腦積水專欄-第46期(腦室-腹腔分流術相關科普)

來源: 更新:

2 歲寶寶頭大、說話晚?警惕腦積水!湖北省婦幼神經外科爲他重啓成長之路


真實臨牀案例:2 歲 “大頭寶寶” 的求醫故事

最近,湖北省婦幼保健院神經外科接診了一位可愛的 2 歲寶寶。

孩子頭圍已達57cm(遠超同齡正常水平),發育也明顯滯後,目前僅能發出 “爸爸”“媽媽” 的簡單音節。在當地醫院檢查時,醫生髮現寶寶側腦室正在逐漸增寬,建議立即轉診至我院進一步診治。

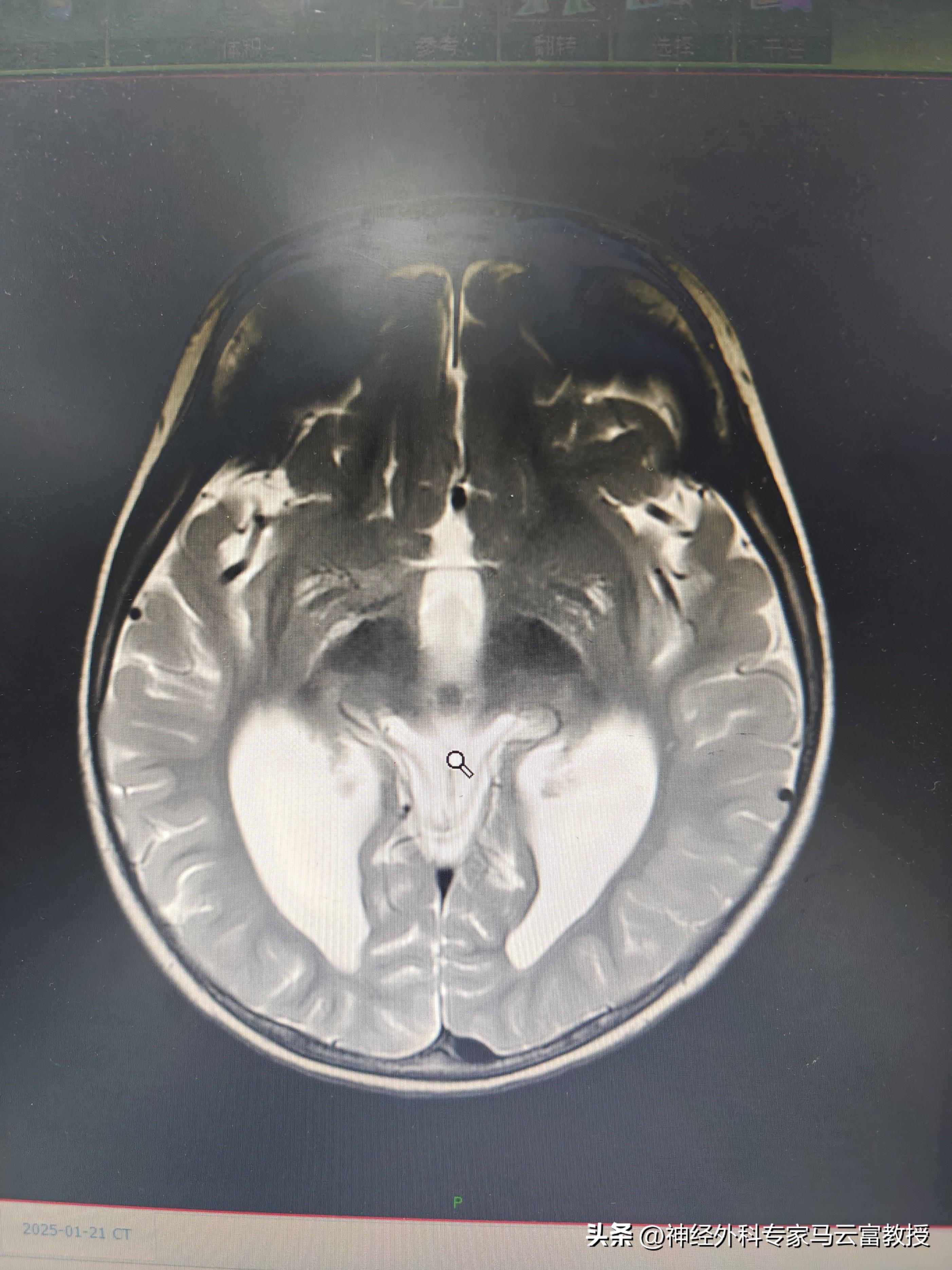
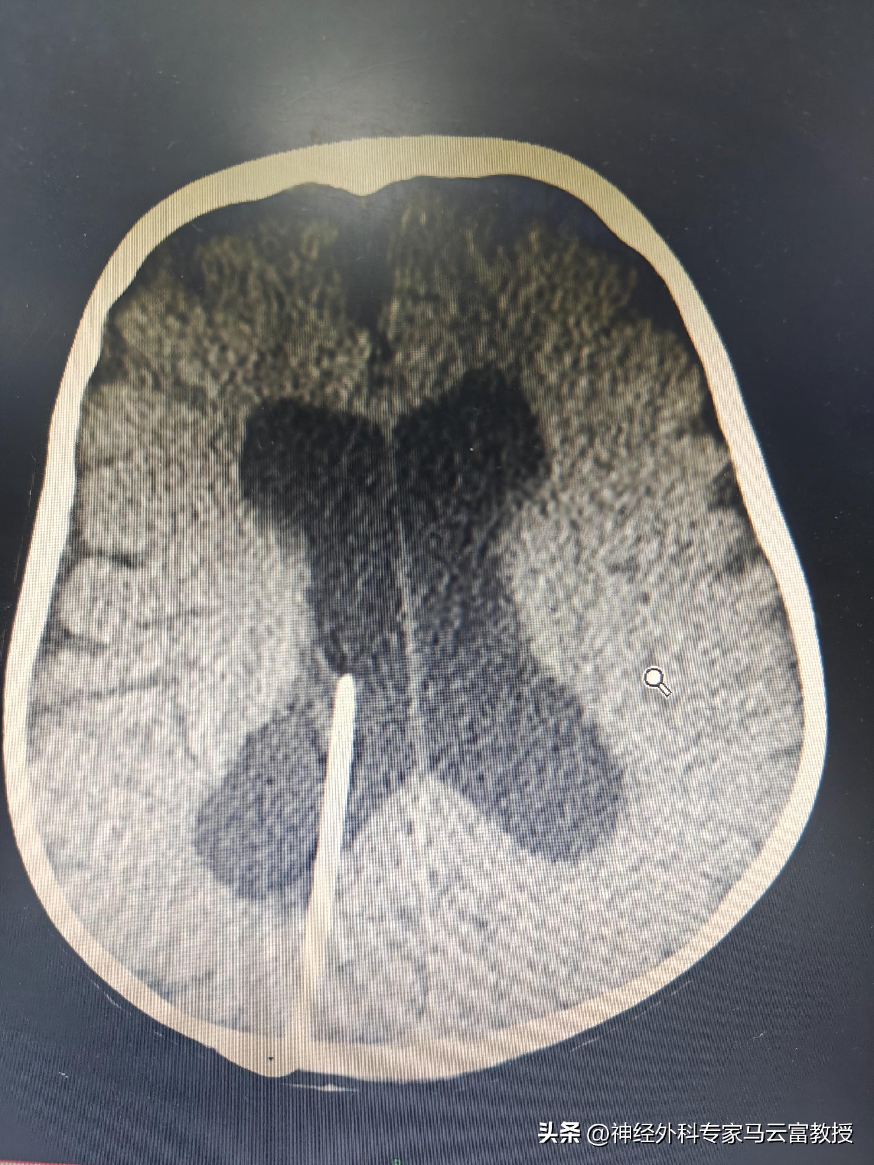
我院神經外科馬雲富主任接診後,通過細緻查體與顱腦 CT 檢查,明確診斷爲幕上腦積水。入院後,團隊完善了腦 MRI + 腦脊液電影成像等精準檢查,最終判斷爲不全梗阻性腦積水,且腰穿提示腦室內壓力不高。綜合評估後,馬雲富主任爲患兒制定了腦室 - 腹腔分流術的治療方案,爲寶寶的大腦 “減壓”,重啓正常發育的可能。


什麼是腦積水?

