高三女生左眼突然失明確診“眼中風”,醫生:很難再恢復,4小時內是黃金治療期…

來源: 更新:

不久前的一次專家門診中,江蘇省人民醫院眼科教研室副主任、陳雪副主任醫師接診了一位還在讀高中的女孩。

“令人痛心的是,女孩左眼突然失明後並沒有第一時間告知家長。”陳雪回憶,等到家長髮現並帶她前來就醫時已過去三四天,錯過了最佳救治窗口。“孩子的視力只有指數,且很難再恢復了,已經可以診斷爲單眼盲。”

經檢查,女孩眼底並未發現明確血栓。“她應該是因長期學習壓力過大,家裏也出現變故,長期處於緊張狀態,導致視網膜血管痙攣引發了不可逆的缺血,等我們看到的時候整個視網膜的感光細胞已經全部萎縮了。”

醫生表示該病有搶救黃金時間,視具體情況而定,有時是90分鐘內,有時是6個小時、12個小時以內。上海第九人民醫院醫生表示,眼睛出現瞬間突發性的視力下降,多半是出現眼中風情況,要及時就醫溶栓。

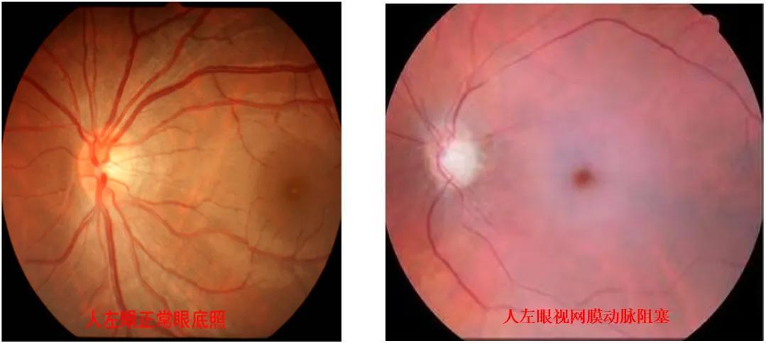
視網膜中央動脈阻塞

是什麼?

視網膜中央動脈阻塞又稱爲“眼中風”,是指視網膜中央動脈部分或全部堵塞。視網膜就像照相機的膠捲底片,它將照入眼內的光轉換爲電信號,通過視神經傳送至大腦,我們才能“看到”周圍的事物。

視網膜對局部缺氧極其敏感,新鮮的動脈血不能進入和滋養視網膜,就會發生無痛性的突然視力下降或喪失。這種視力下降在經過短暫的休息後不能緩解的。

哪些因素

會引發“眼中風”?

視網膜中央動脈阻塞多見於老年人。它的發生與 高血壓、頸動脈阻塞、糖尿病、心臟瓣膜疾病等全身疾病密切相關。老年人血管彈性下降,管壁硬化,再加上老年人常有各類基礎病,很容易罹患“眼中風”。

除年齡外,還有許多因素與視網膜中央動脈阻塞的發病密切相關。

從高溫環境驟然進入低溫環境:

比如冬季從溫暖的室內走出,驟然暴露於寒冷空氣中,又或者在夏季從高溫的室外進入低溫空調房內。

高血壓人羣:

高血壓是本病最常見的危險因素,大概67%的視網膜中央動脈阻塞患者的發病與高血壓有關。高血壓會導致血管內皮的損傷,形成的斑塊破裂脫落在血管中順流而下,就有可能阻塞視網膜血管,引發“眼中風”。

高血脂人羣:

高血脂的人血液粘稠度高,血管內的脂質沉積可以造成血栓的形成。

吸菸人羣:

吸菸會導致血管收縮痙攣,長期大量吸菸可能引起血管栓塞,從而引起“眼中風”。

長期過度用眼的人羣:

需要長期電腦辦公、 生活作息不規律人羣, 眼睛長期處於緊張高壓狀態, 也容易發生眼部疾患。

“眼中風”發作

應該如何自救及治療?

單眼突發的視力下降, 視力即刻或幾分鐘內完全消失,只能看見手指數目或者光感。有些患者曾有一過性的黑蒙(即暫時性的視力喪失,一般約1-2分鐘),數分鐘後可緩解。反覆發作數次後,患者會突然視力嚴重下降。多數眼的視力降至眼前手動或數手指。部分患者曾有腦卒中病史、或者有一過性腦缺血性病變。

當以上“眼中風”症狀出現時, 即使視物模糊的症狀暫時緩解,也不可猶豫,應立即前往醫院。

眼中風作爲眼科急診,視網膜光感受器組織發生不可逆的損害多在視網膜缺血缺氧大於90分鐘後發生, 90分鐘是視網膜中央動脈阻塞的黃金救治時間。白金治療時間爲6小時,最好不要超過24小時。

在到達醫院前,可以立即進行一些自救措施,比如用 手指按摩眼球,加壓按摩10秒,突然鬆開手指5秒,如此反覆10次左右,每次按摩15分鐘,增加視網膜血管的灌注,或者有條件的患者還可以舌下含服硝酸甘油片。同時要放鬆心情,不要過於緊張,然後儘快趕往就近醫院眼科急診救治。

“眼中風”

應如何預防?

要預防“眼中風”,必須防治高血壓、血脂異常、糖尿病、肥胖和脈粥樣硬化等危險因素。

落實到日常生活中:要控制體重或減肥、調整飲食結構、保持心理平衡和戒菸限酒等。留意麪部潮紅可能爲中風前兆, 避免用眼過度,不要熬夜,定期進行眼部、眼底檢查。

注意勞逸結合,要 參加適度的體育鍛煉,如慢跑、散步、打太極拳,經常到戶外活動,不要久蹲、久坐、久臥,以防血流滯緩而引發血管阻塞。

保持樂觀情緒,防止因情緒激動,精神創傷而致血管突發痙攣,引起視網膜中央動脈阻塞。

來源丨新聞晨報、揚子晚報、健康時報

編輯丨蘆李娜

相關推薦
請使用下列任何一種瀏覽器瀏覽以達至最佳的用戶體驗:Google Chrome、Mozilla Firefox、Microsoft Edge 或 Safari。為避免使用網頁時發生問題,請確保你的網頁瀏覽器已更新至最新版本。
Scroll to Top