

在與他人的交流和互動中,孩子可以接觸到不同的觀點、文化和思維方式,拓寬自己的視野和思路。這種多元化的刺激有助於激發孩子的想象力和創造力,提高他們的學習和思考能力。

在社交中,孩子培養了良好的品德和行爲習慣,學會尊重他人、分享、合作。



然而現在的孩子從小就被關在屋子裏面學習,長時間獨處或缺乏社交互動,會導致他們的思維變得狹隘和固執,性格變得自私利己,缺乏共情力,情商特別低。

兒童心理學家馬·勞迪斯·卡蘭丹曾說“一個社交能力低下的孩子比沒上大學的孩子缺陷更嚴重。”

美國《心理學年刊》刊文也指出,玩伴對孩子社交能力的培養很重要,童年和青少年時期缺少玩伴,日後容易孤單、憂鬱、焦慮,遇事易退縮,甚至影響成年後的人際關係。

不要將孩子和朋友隔離,而是要鼓勵孩子多交朋友,儘可能給孩子多創造社交場合,卻發展孩子的全面人格。



4、缺少運動

李玫瑾老師就說過“會玩”的小孩往往更優秀,學習成績更好。尤其到了初高中,出現心理問題的往往是不喜歡運動的孩子,而運動能力好的孩子各方面則更加穩定。

而紐約大學神經科學中心Wendy A. Suzuki博士就指出,運動可以提升神經遞質的水平,讓人心情愉悅,改變大腦的解剖結構、生理機能和功能。譬如,運動可以促使海馬體中產生新的腦細胞,提升記憶力;同時運動可讓人的前額皮層發生變化,提升專注力。

2017年42名高考狀元中,有24人愛好運動;2016年63名高考狀元中,有34位是體育運動的愛好者。

所以說,“運動是大腦的聰明藥”這句話真是太對了!

可惜,現在的孩子普遍運動能力都很差,嚴重缺乏運動。

運動不足會導致大腦供氧不足,缺乏興奮點的刺激,腦神經始終處於壓抑的狀態,所以不愛運動的孩子往往眼神發直,缺乏機靈勁兒,如果壓力過大,就很容易出現問題。

一定要培養孩子的運動興趣和運動能力,並堅持下來。尤其是到了初高中後,你會發現運動能力好的孩子特別有優勢。他們往往韌性十足,體力充沛,面對學習的壓力都能承受的住!



表揚和鼓勵讓孩子信心十足,做事兒有勁兒;

多讀書讓孩子沉澱思考,視野變廣闊,知識積累豐厚;

社交讓孩子情商提升,反應快,表達強,做人做事更勝一籌;

運動更是不停刺激大腦,讓孩子活力十足,充滿靈性。

看到了吧,想讓孩子變聰明,不是多喫幾盒補品、多做幾道數學題、多背幾首之乎者也就能完成的,智商是由多元素支撐的,想讓孩子變聰明,我們不僅要多給孩子提供條件,更要避免以上的4種情況,從多方面,多細節引導,我們的孩子纔會越來越聰明伶俐。

相關推薦
請使用下列任何一種瀏覽器瀏覽以達至最佳的用戶體驗:Google Chrome、Mozilla Firefox、Microsoft Edge 或 Safari。為避免使用網頁時發生問題,請確保你的網頁瀏覽器已更新至最新版本。
Scroll to Top