何宇鵬分享摘除左腳鋼板照:終於要和這個“鐵哥們”說再見了

來源: 更新:

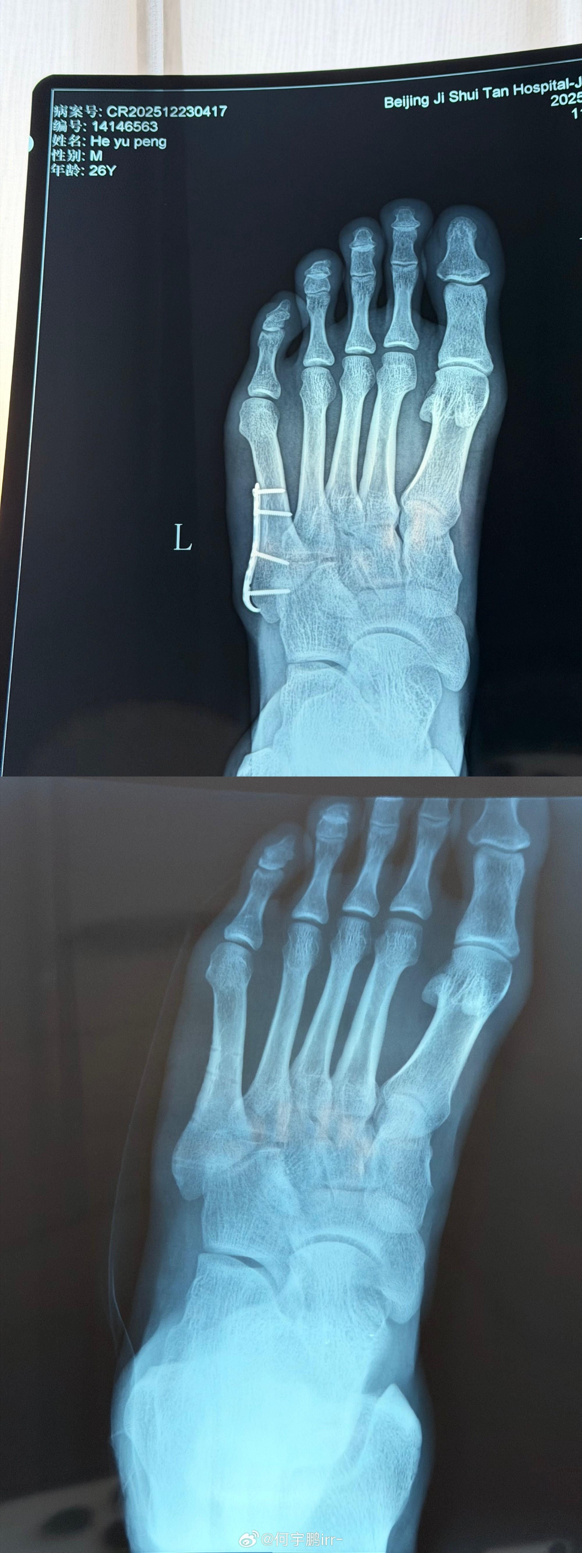
北京時間12月25日,北京國安球員何宇鵬在社交媒體上分享了自己摘除左腳鋼板的照片。

何宇鵬寫道:“終於要和身體裏這個‘鐵哥們’說再見了

雖說爲了你足球鞋都大了半碼哈哈哈!但也非常感謝8個月的保駕護航,現在,是時候說再見了! 從一開始不敢置信可以帶着鋼板踢球,到二次手術圓滿結束,都不得不提我的大功臣,感謝積水潭孫旭主任用超高的醫術精密地修補了我的身體! 也感謝葆石頭康復與 的鼎力支持!願每一次傷愈都能變得更堅韌!”

本賽季,受到傷病影響,何宇鵬代表國安在各項賽事出場14次,其中7次爲首發出場,有2腳助攻。

相關推薦
請使用下列任何一種瀏覽器瀏覽以達至最佳的用戶體驗:Google Chrome、Mozilla Firefox、Microsoft Edge 或 Safari。為避免使用網頁時發生問題,請確保你的網頁瀏覽器已更新至最新版本。
Scroll to Top