最新研究:熬大夜,又多了這些不可逆的代價!

來源: 更新:

熬夜,熬小夜,熬大夜,熬大大大大大夜,把一切懊悔和難受留給熬夜後的第二天。

熬夜的問題,打開這篇文章的朋友可能深有體會:費錢(深夜衝動下單)、破壞人際關係(朋友圈發深情文案),肉眼可見地傷身(像被打了一樣)……

圖源:網絡

但很少有人知道,熬夜會對身體造成更深層次的傷害。

熬大夜的第二天,身體可以說是默默啓動了「災後應急模式」,從激素到細胞線粒體,從腦脊液到基因表達,都會發生明顯的變化。

感覺腦子糊住了,注意力難以集中

每次熬夜起來後,都感覺腦子上「罩了個塑料袋」,反應慢、已讀亂回、注意力集中不了一點。

圖源:網絡

別說你還真別說,熬夜後感覺「靈魂出竅」,很可能是因爲你的大腦是真的「出逃了」。

2025 年 10 月發表在《自然神經科學》雜誌上的一篇研究指出,熬夜後的注意力不集中,可能是因爲你的大腦正在給自己「洗澡」[1]

腦科學界這幾年有個新理論:大腦會在白天產生代謝廢物,在睡眠時通過腦脊液不斷沖刷、清除掉,從而讓大腦再次恢復清潔。[1][2]

比如大名鼎鼎的大腦代謝廢物——阿爾茨海默症的罪魁禍首——澱粉樣蛋白,就是在這個過程中被清除乾淨的。

圖源:丁香醫生設計團隊

正常情況下,腦子會在深度睡眠時清除掉代謝廢物,但熬夜沒睡夠,大腦又不能放着不洗,那就只能「白天上班時偷偷洗澡」了。

圖源:丁香醫生設計團隊

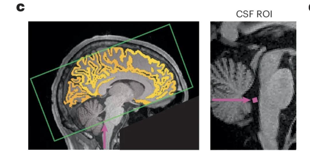
研究人員找來了 26 位成年人,讓他們在一次實驗中睡得很好,另一次則整晚不睡。不出意外,熬夜的那次,簡單的注意力測試表現很差。

有趣的是,通過腦部 MRI 掃描發現:

每次注意力「斷片」的前 2 秒,腦脊液會被衝出腦底;而注意力恢復後的 1 秒,又會被重新吸回大腦。

也就是說,你在發呆、走神的時候,大腦正在進行「緊急衝洗」。

研究者形容:「這就像洗衣機——先加水,再攪動、再排水。注意力走神時,大腦正好在『攪』。」

圖源:
https://www.nature.com/articles/s41593-025-02098-8

可能有朋友覺得,斷片就斷片吧,廢物不是一樣被清除乾淨了?

長期下去真不行,大腦會越來越不靈敏的。

研究人員也說了:睡覺時清理纔是最優方案,強行白天補洗,不僅效率低,還直接影響認知表現。[3]

脾氣暴躁、人緊張、容易暴飲暴食

熬夜之後,脾氣極差、易燃易爆,心裏難受胃口卻極好,在感覺極度脆弱,但還是想打爆全世界的同時,竟然能喫下一卡車的高糖高脂食物……

圖源:丁香醫生設計團隊

這,主要是身體的壓力激素——皮質醇,在悄悄作祟。

皮質醇是身體應對壓力的「警報器」,本來是幫我們應急用的。但熬夜把這個系統打亂,就會出現:

● 情緒起伏大,容易煩躁;

● 特別想喫高糖高脂的食物;

● 胰島素敏感性下降,更容易囤脂、升血糖。

有研究發現,只要一晚沒睡好,皮質醇就會受到影響——

● 不管是隻睡 4 小時,還是徹底通宵,第二天晚上的皮質醇水平都會顯著升高——分別比正常睡眠狀態高出 37% 和 45%。[4]

● 原本在晚上下降的皮質醇,熬夜後會「拖延」至少 1 小時才進入靜息狀態,讓人處於一種收不住的緊張感中。

圖源:丁香醫生設計團隊

上面是熬完一個大夜後,馬上能感受到的變化。如果你經常熬夜,身體更深層,更基礎的零件(包括細胞線粒體與基因)都會受到損傷。

皮膚衰老加速,真的會「垮臉」

臉暗、膚色發黃、出油爆痘、毛孔粗大、眼下浮腫……這些「熬夜臉」的表現,是真·皮膚加速衰老的結果。

研究發現[9]長期睡不好的人,皮膚衰老更快、屏障更弱、自我評價也更差,從裏到外都受影響。

圖源:丁香醫生設計團隊

睡得好的人

● 皮膚老化程度更輕:臨牀評分更低,內源性(自身)老化明顯較輕;

● 皮膚屏障更強韌:即使在人爲破壞後(貼片剝離),72 小時內的修復力比睡不好的人高出 30%;

● 對紫外線的反應恢復得更快:曬紅後 24 小時,紅斑改善更明顯;

● 外貌滿意度更高:更覺得自己「看起來不錯」。

睡不好的人

● 更顯著的老化跡象:膚色不均、幹紋細紋明顯;