很多家長以爲 “頭大就是聰明”,但異常增大的頭圍,可能是腦積水發出的危險信號。

腦積水是指腦脊液在腦室系統內過度積聚,導致腦室擴張、顱內壓力異常(或緩慢升高)的疾病。對於嬰幼兒來說,常見表現有:

  • 頭圍異常增大、前囟飽滿隆起
  • 發育遲緩(如說話晚、坐立 / 行走滯後)
  • 煩躁哭鬧、餵養困難、嘔吐
  • 嚴重時可出現視力下降、智力受損

如果發現寶寶頭圍增長過快或發育落後,一定要及時就醫排查!


腦室 - 腹腔分流術:腦積水的 “減壓閥門”

針對這位寶寶的病情,我們選擇了腦室 - 腹腔分流術,這是目前治療腦積水最成熟、最常用的手術方式。


手術原理

簡單來說,就是在寶寶體內植入一根分流管

  1. 一端置入腦室:將過多的腦脊液引流出來
  2. 另一端置入腹腔:讓腦脊液被腹腔吸收,重新參與體液循環
  3. 中間的閥門:精準控制引流速度,避免過度引流或引流不足

整個手術屬於微創操作,切口小、恢復快,能有效緩解腦積水對大腦的壓迫,爲寶寶的神經發育爭取寶貴空間。

適合哪些情況?

  • 各種類型的腦積水(包括梗阻性、交通性)
  • 寶寶頭圍進行性增大、發育遲緩
  • 影像學提示腦室持續增寬
  • 經評估後,腦脊液可通過腹腔安全吸收

(此處可配:腦室 - 腹腔分流術原理示意圖,用通俗的圖示幫助家長理解)


✨ 術後家長關心的那些事

1. 寶寶術後會恢復正常嗎?

  • 手術的核心目標是阻止神經損傷進一步加重,爲大腦發育創造條件。
  • 多數寶寶術後頭圍增長會得到控制,發育遲緩的情況會逐步改善,部分孩子能追趕上同齡兒童的發育水平。
  • 早期干預 + 規範隨訪,是獲得良好預後的關鍵。

2. 分流管需要終身攜帶嗎?

  • 是的,分流管通常需要長期留置,它就像大腦的 “永久減壓閥”,持續保障腦脊液循環通暢。
  • 隨着寶寶成長,可能需要在合適時機更換更長的分流管,我們會通過定期隨訪及時評估並處理。

3. 術後需要注意什麼?

  • 避免劇烈碰撞頭部和腹部,保護分流管通路
  • 定期複查:監測頭圍、發育情況及分流管功能
  • 若出現發熱、嘔吐、意識異常等情況,需立即就醫排查感染或分流故障

⚕️ 專家提醒:早發現、早干預是關鍵

馬雲富主任強調:

嬰幼兒腦積水的早期信號很容易被忽視,“頭大”“說話晚” 往往是家長最先注意到的表現。一旦發現寶寶頭圍異常增長或發育里程碑滯後,一定要及時到小兒神經外科就診,避免延誤最佳治療時機,給孩子的大腦發育造成不可逆損傷。

湖北省婦幼保健院神經外科團隊,專注於小兒先天性神經系統疾病的診療,從精準診斷到微創治療,再到術後康復隨訪,全程爲孩子們的健康成長保駕護航。

如果您的孩子有頭圍異常、發育遲緩等問題,歡迎前來諮詢,我們將用專業與愛心,爲每一個小天使守護未來。


文末小貼士

  • 正常 2 歲寶寶頭圍參考值:約 46~48cm,超過 50cm 需警惕
  • 發育里程碑:2 歲寶寶應能說簡單詞語、完成簡單指令,明顯滯後需就醫
  • 腦積水≠不治之症,規範手術 + 長期隨訪,多數孩子能擁有正常的生活質量
相關推薦
請使用下列任何一種瀏覽器瀏覽以達至最佳的用戶體驗:Google Chrome、Mozilla Firefox、Microsoft Edge 或 Safari。為避免使用網頁時發生問題,請確保你的網頁瀏覽器已更新至最新版本。
Scroll to Top