漫畫科普:口腔上方凹凸不平的結構,有什麼用?

來源: 更新:
來源:學霸本霸 ID:yishen233


想必看到標題點進來的你

已經開始在舔了



舔到了吧?

OK那咱們就直奔主題——



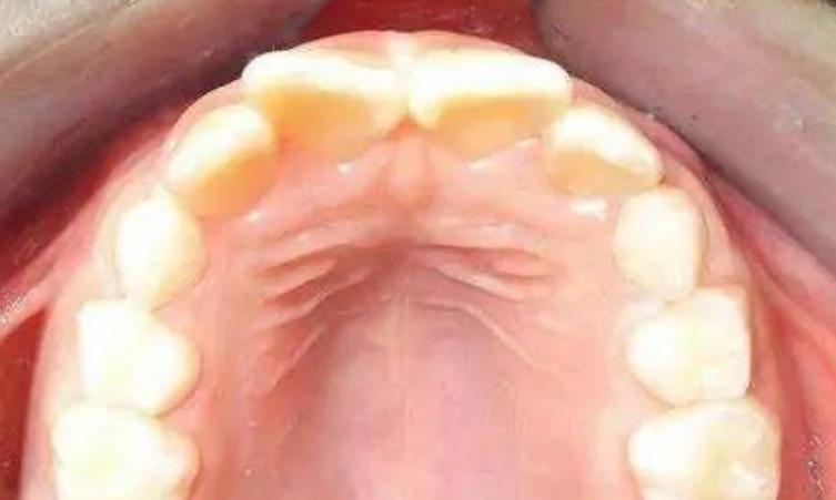
這些褶皺叫做齶皺襞(bì)

也叫齶褶皺


有人說這是小時候嘬奶嘬出來的褶



看似有道理......

但純屬暴論哈!


你還在媽媽肚子裏才三四個月時

這些褶皺就形成了



硬齶的本職KPI是強力研磨食物

所以齶皺襞和奶頭一樣——

所有的哺乳動物都有


不信你去逗你家貓主子打哈欠



狗狗打哈欠



小倉鼠打哈欠



牛打哈欠



駱駝打哈欠



上牙膛都有棱!



人的齶紋只有4~8對,輕微凸起

而其他哺乳動物,比如豬豬

可以達到21對——


就是川渝人一定不會陌生的小衆美食

豬天梯


無論是爆炒還是涮火鍋都 tree tree 的



主流觀點是因爲

人類祖先的“熟食革命”


大猩猩的上牙膛比我們崎嶇多了

大約 180 萬年前

人類聰明的老祖宗們學會

使用火烤制食物、用工具切割食物



硬邦邦的生肉和植物纖維

變得柔軟易嚼

硬齶就突然英雄無用武之地了



於是原本峯巒疊嶂的硬齶

逐漸變得更平滑

只保留了必要的褶皺 ——




你被花椒粒 or 番茄皮

黏在上牙膛過嗎?



喫東西時,舌頭像個小鏟子

把碎粒推向上顎

顎褶皺凸起的嵴負責卡住食物

配合舌頭研磨食物

胃口好,助消化



除了舌頭

硬齶和軟齶上也潛伏着

約 200-500 個味覺受體細胞


“上顎”的英文palate就有“味覺”的意思



尤其是鑑賞一些比較高級的味道

比如紅酒、奶香、蛋奶香

更是會用到上顎這個部位





上顎還有一些稀奇古怪的功能——



齶紋和指紋一樣

一生都不會發生任何變化

它們的形狀、方向、長短每個人都不一樣

所以可以用來識別身份


Shailaja, A. M., Romana, I. R. U., Narayanappa, G., Smitha, T., Gowda, N. C., & Vedavathi, H. K. (2018). Assessment of palatal rugae pattern and its significance in orthodontics and forensic odontology. Journal of oral and maxillofacial pathology : JOMFP, 22(3), 430–435.


而且由於上牙膛獨特的“地理優勢”

既不怕火燒也不怕外傷

所以某些爆炸事故後

指紋和麪部特徵損毀的遇難者

法醫可以通過齶褶皺辨認



無獨有偶

你身體還有一處褶皺

和顎褶皺異曲同工

可以用來識別你的個人信息——



每個人肛門的褶皺

也是疏密不一、形態各異的


所以眼睛不好的同學

也可以通過觸摸菊花紋路來分辨是誰



斯坦福大學Seung-min Park的團隊

就通過在馬桶上安裝攝像頭來掃描肛門

連接馬桶上的尿檢、糞檢系統

來監測個體的健康狀況


Park, Sm., Won, D.D., Lee, B.J. et al. A mountable toilet system for personalized health monitoring via the analysis of excreta. Nat Biomed Eng 4, 624–635 (2020).


如果家裏住了好幾口人

就可以通過菊花識別

來辨別到底是誰的便便有問題了


雖然這個發明榮獲了2023年度

搞笑諾貝爾獎中的公共衛生學獎


但一細想

還是讓人不禁




最常見的是紅腫、水泡

趕緊去耳鼻喉科掛個號看看



發炎的除了口腔、牙齒

還有可能是鼻竇炎

多補充維生素B會有點幫助



還有的人上顎會長白色尖尖



可能是多生牙或者恆牙胚分裂

最好找牙醫拍片拔掉

不然容易影響其他牙



以上就是有關上牙膛的全部內容

感謝您的收看






你對人體的哪些小器官、小組織

充滿迷惑?

不知道它是幹嘛用的?

評論區聊聊!




附錄


如果想收看更多“人體迷思”系列節目

後臺回覆【口水】,查看“ 人爲什麼做不到連續咽5次口水?


- End -






相關推薦
請使用下列任何一種瀏覽器瀏覽以達至最佳的用戶體驗:Google Chrome、Mozilla Firefox、Microsoft Edge 或 Safari。為避免使用網頁時發生問題,請確保你的網頁瀏覽器已更新至最新版本。
Scroll to Top