● 皮膚更敏感脆弱:水分流失更高,修復速度更慢;

● 更容易不滿意自己的外貌:自評分數更低,看起來累,心情也跟着差。

背後的機制也被科學研究揭示:熬夜會打亂皮膚的修復節律、降低抗氧化能力、影響膠原蛋白生成,讓皮膚變得乾燥、鬆弛、長痘、敏感,宛如「開啓加速老化模式」。

經常熬夜睡不夠

細胞都在替你喊「救命」

長期睡眠不足,身體裏的各個環節像多米諾骨牌倒塌。特別是身體的地基——基因,細胞,都受影響。

英國薩里大學發表在《PNAS》的研究發現:只要一週睡不夠(每天不足 6 小時),身體裏就有 711 個基因表達被擾亂。這些基因負責免疫、炎症、生物鐘、代謝、抗氧化……

都是維持身體正常運作的大角色。

正常時,基因會像交響樂團一樣按節奏工作;睡眠不足節奏就亂了,讓一部分原本有規律運行的基因失去節奏,整體協調性變差。

如果多次睡眠剝奪,例如經常通宵熬大夜,被擾亂的基因數量會進一步飆升——細胞集體扛不住,開始全面出問題。

圖源:丁香醫生設計團隊

熬夜導致的睡眠不足,還會破壞線粒體的正常工作,加速衰老和疾病到來。

線粒體是細胞的能量工廠,它們通過有氧代謝,把營養和氧氣轉化成能量。但就像氧氣罐上貼着「易爆」標籤一樣,不受控的燃燒是危險的[6]

細胞裏的能量轉換若控制不當,就會造成氧化應激,不僅可能傷害細胞,還會促發衰老和退行性疾病。

睡眠,可能正是身體給線粒體「降溫泄壓」的方式。

牛津大學研究團隊發現,大腦中的線粒體壓力過大時,會觸發睡眠[5]。(「生理級別犯困」的真正原因)

圖源:丁香醫生設計團隊

睡眠不足時——

調控睡眠的神經元裏,線粒體會變小、斷裂,表現出能量系統進入應激狀態的跡象[5]

從左到右是睡眠充足-睡眠不足-恢復睡眠後,調控睡眠的神經元線粒體數量

睡眠不足時,線粒體碎裂、變小

圖源:
https://www.nature.com/articles/s41586-025-09261-y

圖源:丁香醫生設計團隊

如果繼續不睡,損傷不能修復,進一步積累。

研究者指出,線粒體的壓力狀態,會導致整個大腦的氧化應激水平升高——而氧化應激,也正是衰老加速的「元兇」。[5、6]

這爲一個長久的猜想提供了理論基礎——長期睡眠不足會縮短壽命。[6]

圖源:網絡

長期熬夜補不回來

最好別熬夜

偶爾熬夜,身體是有「自我修復」能力的。

短期睡眠不足後,身體會自動拉長和加深之後幾天的深度睡眠,試圖「還上這筆睡眠債」[10]

只要別連續熬,配合調整作息、減輕壓力、喫得好睡得香,生理狀態可以慢慢回正。

真正可怕的,是長期熬夜、反覆欠債不還:

● 生物鐘被長期打亂,修復機制也開始罷工;

● 激素、免疫、代謝通通亂套,進入惡性循環;

● 即使睡再多、喫再好,也難以完全補回來。

身體,是我們這一生最親密的夥伴,學會愛護它,也是在學會愛我們自己。

從今晚開始,別熬夜了。

圖源:網絡

本文審覈專家

參考文獻

[1]https://www.nature.com/articles/s41593-025-02098-8

[2]https://www.nature.com/articles/s41586-019-1419-5

[3]Can&;t focus after a bad night&;s sleep? Your dirty brain is to blame | New Scientist

[4]Sleep loss results in an elevation of cortisol levels the next evening - PubMed

[5]https://www.nature.com/articles/s41586-025-09261-y

[6]https://www.ox.ac.uk/news/2019-03-20-sleep-and-ageing-two-sides-one-coin

[7]https://www.ox.ac.uk/news/2025-07-18-why-do-we-need-sleep-oxford-researchers-find-answer-may-lie-mitochondria

[8]https://www.pnas.org/doi/10.1073/pnas.1217154110

[9]Does poor sleep quality affect skin ageing? - PubMed

[10]https://www.science.org/doi/10.1126/science.adm8203

策劃製作

策劃:pheobe | 監製:Feidi

插圖:見圖注 | 封面圖來源:丁香醫生設計團隊

聽說了嗎?丁香園 2026年「健康日曆」賣爆了!

它不僅承載了傳統日曆的儀式感、更是一本專業的健康指南!

破除謠言、科學「養生」,選它就對了

相關推薦
請使用下列任何一種瀏覽器瀏覽以達至最佳的用戶體驗:Google Chrome、Mozilla Firefox、Microsoft Edge 或 Safari。為避免使用網頁時發生問題,請確保你的網頁瀏覽器已更新至最新版本。
Scroll to Top